电话:
+86 (0512) 65829739
传真:
+86 (010) 6788 5057
电子邮件:
orders@antibodies-online.cn

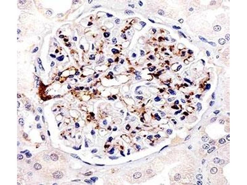
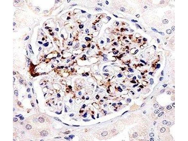
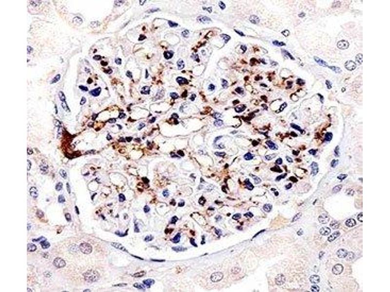
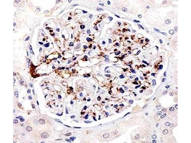
FABP4 抗体

This 小鼠 单克隆 antibody specifically detects FABP4 in WB, IHC 和 ELISA. It exhibits reactivity toward 人 和 小鼠.
产品编号 ABIN3028654
发货至: 中国
Contact our Customer Service for availability and price in your country. Contact Info

Our Local Distributor

中国
北京 101111
No. 88 KeChuang 6th Street
Beijing Economic Technological Development Area
Room 801-803
4A Biotech Co.,Ltd.
Tel +86 (0512) 65829739 传真 +86 (010) 6788 5057

Quick Overview for FABP4 抗体 (ABIN3028654)

抗原

See all FABP4 抗体
FABP4 (Fatty Acid Binding Protein 4, Adipocyte (FABP4))

适用

  • 146
  • 65
  • 60
  • 7
  • 3
  • 3
  • 3
  • 3
  • 3
  • 2
  • 2
  • 1
  • 1
  • 1
人, 小鼠

宿主

  • 132
  • 25
  • 4
  • 2
  • 1
小鼠

克隆类型

  • 115
  • 49
单克隆

标记

  • 82
  • 14
  • 9
  • 5
  • 5
  • 3
  • 3
  • 3
  • 3
  • 3
  • 3
  • 3
  • 2
  • 2
  • 2
  • 2
  • 2
  • 2
  • 2
  • 2
  • 2
  • 2
  • 2
  • 2
  • 1
  • 1
  • 1
  • 1
This FABP4 antibody is un-conjugated

应用范围

  • 104
  • 49
  • 47
  • 30
  • 27
  • 26
  • 21
  • 21
  • 15
  • 13
  • 8
  • 7
  • 4
  • 2
  • 2
  • 1
  • 1
Western Blotting (WB), Immunohistochemistry (IHC), ELISA

克隆位点

1105CT1-1-1
You are here: