电话:
+86 (0512) 65829739
传真:
+86 (010) 6788 5057
电子邮件:
orders@antibodies-online.cn

TLN2 抗体 (Middle Region)

Cited in 1 publication. The 兔 多克隆 anti-TLN2 antibody (ABIN4886745) specifically detects TLN2 in WB 和 IHC. The antibody is reactive with 人, 小鼠 和 大鼠 samples.
产品编号 ABIN4886745
发货至: 中国
Contact our Customer Service for availability and price in your country. Contact Info

Our Local Distributor

中国
北京 101111
No. 88 KeChuang 6th Street
Beijing Economic Technological Development Area
Room 801-803
4A Biotech Co.,Ltd.
Tel +86 (0512) 65829739 传真 +86 (010) 6788 5057

Quick Overview for TLN2 抗体 (Middle Region) (ABIN4886745)

抗原

See all TLN2 抗体
TLN2 (Talin 2 (TLN2))

适用

人, 小鼠, 大鼠

宿主

  • 14
  • 3
  • 1

克隆类型

  • 13
  • 5
多克隆

标记

  • 12
  • 2
  • 2
  • 2
This TLN2 antibody is un-conjugated

应用范围

  • 13
  • 7
  • 6
  • 5
  • 4
  • 3
  • 3
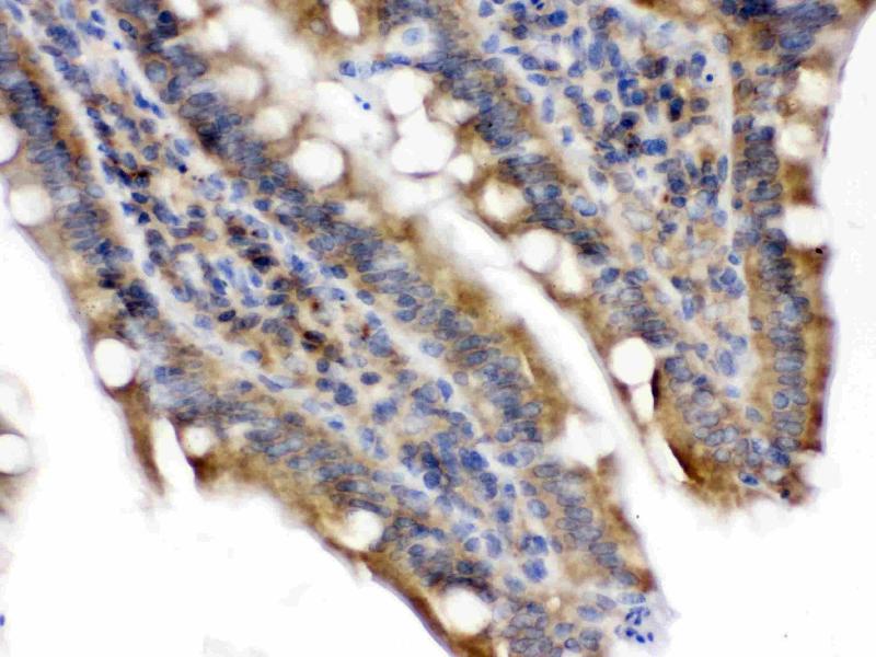
Western Blotting (WB), Immunohistochemistry (IHC)
  • 抗原表位

    • 5
    • 1
    • 1
    • 1
    • 1
    AA 1787-1822, Middle Region

    原理

    Anti-Talin 2/TLN2 Antibody

    序列

    NPKAQHTHDA ITEAAQLMKE AVDDIMVTLN EAASEV

    交叉反应 (详细)

    No cross-reactivity with other proteins

    产品特性

    Anti-Talin 2/TLN2 Antibody (ABIN4886745). Tested in IHC, WB applications. This antibody reacts with Human, Mouse, Rat. This is a premium antibody that guarantees superior quality, high affinity, and strong signals with minimal background in Western blot applications.

    纯化方法

    Immunogen affinity purified.

    免疫原

    A synthetic peptide corresponding to a sequence in the middle region of human Talin 2.

    亚型

    IgG
  • 应用备注

    Immunohistochemistry (Paraffin-embedded Section), 0.5-1 μg/mL, Human, Mouse, Rat
    Western blot, 0.1-0.5 μg/mL, Human, Mouse, Rat

    说明

    Antibody can be supported by chemiluminescence kit ABIN921124 in WB, supported by ABIN921231 in IHC(P).

    限制

    仅限研究用
  • 状态

    Lyophilized

    溶解方式

    Add 0.2 mL of distilled water will yield a concentration of 500 μg/mL.

    浓度

    500 μg/mL

    缓冲液

    Each vial contains 5 mg BSA, 0.9 mg NaCl, 0.2 mg Na2HPO4, 0.05 mg Sodium azide.

    储存液

    Sodium azide

    注意事项

    This product contains Sodium azide: a POISONOUS AND HAZARDOUS SUBSTANCE which should be handled by trained staff only.

    注意事项

    Avoid repeated freezing and thawing.

    储存条件

    4 °C,-20 °C

    储存方法

    Store at -20°C for one year from date of receipt. After reconstitution, at 4°C for one month.
    It can also be aliquotted and stored frozen at -20°C for six months. Avoid repeated freeze-thaw cycles.
  • Li, Li, Qi, Rychahou, Jafari, Huang: "The role of talin2 in breast cancer tumorigenesis and metastasis." in: Oncotarget, Vol. 8, Issue 63, pp. 106876-106887, (2017) (PubMed).

  • 抗原

    TLN2 (Talin 2 (TLN2))

    别名

    TLN2

    背景

    Synonyms: Talin-2,TLN2,KIAA0320,

    Tissue Specificity: Expressed in small intestine, and at much lower levels in kidney, skeletal muscle, and adipose tissue.

    Background: Talin 2 is a protein in humans that is encoded by the TLN2 gene. It belongs to the talin protein family. This gene encodes a protein related to talin 1, a cytoskeletal protein that plays a significant role in the assembly of actin filaments and in spreading and migration of various cell types, including fibroblasts and osteoclasts. Talin-2 is expressed at high levels in cardiac muscle and functions to provide linkages between the extracellular matrix and actin cytoskeleton at costamere structures to transduce force laterally.

    分子量

    271 kDa

    基因ID

    83660

    UniProt

    Q9Y4G6

    途径

    Cell-Cell Junction Organization, Maintenance of Protein Location
You are here: