电话:
+86 (0512) 65829739
传真:
+86 (010) 6788 5057
电子邮件:
orders@antibodies-online.cn

MUC15 抗体 (AA 209-237)

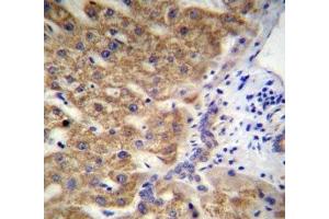
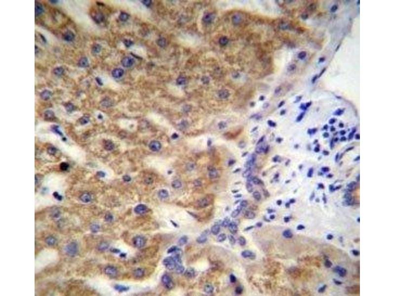
The 兔 多克隆 anti-MUC15 antibody (ABIN3028848) specifically detects MUC15 in WB, ELISA 和 IHC. The antibody is reactive with 人 samples.
产品编号 ABIN3028848
发货至: 中国
Contact our Customer Service for availability and price in your country. Contact Info

Our Local Distributor

中国
北京 101111
No. 88 KeChuang 6th Street
Beijing Economic Technological Development Area
Room 801-803
4A Biotech Co.,Ltd.
Tel +86 (0512) 65829739 传真 +86 (010) 6788 5057

Quick Overview for MUC15 抗体 (AA 209-237) (ABIN3028848)

抗原

See all MUC15 抗体
MUC15 (Mucin 15, Cell Surface Associated (MUC15))

适用

  • 40
  • 9
  • 4
  • 2
  • 2
  • 2
  • 2
  • 2
  • 1
  • 1

宿主

  • 40

克隆类型

  • 40
多克隆

标记

  • 11
  • 2
  • 2
  • 2
  • 2
  • 1
  • 1
  • 1
  • 1
  • 1
  • 1
  • 1
  • 1
  • 1
  • 1
  • 1
  • 1
  • 1
  • 1
  • 1
  • 1
  • 1
  • 1
  • 1
  • 1
  • 1
This MUC15 antibody is un-conjugated

应用范围

  • 34
  • 13
  • 13
  • 12
  • 8
  • 5
  • 3
  • 1
  • 1
Western Blotting (WB), ELISA, Immunohistochemistry (IHC)
You are here: