电话:
+86 (0512) 65829739
传真:
+86 (010) 6788 5057
电子邮件:
orders@antibodies-online.cn

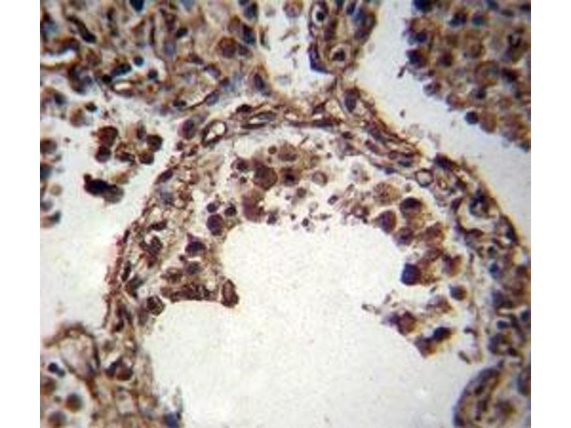
TUBA1C 抗体 (AA 414-441)

The 兔 多克隆 anti-TUBA1C antibody (ABIN3029334) specifically detects TUBA1C in WB, ELISA 和 IHC. The antibody is reactive with 人, 小鼠 和 大鼠 samples.
产品编号 ABIN3029334
发货至: 中国
Contact our Customer Service for availability and price in your country. Contact Info

Our Local Distributor

中国
北京 101111
No. 88 KeChuang 6th Street
Beijing Economic Technological Development Area
Room 801-803
4A Biotech Co.,Ltd.
Tel +86 (0512) 65829739 传真 +86 (010) 6788 5057

Quick Overview for TUBA1C 抗体 (AA 414-441) (ABIN3029334)

抗原

See all TUBA1C 抗体
TUBA1C (Tubulin, alpha 1c (TUBA1C))

适用

  • 37
  • 16
  • 8
  • 2
  • 2
  • 2
  • 2
  • 2
  • 1
  • 1
  • 1
  • 1
  • 1
  • 1
  • 1
人, 小鼠, 大鼠

宿主

  • 32
  • 7

克隆类型

  • 32
  • 5
多克隆

标记

  • 23
  • 3
  • 3
  • 2
  • 1
  • 1
  • 1
  • 1
  • 1
  • 1
  • 1
  • 1
This TUBA1C antibody is un-conjugated

应用范围

  • 27
  • 20
  • 12
  • 3
  • 2
  • 2
  • 1
  • 1
Western Blotting (WB), ELISA, Immunohistochemistry (IHC)
  • 抗原表位

    • 8
    • 7
    • 6
    • 3
    • 2
    • 1
    • 1
    AA 414-441

    交叉反应 (详细)

    Expected species reactivity: Xenopus

    纯化方法

    Antigen affinity purified

    免疫原

    A portion of amino acids 414-441 from the human protein was used as the immunogen for this TUBA6 / TUBA1C antibody.

    亚型

    Ig Fraction
  • 应用备注

    Titration of the TUBA1C antibody may be required due to differences in protocols and secondary/substrate sensitivity.\. Western blot: 1:1000,IHC (Paraffin): 1:10-1:50

    限制

    仅限研究用
  • 状态

    Liquid

    缓冲液

    In 1X PBS pH 7.4 with 0.09 % sodium azide

    储存液

    Sodium azide

    注意事项

    This product contains Sodium azide: a POISONOUS AND HAZARDOUS SUBSTANCE which should be handled by trained staff only.

    储存条件

    -20 °C

    储存方法

    Aliquot the TUBA1C antibody and store frozen at -20°C or colder. Avoid repeated freeze-thaw cycles.
  • 抗原

    TUBA1C (Tubulin, alpha 1c (TUBA1C))

    别名

    TUBA1C (Tubulin alpha 1C)

    背景

    Tubulin is the major constituent of microtubules. It binds two moles of GTP, one at an exchangeable site on the beta chain and one at a non-exchangeable site on the alpha-chain.

    UniProt

    Q9BQE3

    途径

    Microtubule Dynamics, M Phase
You are here: