电话:
+86 (0512) 65829739
传真:
+86 (010) 6788 5057
电子邮件:
orders@antibodies-online.cn

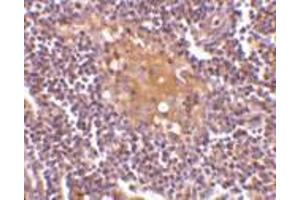
CD5L 抗体 (C-Term)

The 兔 多克隆 anti-CD5L antibody (ABIN499245) specifically detects CD5L in WB, IHC (p) 和 EIA. The antibody is reactive with 人 和 小鼠 samples.
产品编号 ABIN499245
发货至: 中国
Contact our Customer Service for availability and price in your country. Contact Info

Our Local Distributor

中国
北京 101111
No. 88 KeChuang 6th Street
Beijing Economic Technological Development Area
Room 801-803
4A Biotech Co.,Ltd.
Tel +86 (0512) 65829739 传真 +86 (010) 6788 5057

Quick Overview for CD5L 抗体 (C-Term) (ABIN499245)

抗原

See all CD5L 抗体
CD5L (CD5 Molecule-Like (CD5L))

适用

  • 43
  • 32
  • 22
人, 小鼠

宿主

  • 65
  • 6
  • 2
  • 1

克隆类型

  • 64
  • 6
  • 2
多克隆

标记

  • 33
  • 12
  • 6
  • 2
  • 1
  • 1
  • 1
  • 1
  • 1
  • 1
  • 1
  • 1
  • 1
  • 1
  • 1
  • 1
  • 1
  • 1
  • 1
  • 1
  • 1
  • 1
  • 1
This CD5L antibody is un-conjugated

应用范围

  • 43
  • 17
  • 16
  • 13
  • 13
  • 11
  • 7
  • 7
  • 5
  • 4
  • 3
  • 3
  • 2
  • 1
  • 1
Western Blotting (WB), Immunohistochemistry (Paraffin-embedded Sections) (IHC (p)), Enzyme Immunoassay (EIA)
  • 抗原表位

    • 15
    • 9
    • 5
    • 3
    • 3
    • 3
    • 3
    • 2
    • 2
    • 2
    • 1
    • 1
    C-Term

    特异性

    This antibody reacts to AIM.

    纯化方法

    Affinity chromatography purified via peptide column

    免疫原

    AIM antibody was raised against a 13 amino acid peptide near the carboxy terminus of human AIM.

    亚型

    IgG
  • 应用备注

    ELISA. Western Blot: Immunohistochemistry.
    Other applications not tested.
    Optimal dilutions are dependent on conditions and should be determined by the user.

    限制

    仅限研究用
  • 缓冲液

    PBS containing 0.02 % sodium azide.

    储存液

    Sodium azide

    注意事项

    This product contains sodium azide: a POISONOUS AND HAZARDOUS SUBSTANCE which should be handled by trained staff only.

    储存条件

    4 °C

    储存方法

    Store the antibody undiluted at 2-8 °C.
  • 抗原

    CD5L (CD5 Molecule-Like (CD5L))

    别名

    CD5L / API6

    背景

    Apoptosis inhibitor of macrophages (AIM) is a member of the scavenger receptor cysteine-rich domain superfamily (SRCR-SF) initially identified as an inducible cell surface ligand of CD5. It was shown that AIM functions in the thymus as the inducer of resistance to apoptosis within CD4+/CD8+ thymocytes and as the supporter of the viability of these cells before thymic selection. AIM was also shown to support macrophage survival and enhance their phagocytic function. More recent experiments using recombinant AIM significantly inhibited apoptosis of NKT and T cells obtained from C. parvum-stimulated livers in vitro, suggesting that AIM functions to induce resistance to apoptosis in these cells and supports host defense against inflammation during infection.Synonyms: AIM, CD5 antigen-like, CT-2, IgM-associated peptide, SP-alpha

    基因ID

    922

    UniProt

    O43866
You are here: