电话:
+86 (0512) 65829739
传真:
+86 (010) 6788 5057
电子邮件:
orders@antibodies-online.cn

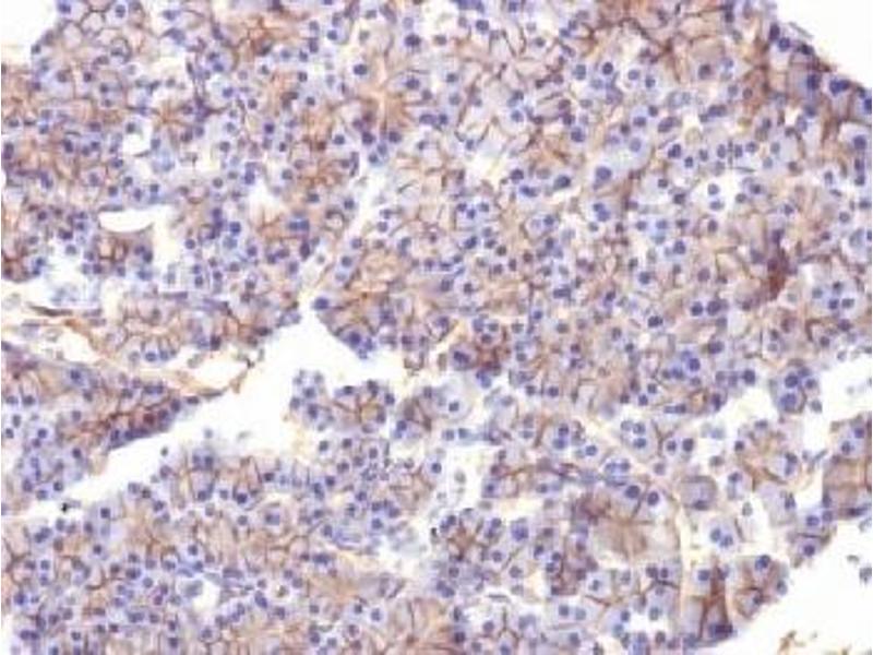
Spectrin, Beta, Non-erythrocytic 2 (SPTBN2) (AA 356-475) 抗体

The 小鼠 单克隆 anti-Spectrin, Beta, Non-erythrocytic 2 antibody is suitable to detect Spectrin, Beta, Non-erythrocytic 2 in samples from 人, 小鼠 和 大鼠. It has been validated for WB, FACS, IF 和 IHC (p).
产品编号 ABIN4949890
发货至: 中国
Contact our Customer Service for availability and price in your country. Contact Info

Our Local Distributor

中国
北京 101111
No. 88 KeChuang 6th Street
Beijing Economic Technological Development Area
Room 801-803
4A Biotech Co.,Ltd.
Tel +86 (0512) 65829739 传真 +86 (010) 6788 5057

Quick Overview for Spectrin, Beta, Non-erythrocytic 2 (SPTBN2) (AA 356-475) 抗体 (ABIN4949890)

抗原

See all Spectrin, Beta, Non-erythrocytic 2 (SPTBN2) 抗体
Spectrin, Beta, Non-erythrocytic 2 (SPTBN2)

适用

  • 110
  • 34
  • 33
  • 1
人, 小鼠, 大鼠

宿主

  • 66
  • 44
小鼠

克隆类型

  • 99
  • 11
单克隆

标记

  • 39
  • 9
  • 9
  • 9
  • 9
  • 9
  • 9
  • 9
  • 8
非结合性

应用范围

  • 107
  • 73
  • 65
  • 62
  • 29
  • 20
  • 14
  • 7
  • 5
  • 4
  • 2
Western Blotting (WB), Flow Cytometry (FACS), Immunofluorescence (IF), Immunohistochemistry (Paraffin-embedded Sections) (IHC (p))

克隆位点

SPTBN2-1584
  • 抗原表位

    • 97
    • 2
    • 2
    • 1
    • 1
    • 1
    • 1
    • 1
    • 1
    • 1
    AA 356-475

    纯化方法

    Protein G affinity chromatography

    免疫原

    Human recombinant partial protein corresponding to amino acids 356-475 was used as the immunogen for this Spectrin beta III antibody.

    亚型

    IgG1
  • 应用备注

    The concentration stated for each application is a general starting point. Variations in protocols, secondaries and substrates may require the Spectrin beta III antibody to be titered up or down for optimal performance.\. FACS: 0.5-1 μg/10^6 cells in 0.1ml,IF: 0.5-1 μg/mL,IHC (FFPE): 0.5-1 μg/mL for 30 min at RT,WB: 0.5-1 μg/mL,

    限制

    仅限研究用
  • 浓度

    1 mg/mL

    缓冲液

    1 mg/mL in 1X PBS, BSA free, sodium azide free

    储存液

    Azide free

    储存条件

    4 °C,-20 °C

    储存方法

    Store the Spectrin beta III antibody at 2-8°C (with azide) or aliquot and store at -20°C or colder (without azide).
  • 抗原

    Spectrin, Beta, Non-erythrocytic 2 (SPTBN2)

    别名

    SPTBN2 / Spectrin beta III

    背景

    Spectrin is an actin binding protein that is a major component of the plasma membrane skeleton. Spectrins function as membrane organizers and stabilizers by forming dimers, tetramers and higher polymers. Spectrin alpha and spectrin beta are present in erythrocytes, whereas spectrin alphaII (fodrin alpha) and spectrin betaI (fodrin beta) are present in other somatic cells. SPTBN2/Spectrin betaIII is highly homologous to both spectrin betaI and spectrin betaII. SPTBN2 is highly expressed in brain, kidney, pancreas and liver, and at lower levels in lung and placenta.

    基因ID

    6712

    途径

    Regulation of Actin Filament Polymerization, Synaptic Vesicle Exocytosis
You are here: