电话:
+86 (0512) 65829739
传真:
+86 (010) 6788 5057
电子邮件:
orders@antibodies-online.cn

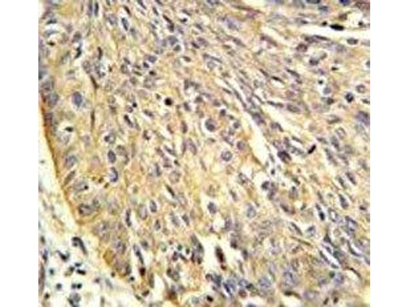
Annexin a1 抗体 (AA 129-158)

The 兔 多克隆 anti-Annexin a1 antibody is suitable to detect Annexin a1 in samples from 人. It has been validated for WB, IHC, ELISA 和 FACS.
产品编号 ABIN3029969
发货至: 中国
Contact our Customer Service for availability and price in your country. Contact Info

Our Local Distributor

中国
北京 101111
No. 88 KeChuang 6th Street
Beijing Economic Technological Development Area
Room 801-803
4A Biotech Co.,Ltd.
Tel +86 (0512) 65829739 传真 +86 (010) 6788 5057

Quick Overview for Annexin a1 抗体 (AA 129-158) (ABIN3029969)

抗原

See all Annexin a1 (ANXA1) 抗体
Annexin a1 (ANXA1) (Annexin A1 (ANXA1))

适用

  • 199
  • 64
  • 60
  • 15
  • 13
  • 11
  • 8
  • 7
  • 5
  • 2
  • 1
  • 1
  • 1
  • 1

宿主

  • 150
  • 97
  • 11
  • 1
  • 1

克隆类型

  • 146
  • 113
多克隆

标记

  • 136
  • 34
  • 13
  • 5
  • 5
  • 5
  • 5
  • 5
  • 5
  • 5
  • 5
  • 3
  • 2
  • 2
  • 2
  • 2
  • 2
  • 2
  • 2
  • 2
  • 2
  • 2
  • 2
  • 1
  • 1
  • 1
  • 1
  • 1
  • 1
  • 1
  • 1
  • 1
  • 1
  • 1
  • 1
This Annexin a1 antibody is un-conjugated

应用范围

  • 206
  • 138
  • 66
  • 54
  • 48
  • 47
  • 39
  • 39
  • 24
  • 15
  • 13
  • 11
  • 7
  • 6
  • 4
  • 4
  • 4
  • 3
  • 3
  • 1
  • 1
  • 1
  • 1
Western Blotting (WB), Immunohistochemistry (IHC), ELISA, Flow Cytometry (FACS)
  • 抗原表位

    • 35
    • 15
    • 13
    • 10
    • 10
    • 7
    • 6
    • 5
    • 4
    • 3
    • 2
    • 2
    • 2
    • 2
    • 1
    • 1
    • 1
    • 1
    • 1
    • 1
    • 1
    • 1
    • 1
    • 1
    • 1
    • 1
    • 1
    • 1
    • 1
    • 1
    • 1
    • 1
    AA 129-158

    纯化方法

    Purified

    免疫原

    A portion of amino acids 129-158 from the human protein was used as the immunogen for this Annexin A1 antibody.

    亚型

    Ig Fraction
  • 应用备注

    Titration of the Annexin A1 antibody may be required due to differences in protocols and secondary/substrate sensitivity.\. Western blot: 1:1000,IHC (Paraffin): 1:50-1:100,Flow Cytometry: 1:10-1:50

    限制

    仅限研究用
  • 状态

    Liquid

    缓冲液

    In 1X PBS, pH 7.4, with 0.09 % sodium azide

    储存液

    Sodium azide

    注意事项

    This product contains Sodium azide: a POISONOUS AND HAZARDOUS SUBSTANCE which should be handled by trained staff only.

    储存条件

    -20 °C

    储存方法

    Aliquot the Annexin A1 antibody and store frozen at -20°C or colder. Avoid repeated freeze-thaw cycles.
  • 抗原

    Annexin a1 (ANXA1) (Annexin A1 (ANXA1))

    别名

    Annexin A1

    背景

    Annexin I belongs to a family of Ca(2+)-dependent phospholipid binding proteins which have a molecular weight of approximately 35,000 to 40,000 and are preferentially located on the cytosolic face of the plasma membrane. Annexin I protein has an apparent relative molecular mass of 40 kDa, with phospholipase A2 inhibitory activity. Since phospholipase A2 is required for the biosynthesis of the potent mediators of inflammation, prostaglandins and leukotrienes, annexin I may have potential anti-inflammatory activity.

    UniProt

    P04083

    途径

    Hormone Transport
You are here: