电话:
+86 (0512) 65829739
传真:
+86 (010) 6788 5057
电子邮件:
orders@antibodies-online.cn

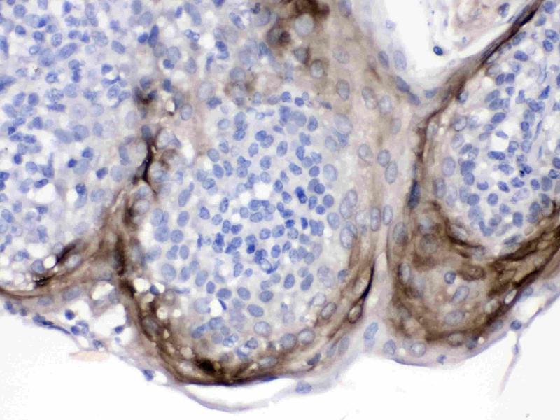
PI3 抗体 (AA 61-117)

The 兔 多克隆 anti-PI3 antibody (ABIN4886694) specifically detects PI3 in WB, IHC, ELISA, ICC, IF 和 FACS. The antibody is reactive with 人 samples.
产品编号 ABIN4886694
发货至: 中国
Contact our Customer Service for availability and price in your country. Contact Info

Our Local Distributor

中国
北京 101111
No. 88 KeChuang 6th Street
Beijing Economic Technological Development Area
Room 801-803
4A Biotech Co.,Ltd.
Tel +86 (0512) 65829739 传真 +86 (010) 6788 5057

Quick Overview for PI3 抗体 (AA 61-117) (ABIN4886694)

抗原

See all PI3 抗体
PI3 (Peptidase Inhibitor 3, Skin-Derived (PI3))

适用

  • 48
  • 2
  • 2
  • 1
  • 1
  • 1
  • 1

宿主

  • 32
  • 14
  • 1
  • 1

克隆类型

  • 34
  • 14
多克隆

标记

  • 28
  • 4
  • 4
  • 1
  • 1
  • 1
  • 1
  • 1
  • 1
  • 1
  • 1
  • 1
  • 1
  • 1
  • 1
This PI3 antibody is un-conjugated

应用范围

  • 45
  • 13
  • 13
  • 13
  • 11
  • 10
  • 7
  • 5
  • 3
  • 2
  • 2
  • 1
  • 1
Western Blotting (WB), Immunohistochemistry (IHC), ELISA, Immunocytochemistry (ICC), Immunofluorescence (IF), Flow Cytometry (FACS)
  • 抗原表位

    • 17
    • 5
    • 3
    • 2
    • 2
    • 2
    • 1
    • 1
    • 1
    • 1
    AA 61-117

    原理

    Anti-Elafin/Skalp/PI3 Antibody

    交叉反应 (详细)

    No cross-reactivity with other proteins

    产品特性

    Anti-Elafin/Skalp/PI3 Antibody (ABIN4886694). Tested in ELISA, Flow Cytometry, IF, IHC, ICC, WB applications. This antibody reacts with Human. This is a premium antibody that guarantees superior quality, high affinity, and strong signals with minimal background in Western blot applications.

    纯化方法

    Immunogen affinity purified.

    免疫原

    E. coli-derived human Elafin/Skalp recombinant protein (Position: A61-Q117).

    亚型

    IgG
  • 应用备注

    Western blot, 0.1-0.5 μg/mL, Human
    Immunohistochemistry (Paraffin-embedded Section), 0.5-1 μg/mL, Human
    Immunocytochemistry/Immunofluorescence, 2 μg/mL, Human
    Flow Cytometry (Fixed), 1-3 μg/1x106 cells, Human
    ELISA, 0.1-0.5 μg/mL, -

    说明

    Antibody can be supported by chemiluminescence kit ABIN921124 in WB, supported by ABIN921231 in IHC(P).

    限制

    仅限研究用
  • 状态

    Lyophilized

    溶解方式

    Add 0.2 mL of distilled water will yield a concentration of 500 μg/mL.

    浓度

    500 μg/mL

    缓冲液

    Each vial contains 5 mg BSA, 0.9 mg NaCl, 0.2 mg Na2HPO4, 0.05 mg Sodium azide.

    储存液

    Sodium azide

    注意事项

    This product contains Sodium azide: a POISONOUS AND HAZARDOUS SUBSTANCE which should be handled by trained staff only.

    注意事项

    Avoid repeated freezing and thawing.

    储存条件

    4 °C,-20 °C

    储存方法

    Store at -20°C for one year from date of receipt. After reconstitution, at 4°C for one month.
    It can also be aliquotted and stored frozen at -20°C for six months. Avoid repeated freeze-thaw cycles.
  • 抗原

    PI3 (Peptidase Inhibitor 3, Skin-Derived (PI3))

    别名

    PI3

    背景

    Synonyms: Elafin,Elastase-specific inhibitor,ESI,Peptidase inhibitor 3,PI-3,Protease inhibitor WAP3,Skin-derived antileukoproteinase,SKALP,WAP four-disulfide core domain protein 14,PI3,WAP3, WFDC14,

    Tissue Specificity: Expressed by the liver and secreted in plasma.

    Background: Elafin, also known as peptidase inhibitor 3 or skin-derived antileukoprotease (SKALP), is a protein that in humans is encoded by the PI3 gene. This gene encodes an elastase-specific inhibitor that functions as an antimicrobial peptide against Gram-positive and Gram-negative bacteria, and fungal pathogens. The protein contains a WAP-type four-disulfide core (WFDC) domain, and is thus a member of the WFDC domain family. Most WFDC gene members are localized to chromosome 20q12-q13 in two clusters: centromeric and telomeric. And this gene belongs to the centromeric cluster. Expression of this gene is upgulated by bacterial lipopolysaccharides and cytokines.

    分子量

    25 kDa

    基因ID

    5266

    UniProt

    P19957
You are here: