电话:
+86 (0512) 65829739
传真:
+86 (010) 6788 5057
电子邮件:
orders@antibodies-online.cn

Peptide YY 抗体 (Middle Region)

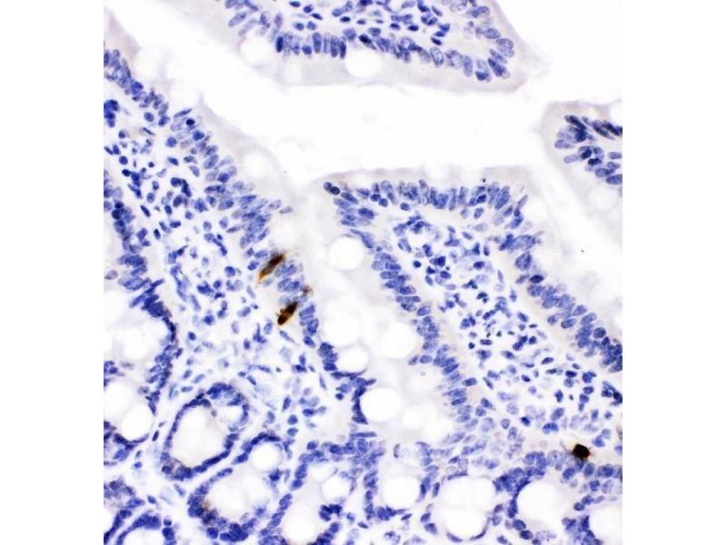
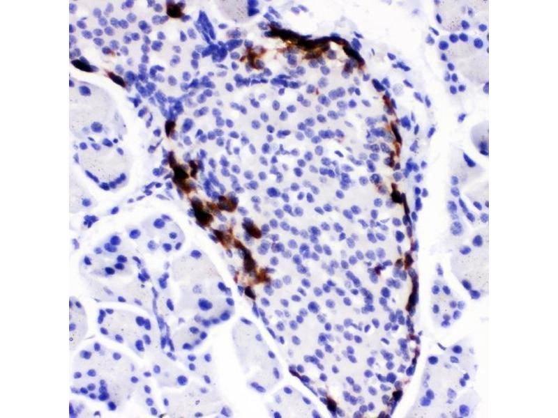
The 兔 多克隆 anti-Peptide YY antibody (ABIN4886709) specifically detects Peptide YY in IHC 和 IF. The antibody is reactive with 大鼠 和 小鼠 samples.
产品编号 ABIN4886709
发货至: 中国
Contact our Customer Service for availability and price in your country. Contact Info

Our Local Distributor

中国
北京 101111
No. 88 KeChuang 6th Street
Beijing Economic Technological Development Area
Room 801-803
4A Biotech Co.,Ltd.
Tel +86 (0512) 65829739 传真 +86 (010) 6788 5057

Quick Overview for Peptide YY 抗体 (Middle Region) (ABIN4886709)

抗原

See all Peptide YY (PYY) 抗体
Peptide YY (PYY)

适用

  • 65
  • 15
  • 14
  • 5
  • 5
  • 2
  • 2
  • 2
  • 2
  • 2
  • 1
  • 1
大鼠, 小鼠

宿主

  • 59
  • 7
  • 6
  • 3

克隆类型

  • 68
  • 7
多克隆

标记

  • 37
  • 10
  • 4
  • 4
  • 1
  • 1
  • 1
  • 1
  • 1
  • 1
  • 1
  • 1
  • 1
  • 1
  • 1
  • 1
  • 1
  • 1
  • 1
  • 1
  • 1
  • 1
  • 1
  • 1
This Peptide YY antibody is un-conjugated

应用范围

  • 37
  • 32
  • 22
  • 13
  • 13
  • 9
  • 8
  • 7
  • 6
  • 6
  • 4
  • 1
  • 1
  • 1
  • 1
  • 1
  • 1
Immunohistochemistry (IHC), Immunofluorescence (IF)
  • 抗原表位

    • 7
    • 5
    • 5
    • 4
    • 4
    • 3
    • 3
    • 2
    • 2
    • 2
    • 2
    • 1
    • 1
    • 1
    • 1
    • 1
    AA 29-64, Middle Region

    原理

    Anti-Peptide YY/PYY Antibody

    序列

    YPAKPEAPGE DASPEELSRY YASLRHYLNL VTRQRY

    交叉反应 (详细)

    No cross-reactivity with other proteins

    产品特性

    Anti-Peptide YY/PYY Antibody (ABIN4886709). Tested in IF, IHC applications. This antibody reacts with Mouse, Rat.

    纯化方法

    Immunogen affinity purified.

    免疫原

    A synthetic peptide corresponding to a sequence in the middle region of mouse Peptide YY, different from the related human sequence by three amino acids, and identical to the related rat sequence.

    亚型

    IgG
  • 应用备注

    Immunohistochemistry (Paraffin-embedded Section), 0.5-1 μg/mL, Mouse, Rat
    Immunofluorescence, 5 μg/mL, Rat

    说明

    Antibody can be supported by chemiluminescence kit ABIN921124 in WB.

    限制

    仅限研究用
  • 状态

    Lyophilized

    溶解方式

    Add 0.2 mL of distilled water will yield a concentration of 500 μg/mL.

    浓度

    500 μg/mL

    缓冲液

    Each vial contains 5 mg BSA, 0.9 mg NaCl, 0.2 mg Na2HPO4, 0.01 mg Sodium azide.

    储存液

    Sodium azide

    注意事项

    This product contains Sodium azide: a POISONOUS AND HAZARDOUS SUBSTANCE which should be handled by trained staff only.

    注意事项

    Avoid repeated freezing and thawing.

    储存条件

    4 °C,-20 °C

    储存方法

    Store at -20°C for one year from date of receipt. After reconstitution, at 4°C for one month.
    It can also be aliquotted and stored frozen at -20°C for six months. Avoid repeated freeze-thaw cycles.
  • 抗原

    Peptide YY (PYY)

    别名

    Pyy

    背景

    Synonyms: Peptide YY ,PYY ,Peptide tyrosine tyrosine,Peptide YY (3-36) ,PYY-II ,Pyy,

    Tissue Specificity: Highly expressed in heart, placenta, pancreas, lung and liver and weakly expressed in spleen, lymph nodes and thymus. .

    Background: Peptide YY (PYY), also known as peptide tyrosine tyrosine, is a peptide that in humans is encoded by the PYY gene. This gene encodes a member of the neuropeptide Y (NPY) family of peptides. The encoded preproprotein is proteolytically processed to generate two alternative peptide products that differ in length by three amino acids. These peptides, secreted by endocrine cells in the gut, exhibit different binding affinities for each of the neuropeptide Y receptors. Binding of the encoded peptides to these receptors mediates regulation of pancreatic secretion, gut mobility and energy homeostasis. Rare variations in this gene could increase susceptibility to obesity and elevated serum levels of the encoded peptides may be associated with anorexia nervosa.

    Ready to elevate your research? Embrace the freedom to customize your peptides based on sequence, purity, and modifications. We're here to support your scientific endeavors with our top-notch < a href="https://www.bosterbio.com/services/custom-peptide-synthesis" style="color:#ea8d28">custom peptide synthesis service.

    Sequence Similarities: Belongs to the transient receptor (TC 1.A.4) family. STrpC subfamily. TRPC4 sub-subfamily.

    分子量

    19 kDa

    基因ID

    217212
You are here: