电话:
+86 (0512) 65829739
传真:
+86 (010) 6788 5057
电子邮件:
orders@antibodies-online.cn

ABL2 抗体

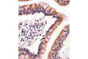
The 小鼠 单克隆 anti-ABL2 antibody is suitable to detect ABL2 in samples from 人 和 小鼠. It has been validated for WB 和 IHC (p).
产品编号 ABIN4905794
发货至: 中国
Contact our Customer Service for availability and price in your country. Contact Info

Our Local Distributor

中国
北京 101111
No. 88 KeChuang 6th Street
Beijing Economic Technological Development Area
Room 801-803
4A Biotech Co.,Ltd.
Tel +86 (0512) 65829739 传真 +86 (010) 6788 5057

Quick Overview for ABL2 抗体 (ABIN4905794)

抗原

See all ABL2 抗体
ABL2

适用

  • 84
  • 36
  • 33
  • 1
  • 1
  • 1
  • 1
  • 1
人, 小鼠

宿主

  • 94
  • 7
小鼠

克隆类型

  • 76
  • 25
单克隆

标记

  • 31
  • 9
  • 7
  • 6
  • 3
  • 3
  • 3
  • 3
  • 3
  • 3
  • 3
  • 3
  • 2
  • 2
  • 2
  • 2
  • 2
  • 2
  • 2
  • 2
  • 2
  • 2
  • 2
  • 1
  • 1
This ABL2 antibody is un-conjugated

应用范围

  • 65
  • 35
  • 26
  • 26
  • 10
  • 10
  • 8
  • 6
  • 5
  • 4
  • 2
  • 1
  • 1
  • 1
  • 1
Western Blotting (WB), Immunohistochemistry (Paraffin-embedded Sections) (IHC (p))

克隆位点

2C3
  • 交叉反应

    人, 小鼠

    纯化方法

    Purified by Protein G.

    免疫原

    This ABL2 antibody is generated from a mouse immunized with a recombinant protein.

    亚型

    IgG1
  • 应用备注

    WB 1:300-5000
    IHC-P 1:200-400

    限制

    仅限研究用
  • 状态

    Liquid

    浓度

    0.5 μg/μL

    缓冲液

    0.01M TBS( pH 7.4) with 1 % BSA, 0.02 % Proclin300 and 50 % Glycerol.

    储存液

    ProClin

    注意事项

    This product contains ProClin: a POISONOUS AND HAZARDOUS SUBSTANCE, which should be handled by trained staff only.

    储存条件

    -20 °C

    储存方法

    Store at -20°C for 12 months.

    有效期

    12 months
  • 抗原

    ABL2

    别名

    ABL2

    背景

    Synonyms: ARG, ABLL, Abelson tyrosine-protein kinase 2, Abelson murine leukemia viral oncogene homolog 2, Abelson-related gene protein, Tyrosine-protein kinase ARG, ABL2

    Background: Non-receptor tyrosine-protein kinase that plays an ABL1-overlapping role in key processes linked to cell growth and survival such as cytoskeleton remodeling in response to extracellular stimuli, cell motility and adhesion and receptor endocytosis. Coordinates actin remodeling through tyrosine phosphorylation of proteins controlling cytoskeleton dynamics like MYH10 (involved in movement), CTTN (involved in signaling), or TUBA1 and TUBB (microtubule subunits). Binds directly F-actin and regulates actin cytoskeletal structure through its F-actin-bundling activity. Involved in the regulation of cell adhesion and motility through phosphorylation of key regulators of these processes such as CRK, CRKL, DOK1 or ARHGAP35. Adhesion-dependent phosphorylation of ARHGAP35 promotes its association with RASA1, resulting in recruitment of ARHGAP35 to the cell periphery where it inhibits RHO. Phosphorylates multiple receptor tyrosine kinases like PDGFRB and other substrates which are involved in endocytosis regulation such as RIN1. In brain, may regulate neurotransmission by phosphorylating proteins at the synapse. ABL2 acts also as a regulator of multiple pathological signaling cascades during infection. Pathogens can highjack ABL2 kinase signaling to reorganize the host actin cytoskeleton for multiple purposes, like facilitating intracellular movement and host cell exit. Finally, functions as its own regulator through autocatalytic activity as well as through phosphorylation of its inhibitor, ABI1.

    基因ID

    27

    UniProt

    P42684
You are here: