电话:
+86 (0512) 65829739
传真:
+86 (010) 6788 5057
电子邮件:
orders@antibodies-online.cn

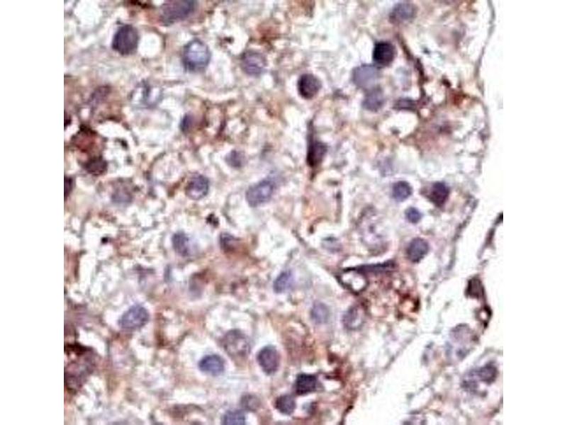
SPHK2 抗体 (AA 1-30)

The 兔 多克隆 anti-SPHK2 antibody (ABIN3032712) specifically detects SPHK2 in WB, IHC 和 ELISA. The antibody is reactive with 人 samples.
产品编号 ABIN3032712
发货至: 中国
Contact our Customer Service for availability and price in your country. Contact Info

Our Local Distributor

中国
北京 101111
No. 88 KeChuang 6th Street
Beijing Economic Technological Development Area
Room 801-803
4A Biotech Co.,Ltd.
Tel +86 (0512) 65829739 传真 +86 (010) 6788 5057

Quick Overview for SPHK2 抗体 (AA 1-30) (ABIN3032712)

抗原

See all SPHK2 抗体
SPHK2 (Sphingosine Kinase 2 (SPHK2))

适用

  • 53
  • 25
  • 12

宿主

  • 55
  • 2

克隆类型

  • 57
多克隆

标记

  • 40
  • 3
  • 2
  • 2
  • 2
  • 2
  • 1
  • 1
  • 1
  • 1
  • 1
  • 1
This SPHK2 antibody is un-conjugated

应用范围

  • 43
  • 30
  • 30
  • 8
  • 5
  • 4
  • 3
  • 1
  • 1
  • 1
Western Blotting (WB), Immunohistochemistry (IHC), ELISA
  • 抗原表位

    • 10
    • 9
    • 6
    • 5
    • 4
    • 2
    • 1
    • 1
    • 1
    • 1
    • 1
    • 1
    • 1
    • 1
    • 1
    • 1
    • 1
    AA 1-30

    纯化方法

    Purified

    免疫原

    A portion of amino acids 1-30 from the human protein was used as the immunogen for this SPHK2 antibody.

    亚型

    Ig Fraction
  • 应用备注

    Titration of the SPHK2 antibody may be required due to differences in protocols and secondary/substrate sensitivity.\. Western blot: 1:1000,IHC (Paraffin): 1:50-1:100

    限制

    仅限研究用
  • 状态

    Liquid

    缓冲液

    In 1X PBS, pH 7.4, with 0.09 % sodium azide

    储存液

    Sodium azide

    注意事项

    This product contains Sodium azide: a POISONOUS AND HAZARDOUS SUBSTANCE which should be handled by trained staff only.

    储存条件

    -20 °C

    储存方法

    Aliquot the SPHK2 antibody and store frozen at -20°C or colder. Avoid repeated freeze-thaw cycles.
  • 抗原

    SPHK2 (Sphingosine Kinase 2 (SPHK2))

    别名

    SPHK2

    背景

    Sphingosine Kinase (SphK) catalyzes the phosphorylation of the lipid sphingosine, creating the bioactive lipid sphingosine-1-phosphate (S1P). S1P subsequently signals through cell surface G protein-coupled receptors, as well as intracellularly, to modulate cell proliferation, survival, motility and differentiation. SphK is an important signaling enzyme which is activated by diverse agents, including growth factors that signal through receptor tyrosine kinases, agents activating G protein-coupled receptors, and immunoglobulin receptors. Two SphK isotypes, SphK-1 and SphK-2, have been cloned, and both isotypes are ubiquitously expressed. SphK-1 has been shown to mediate cell growth, prevention of apoptosis, and cellular transformation, and is upregulated in a variety of human tumors. In contrast, SphK-2 increases apoptosis, and may be responsible for phosphorylating and activating the immunosuppressive drug FTY720.

    UniProt

    Q9NRA0

    途径

    VEGF Signaling
You are here: