电话:
+86 (0512) 65829739
传真:
+86 (010) 6788 5057
电子邮件:
orders@antibodies-online.cn

Ancient Ubiquitous Protein 1 抗体 (AA 201-410)

This 兔 多克隆 antibody specifically detects Ancient Ubiquitous Protein 1 in WB, IHC, IP 和 ICC. It exhibits reactivity toward 小鼠.
产品编号 ABIN5013123
发货至: 中国
Contact our Customer Service for availability and price in your country. Contact Info

Our Local Distributor

中国
北京 101111
No. 88 KeChuang 6th Street
Beijing Economic Technological Development Area
Room 801-803
4A Biotech Co.,Ltd.
Tel +86 (0512) 65829739 传真 +86 (010) 6788 5057

Quick Overview for Ancient Ubiquitous Protein 1 抗体 (AA 201-410) (ABIN5013123)

抗原

See all Ancient Ubiquitous Protein 1 (Aup1) 抗体
Ancient Ubiquitous Protein 1 (Aup1)

适用

  • 27
  • 9
  • 4
  • 2
  • 1
  • 1
  • 1
  • 1
  • 1
  • 1
小鼠

宿主

  • 27
  • 2
  • 1

克隆类型

  • 28
  • 2
多克隆

标记

  • 18
  • 2
  • 1
  • 1
  • 1
  • 1
  • 1
  • 1
  • 1
  • 1
  • 1
  • 1
This Ancient Ubiquitous Protein 1 antibody is un-conjugated

应用范围

  • 23
  • 12
  • 6
  • 4
  • 2
  • 2
  • 1
  • 1
  • 1
  • 1
  • 1
  • 1
  • 1
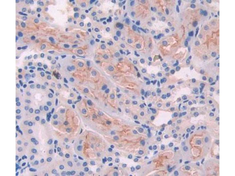
Western Blotting (WB), Immunohistochemistry (IHC), Immunoprecipitation (IP), Immunocytochemistry (ICC)
  • 抗原表位

    • 8
    • 4
    • 2
    • 2
    • 2
    • 1
    • 1
    • 1
    • 1
    AA 201-410

    原理

    Polyclonal Antibody to Ancient Ubiquitous Protein 1 (AUP1)

    特异性

    The antibody is a rabbit polyclonal antibody raised against AUP1. It has been selected for its ability to recognize AUP1 in immunohistochemical staining and western blotting.

    交叉反应

    大鼠

    纯化方法

    Antigen-specific affinity chromatography followed by Protein A affinity chromatography

    免疫原

    AUP1 (Val201-Glu410)

    亚型

    IgG
  • 应用备注

    Western blotting: 0.2-2 μg/mL,1:250-2500 Immunohistochemistry: 5-20 μg/mL,1:25-100 Immunocytochemistry: 5-20 μg/mL,1:25-100 Optimal working dilutions must be determined by end user.

    说明

    The thermal stability is described by the loss rate. The loss rate was determined by accelerated thermal degradation test, that is, incubate the protein at 37°C for 48h, and no obvious degradation and precipitation were observed. The loss rate is less than 5% within the expiration date under appropriate storage condition.

    限制

    仅限研究用
  • 状态

    Liquid

    浓度

    500 μg/mL

    缓冲液

    PBS, pH 7.4, containing 0.02 % Sodium azide, 50 % glycerol.

    储存液

    Sodium azide

    储存条件

    4 °C,-20 °C

    储存方法

    Store at 4°C for frequent use. Stored at -20°C in a manual defrost freezer for two year without detectable loss of activity. Avoid repeated freeze-thaw cycles.
  • 抗原

    Ancient Ubiquitous Protein 1 (Aup1)

    别名

    AUP1
You are here: