电话:
+86 (0512) 65829739
传真:
+86 (010) 6788 5057
电子邮件:
orders@antibodies-online.cn

CCR4 抗体 (Extracellular Domain)

The 山羊 多克隆 anti-CCR4 antibody is suitable to detect CCR4 in samples from 人 和 猴. It has been validated for ELISA, WB, FACS, IHC 和 IHC (p).
产品编号 ABIN490082
发货至: 中国
Contact our Customer Service for availability and price in your country. Contact Info

Our Local Distributor

中国
北京 101111
No. 88 KeChuang 6th Street
Beijing Economic Technological Development Area
Room 801-803
4A Biotech Co.,Ltd.
Tel +86 (0512) 65829739 传真 +86 (010) 6788 5057

Quick Overview for CCR4 抗体 (Extracellular Domain) (ABIN490082)

抗原

See all CCR4 抗体
CCR4 (Chemokine (C-C Motif) Receptor 4 (CCR4))

适用

  • 90
  • 33
  • 19
  • 6
  • 4
  • 3
  • 3
  • 1
  • 1
人, 猴

宿主

  • 64
  • 19
  • 7
  • 6
  • 1
山羊

克隆类型

  • 69
  • 23
  • 3
多克隆

标记

  • 48
  • 7
  • 6
  • 5
  • 4
  • 4
  • 2
  • 1
  • 1
  • 1
  • 1
  • 1
  • 1
  • 1
  • 1
  • 1
  • 1
  • 1
  • 1
  • 1
  • 1
  • 1
  • 1
  • 1
  • 1
  • 1
This CCR4 antibody is un-conjugated

应用范围

  • 44
  • 35
  • 27
  • 15
  • 14
  • 14
  • 13
  • 10
  • 10
  • 3
  • 3
  • 3
  • 2
  • 2
  • 2
  • 1
ELISA, Western Blotting (WB), Flow Cytometry (FACS), Immunohistochemistry (IHC), Immunohistochemistry (Paraffin-embedded Sections) (IHC (p))
  • 抗原表位

    • 15
    • 8
    • 5
    • 5
    • 4
    • 3
    • 3
    • 3
    • 3
    • 3
    • 2
    • 2
    • 1
    • 1
    • 1
    • 1
    • 1
    • 1
    • 1
    • 1
    • 1
    • 1
    Extracellular Domain

    特异性

    Peptide sequence is <50 % identical to other chemokine receptors in this region.

    预测反应

    Percent identity by BLAST analysis: Human, Gorilla, Monkey, Marmoset (100%) Gibbon, Panda (96%) Hamster, Dog, Horse (91%) Elephant, Rabbit (87%) Mouse (83%).

    纯化方法

    Immunoaffinity purified

    免疫原

    17SNYYLYESIPKPCTKEGIKAFGE39 corresponding to human CCR4 extracellular domain. Percent identity by BLAST analysis: Human, Gorilla, Monkey, Marmoset (100%), Gibbon, Panda (96%), Hamster, Dog, Horse (91%), Elephant, Rabbit (87%), Mouse (83%).
  • 应用备注

    Approved: ELISA (1:30000), Flo (1:12), IHC, IHC-P (5 μg/mL), WB (1:500)

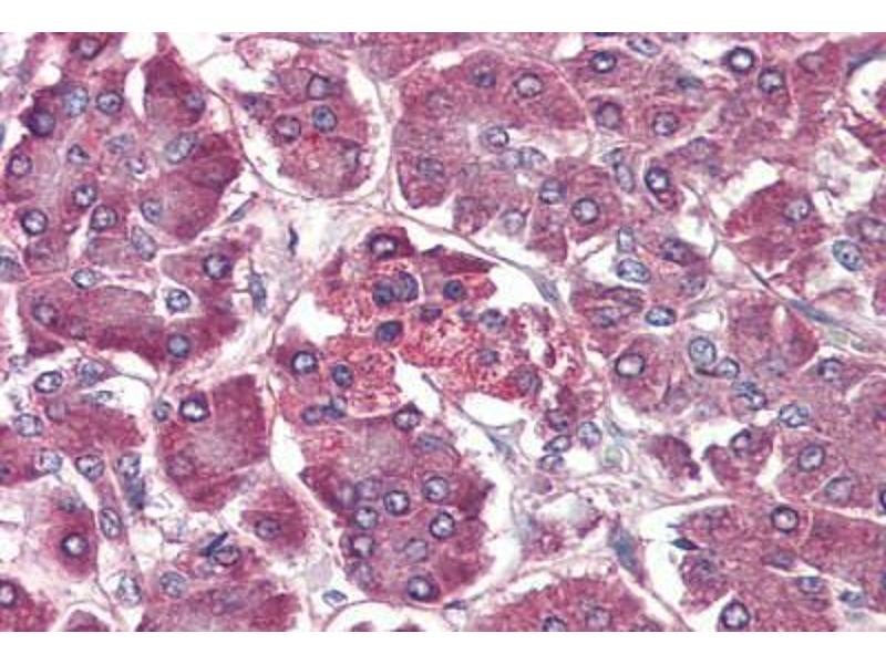
    Usage: Immunohistochemistry: This antibody was validated for use in immunohistochemistry on a panel of 21 formalin-fixed, paraffin-embedded (FFPE) human tissues after heat induced antigen retrieval in  pH 6.0 citrate buffer. After incubation with the primary antibody, slides were incubated with biotinylated secondary antibody, followed by alkaline phosphatase-streptavidin and chromogen. The stained slides were evaluated by a pathologist to confirm staining specificity. The optimal working concentration for this antibody was determined to be 5 μg/mL.

    说明

    Target Species of Antibody: Human

    限制

    仅限研究用
  • 状态

    Liquid

    浓度

    Lot specific

    缓冲液

    10 mM KHPO4, 140 mM NaCl with 1 mg/mL BSA and 0.1 % sodium azide

    储存液

    Sodium azide

    注意事项

    This product contains Sodium azide: a POISONOUS AND HAZARDOUS SUBSTANCE which should be handled by trained staff only.

    注意事项

    Avoid freeze-thaw cycles.

    储存条件

    -20 °C,-80 °C

    储存方法

    Short term: -20°C
    Long term: -70°C
    Avoid freeze-thaw cycles.
  • 抗原

    CCR4 (Chemokine (C-C Motif) Receptor 4 (CCR4))

    别名

    CCR4

    背景

    Name/Gene ID: CCR4
    Subfamily: Chemokine
    Family: GPCR

    Synonyms: CCR4, C-C chemokine receptor type 4, CD194, CD194 antigen, C-C CKR-4, Chemr13, CKR-4, CC chemokine receptor 4, CC-CKR-4, CCR-4, HGCN:14099, C-c chemokine receptor 4, Chemokine (C-C) receptor 4, CKR4, CMKBR4, K5-5

    基因ID

    1233

    UniProt

    P51679
You are here: