电话:
+86 (0512) 65829739
传真:
+86 (010) 6788 5057
电子邮件:
orders@antibodies-online.cn

MYO18B 抗体

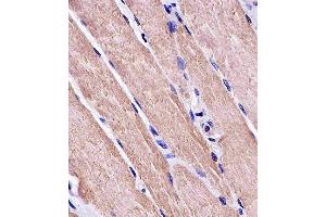
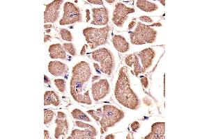
The 小鼠 单克隆 anti-MYO18B antibody is suitable to detect MYO18B in samples from 人. It has been validated for FACS, WB 和 IHC (p).
产品编号 ABIN4912136
发货至: 中国
Contact our Customer Service for availability and price in your country. Contact Info

Our Local Distributor

中国
北京 101111
No. 88 KeChuang 6th Street
Beijing Economic Technological Development Area
Room 801-803
4A Biotech Co.,Ltd.
Tel +86 (0512) 65829739 传真 +86 (010) 6788 5057

Quick Overview for MYO18B 抗体 (ABIN4912136)

抗原

See all MYO18B 抗体
MYO18B (Myosin XVIIIB (MYO18B))

适用

宿主

  • 12
  • 1
小鼠

克隆类型

  • 12
  • 1
单克隆

标记

  • 4
  • 1
  • 1
  • 1
  • 1
  • 1
  • 1
  • 1
  • 1
  • 1
This MYO18B antibody is un-conjugated

应用范围

  • 4
  • 2
  • 1
  • 1
  • 1
  • 1
Flow Cytometry (FACS), Western Blotting (WB), Immunohistochemistry (Paraffin-embedded Sections) (IHC (p))

克隆位点

3C5
  • 交叉反应

    纯化方法

    Purified by Protein G.

    免疫原

    This MYO18B antibody is generated from a mouse immunized with recombinant protein from human MYO18B.

    亚型

    IgG2b
  • 应用备注

    WB 1:300-5000
    FCM 1:20-100
    IHC-P 1:200-400

    限制

    仅限研究用
  • 状态

    Liquid

    浓度

    0.5 μg/μL

    缓冲液

    0.01M TBS( pH 7.4) with 1 % BSA, 0.02 % Proclin300 and 50 % Glycerol.

    储存液

    ProClin

    注意事项

    This product contains ProClin: a POISONOUS AND HAZARDOUS SUBSTANCE, which should be handled by trained staff only.

    储存条件

    -20 °C

    储存方法

    Store at -20°C for 12 months.

    有效期

    12 months
  • 抗原

    MYO18B (Myosin XVIIIB (MYO18B))

    别名

    MYO18B

    背景

    Synonyms: KFS4, Unconventional myosin-XVIIIb, MYO18B

    Background: May be involved in intracellular trafficking of the muscle cell when in the cytoplasm, whereas entering the nucleus, may be involved in the regulation of muscle specific genes. May play a role in the control of tumor development and progression, restored MYO18B expression in lung cancer cells suppresses anchorage-independent growth.

    基因ID

    84700

    UniProt

    Q8IUG5
You are here: