电话:
+86 (0512) 65829739
传真:
+86 (010) 6788 5057
电子邮件:
orders@antibodies-online.cn

REEP2 抗体 (Center)

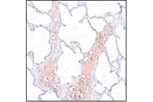
The 兔 多克隆 anti-REEP2 antibody is suitable to detect REEP2 in samples from 人, 小鼠 和 大鼠. It has been validated for WB, IHC (p) 和 EIA.
产品编号 ABIN500579
发货至: 中国
Contact our Customer Service for availability and price in your country. Contact Info

Our Local Distributor

中国
北京 101111
No. 88 KeChuang 6th Street
Beijing Economic Technological Development Area
Room 801-803
4A Biotech Co.,Ltd.
Tel +86 (0512) 65829739 传真 +86 (010) 6788 5057

Quick Overview for REEP2 抗体 (Center) (ABIN500579)

抗原

See all REEP2 抗体
REEP2 (Receptor Accessory Protein 2 (REEP2))

适用

  • 32
  • 4
  • 4
  • 2
  • 2
  • 2
  • 1
  • 1
人, 小鼠, 大鼠

宿主

  • 27
  • 6

克隆类型

  • 27
  • 6
多克隆

标记

  • 15
  • 3
  • 2
  • 2
  • 1
  • 1
  • 1
  • 1
  • 1
  • 1
  • 1
  • 1
  • 1
  • 1
  • 1
This REEP2 antibody is un-conjugated

应用范围

  • 28
  • 13
  • 13
  • 8
  • 4
  • 4
  • 4
  • 3
  • 3
  • 1
Western Blotting (WB), Immunohistochemistry (Paraffin-embedded Sections) (IHC (p)), Enzyme Immunoassay (EIA)
  • 抗原表位

    • 15
    • 5
    • 2
    • 1
    • 1
    • 1
    • 1
    • 1
    Center

    交叉反应 (详细)

    Species reactivity (tested):Human, mouse, rat

    纯化方法

    Peptide affinty chromatography

    免疫原

    REEP2 antibody was raised against a 15 amino acid peptide near the center of human REEP2.

    亚型

    IgG
  • 应用备注

    ELISA. Western blot: 1 - 2 μg/mL. Immunohistochemistry on paraffin sections.
    Other applications not tested.
    Optimal dilutions are dependent on conditions and should be determined by the user.

    限制

    仅限研究用
  • 浓度

    1.0 mg/mL

    缓冲液

    PBS containing 0.02 % sodium azide

    储存液

    Sodium azide

    注意事项

    This product contains sodium azide: a POISONOUS AND HAZARDOUS SUBSTANCE which should be handled by trained staff only.

    注意事项

    Avoid repeated freezing and thawing.

    储存条件

    -20 °C

    储存方法

    Store the antibody (in aliquots) at -20 °C.
  • 抗原

    REEP2 (Receptor Accessory Protein 2 (REEP2))

    别名

    REEP2 / C5orf19

    背景

    Mammalian odorant receptors require accessory proteins such as RTP1 and RTP2 for functional cell surface expression. Receptor expression-enhancing protein (REEP) family members are transmembrane proteins which interact with odorant receptor proteins and may enhance the odorant receptor responses to odorants. Recently studies have shown other chemosensory receptors such as bitter taste receptors are also influenced by RTP and REEP family members.Synonyms: Receptor expression-enhancing protein 2, SGC32445, chromosome 5 open reading frame 19

    基因ID

    51308

    NCBI登录号

    NP_057690

    UniProt

    Q9BRK0
You are here: