电话:
+86 (0512) 65829739
传真:
+86 (010) 6788 5057
电子邮件:
orders@antibodies-online.cn

LH alpha 抗体

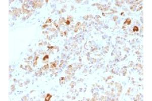
The 小鼠 单克隆 anti-LH alpha antibody (Clone LHa-756) (ABIN4949777) specifically detects LH alpha in IHC (p). The antibody is reactive with 人 samples.
产品编号 ABIN4949777
发货至: 中国
Contact our Customer Service for availability and price in your country. Contact Info

Our Local Distributor

中国
北京 101111
No. 88 KeChuang 6th Street
Beijing Economic Technological Development Area
Room 801-803
4A Biotech Co.,Ltd.
Tel +86 (0512) 65829739 传真 +86 (010) 6788 5057

Quick Overview for LH alpha 抗体 (ABIN4949777)

抗原

LH alpha (Luteinizing Hormone alpha (LH alpha))

适用

  • 3
  • 1

宿主

  • 4
小鼠

克隆类型

  • 4
单克隆

标记

  • 3
  • 1
This LH alpha antibody is un-conjugated

应用范围

  • 2
  • 1
  • 1
Immunohistochemistry (Paraffin-embedded Sections) (IHC (p))

克隆位点

LHa-756
  • 纯化方法

    Protein G affinity chromatography

    免疫原

    Recombinant full-length human LHa protein was used as the immunogen for the Luteinizing Hormone alpha antibody.

    亚型

    IgG1 kappa
  • 应用备注

    Optimal dilution of the Luteinizing Hormone alpha antibody should be determined by the researcher.\. Immunohistochemistry (FFPE): 1-2 μg/mL for 30 min RT

    限制

    仅限研究用
  • 浓度

    1 mg/mL

    缓冲液

    1 mg/mL in 1X PBS, BSA free, sodium azide free

    储存液

    Azide free

    储存条件

    4 °C,-20 °C

    储存方法

    Store the Luteinizing Hormone alpha antibody at 2-8°C (with azide) or aliquot and store at -20°C or colder (without azide).
  • 抗原

    LH alpha (Luteinizing Hormone alpha (LH alpha))

    别名

    Luteinizing Hormone alpha / hCG alpha

    背景

    This mAb reacts with a protein of ~13  kDa, identified as alpha subunit of Luteinizing Hormone (LH) or Chorionic Gonadotrophin (CG). The protein dimer contains 2 polypeptide units, labeled alpha and beta subunits that are connected by two bridges. The alpha subunits of LH, FSH, TSH, and hCG are identical, and contain 92 amino acids. The beta subunits vary. LH has a beta subunit of 121 amino acids (LHB) that confers its specific biologic action and is responsible for interaction with the LH receptor. This beta subunit contains the same amino acids in sequence as the beta subunit of hCG and both stimulate the same receptor, however, the hCG beta subunit contains an additional 24 amino acids and the hormones differ in the composition of their sugar moieties. LH is synthesized and secreted by gonadotrophs in the anterior lobe of the pituitary gland. In concert with the other pituitary gonadotropin follicle-stimulating hormone (FSH), it is necessary for proper reproductive function. In the female, an acute rise of LH levels triggers ovulation. In the male, where LH has also been called Interstitial Cell-Stimulating Hormone (ICSH), it stimulates Leydig cell production of testosterone. LH is a useful marker in classification of pituitary tumors and the study of pituitary disease.
You are here: