电话:
+86 (0512) 65829739
传真:
+86 (010) 6788 5057
电子邮件:
orders@antibodies-online.cn

TMC6 抗体 (N-Term)

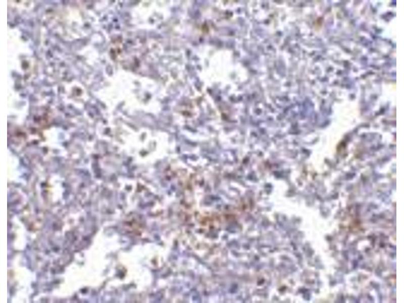
The 兔 多克隆 anti-TMC6 antibody (ABIN499806) specifically detects TMC6 in WB, IHC (p) 和 EIA. The antibody is reactive with 人, 小鼠 和 大鼠 samples.
产品编号 ABIN499806
发货至: 中国
Contact our Customer Service for availability and price in your country. Contact Info

Our Local Distributor

中国
北京 101111
No. 88 KeChuang 6th Street
Beijing Economic Technological Development Area
Room 801-803
4A Biotech Co.,Ltd.
Tel +86 (0512) 65829739 传真 +86 (010) 6788 5057

Quick Overview for TMC6 抗体 (N-Term) (ABIN499806)

抗原

See all TMC6 抗体
TMC6 (Transmembrane Channel-Like 6 (TMC6))

适用

人, 小鼠, 大鼠

宿主

  • 13

克隆类型

  • 13
多克隆

标记

  • 8
  • 1
  • 1
  • 1
  • 1
  • 1
This TMC6 antibody is un-conjugated

应用范围

  • 13
  • 9
  • 2
  • 2
  • 1
  • 1
  • 1
Western Blotting (WB), Immunohistochemistry (Paraffin-embedded Sections) (IHC (p)), Enzyme Immunoassay (EIA)
  • 抗原表位

    • 8
    • 3
    • 1
    • 1
    • 1
    • 1
    N-Term

    特异性

    This antibody reacts to EVER1.

    纯化方法

    Affinity chromatography purified via peptide column

    免疫原

    EVER1 antibody was raised against a 14 amino acid peptide from near the amino terminus of human EVER1.

    亚型

    IgG
  • 应用备注

    ELISA. Western Blot: 1 - 2 μg/mL. Immunohistochemistry.
    Other applications not tested.
    Optimal dilutions are dependent on conditions and should be determined by the user.

    限制

    仅限研究用
  • 缓冲液

    PBS containing 0.02 % sodium azide.

    储存液

    Sodium azide

    注意事项

    This product contains sodium azide: a POISONOUS AND HAZARDOUS SUBSTANCE which should be handled by trained staff only.

    储存条件

    4 °C

    储存方法

    Store the antibody undiluted at 2-8 °C.
  • 抗原

    TMC6 (Transmembrane Channel-Like 6 (TMC6))

    别名

    TMC6 / EVER1

    背景

    Epidermodysplasia verruciformis (EV) is an autosomal recessive dermatosis characterized by abnormal susceptibility to human papillomaviruses (HPVs) and a high rate of progression to squamous cell carcinoma on sun-exposed skin. EV is caused by mutations in either of two adjacent genes, EVER1 and EVER2, located on chromosome 17q25.3. Both of these genes encode integral membrane proteins that localize to the endoplasmic reticulum and are predicted to form transmembrane channels. Both EVER1 and EVER2 are members of the transmembrane channel-like (TMC) protein family. EVER1 possesses eight trans-membrane domains and two leucine zipper motifs. EVER1 and EVER2 form a complex and interact with the zinc transporter 1 (ZnT-1), suggesting that EVER1 and EVER2 act to regulate cellular zinc balance. At least four isoforms of EVER1 are known to exist. This EVER1 antibody does not cross-react with EVER2.Synonyms: EVIN1, Epidermodysplasia verruciformis protein 1, LAK-4, Transmembrane channel-like protein 6

    基因ID

    11322

    UniProt

    Q7Z403
You are here: