电话:
+86 (0512) 65829739
传真:
+86 (010) 6788 5057
电子邮件:
orders@antibodies-online.cn

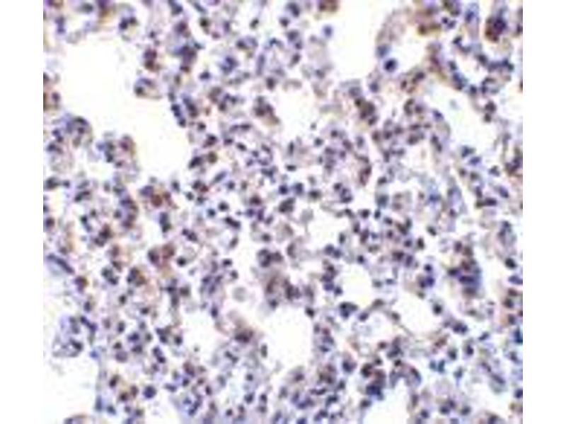
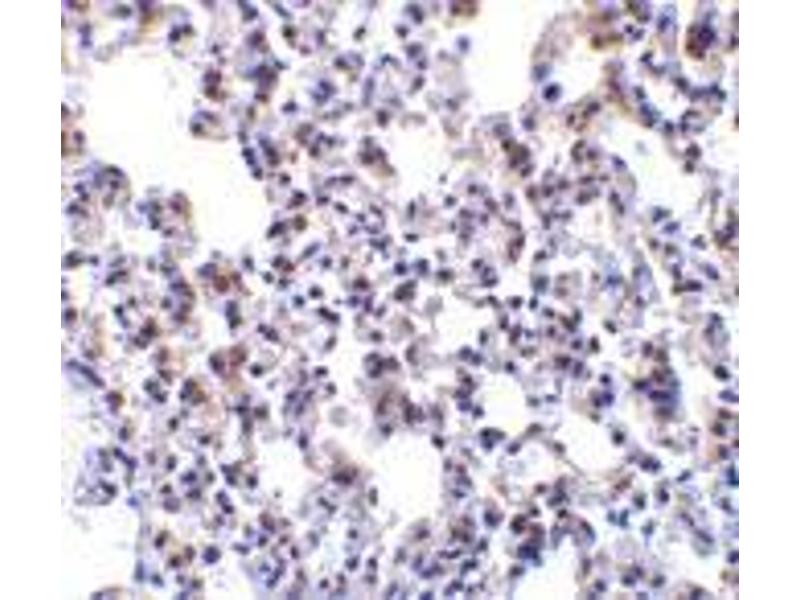
BCAP31 抗体 (Intermediate Domain)

The 兔 多克隆 anti-BCAP31 antibody (ABIN499419) specifically detects BCAP31 in WB, IHC (p) 和 EIA. The antibody is reactive with 人, 小鼠 和 大鼠 samples.
产品编号 ABIN499419
发货至: 中国
Contact our Customer Service for availability and price in your country. Contact Info

Our Local Distributor

中国
北京 101111
No. 88 KeChuang 6th Street
Beijing Economic Technological Development Area
Room 801-803
4A Biotech Co.,Ltd.
Tel +86 (0512) 65829739 传真 +86 (010) 6788 5057

Quick Overview for BCAP31 抗体 (Intermediate Domain) (ABIN499419)

抗原

See all BCAP31 抗体
BCAP31 (B-Cell Receptor-Associated Protein 31 (BCAP31))

适用

  • 67
  • 33
  • 13
  • 2
  • 2
  • 1
  • 1
  • 1
  • 1
  • 1
  • 1
人, 小鼠, 大鼠

宿主

  • 59
  • 8
  • 1

克隆类型

  • 38
  • 30
多克隆

标记

  • 36
  • 5
  • 4
  • 3
  • 3
  • 3
  • 3
  • 3
  • 3
  • 3
  • 1
  • 1
This BCAP31 antibody is un-conjugated

应用范围

  • 51
  • 27
  • 26
  • 22
  • 14
  • 10
  • 9
  • 6
  • 2
  • 1
  • 1
  • 1
Western Blotting (WB), Immunohistochemistry (Paraffin-embedded Sections) (IHC (p)), Enzyme Immunoassay (EIA)
  • 抗原表位

    • 5
    • 5
    • 5
    • 1
    • 1
    • 1
    • 1
    • 1
    • 1
    • 1
    • 1
    • 1
    • 1
    Intermediate Domain

    特异性

    BAP31 antibody was raised against a 17 amino acid peptide from near the center of human BAP31.

    纯化方法

    Affinity chromatography purified via peptide column

    免疫原

    Human BAP31 (Intermediate Domain) Peptide

    亚型

    IgG
  • 应用备注

    ELISA. Western Blot: BAP31 antibody can be used for the detection of BAP31 by Western blot at 0.5- 1 μg/mL. Immunohistochemistry.
    Other applications not tested.
    Optimal dilutions are dependent on conditions and should be determined by the user.

    限制

    仅限研究用
  • 缓冲液

    PBS containing 0.02 % sodium azide.

    储存液

    Sodium azide

    注意事项

    This product contains sodium azide: a POISONOUS AND HAZARDOUS SUBSTANCE which should be handled by trained staff only.

    储存条件

    4 °C

    储存方法

    Store the antibody undiluted at 2-8 °C.
  • 抗原

    BCAP31 (B-Cell Receptor-Associated Protein 31 (BCAP31))

    别名

    BCAP31 / BAP31

    背景

    Bap31 and the related protein Bap29 are endoplasmic reticulum (ER) and ER-vesicle membrane proteins and members of the B-cell receptor-associated protein family (1,2). These two proteins are highly homologous and can form homo- and heterodimers. Bap31 is thought to be involved in the intracellular trafficking of several molecules such as MHC Class I molecules and CD11b/CD18 (3,4). Bap31 may also play a role in the initiation of ER stress-induced apoptosis through its association with caspase-8 via a death effector domain in its cytoplasmic tail, possibly through the promotion of membrane fragmentation and the release of cytochrome c from mitochondria (5). Bap31 itself contains two caspase cleavage sites and is cleaved during apoptosis. The p20 fragment of Bap31, when expressed ectopically, is also a potent inducer cell death (5).Synonyms: 6C6-AG tumor-associated antigen, B-cell receptor-associated protein 31, BCR-associated protein Bap31, DXS1357E, Protein CDM, p28 Bap31

    基因ID

    10134

    NCBI登录号

    NP_005736

    UniProt

    P51572

    途径

    Positive Regulation of Endopeptidase Activity
You are here: