电话:
+86 (0512) 65829739
传真:
+86 (010) 6788 5057
电子邮件:
orders@antibodies-online.cn

CXCL13 抗体 (AA 22-109)

This 兔 多克隆 antibody specifically detects CXCL13 in WB, ELISA 和 IHC. It exhibits reactivity toward 小鼠.
产品编号 ABIN4886551
发货至: 中国
Contact our Customer Service for availability and price in your country. Contact Info

Our Local Distributor

中国
北京 101111
No. 88 KeChuang 6th Street
Beijing Economic Technological Development Area
Room 801-803
4A Biotech Co.,Ltd.
Tel +86 (0512) 65829739 传真 +86 (010) 6788 5057

Quick Overview for CXCL13 抗体 (AA 22-109) (ABIN4886551)

抗原

See all CXCL13 抗体
CXCL13 (Chemokine (C-X-C Motif) Ligand 13 (CXCL13))

适用

  • 51
  • 21
  • 4
小鼠

宿主

  • 46
  • 9
  • 2
  • 1

克隆类型

  • 47
  • 11
多克隆

标记

  • 28
  • 4
  • 4
  • 2
  • 1
  • 1
  • 1
  • 1
  • 1
  • 1
  • 1
  • 1
  • 1
  • 1
  • 1
  • 1
  • 1
  • 1
  • 1
  • 1
  • 1
  • 1
  • 1
  • 1
This CXCL13 antibody is un-conjugated

应用范围

  • 40
  • 16
  • 14
  • 14
  • 13
  • 6
  • 5
  • 4
  • 3
  • 3
  • 3
  • 3
  • 2
  • 2
  • 1
  • 1
  • 1
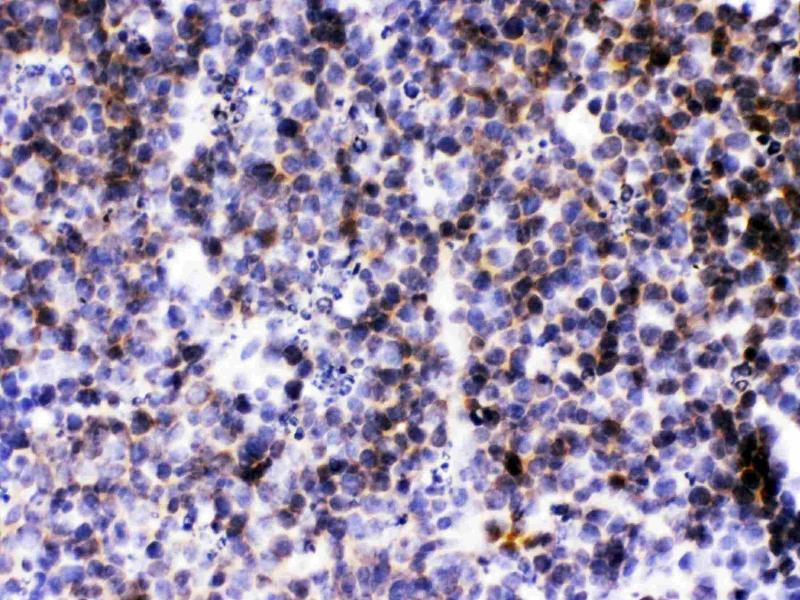
Western Blotting (WB), ELISA, Immunohistochemistry (IHC)
  • 抗原表位

    • 16
    • 5
    • 3
    • 3
    • 2
    • 2
    • 2
    • 1
    • 1
    • 1
    • 1
    AA 22-109

    原理

    Anti-BCA1/CXCL13 Antibody

    交叉反应 (详细)

    No cross-reactivity with other proteins

    产品特性

    Anti-BCA1/CXCL13 Antibody (ABIN4886551). Tested in ELISA, IHC, WB applications. This antibody reacts with Mouse. This is a premium antibody that guarantees superior quality, high affinity, and strong signals with minimal background in Western blot applications.

    纯化方法

    Immunogen affinity purified.

    免疫原

    E. coli-derived mouse BCA1 recombinant protein (Position: I22-A109). Mouse BCA1 shares 45.3% amino acid (aa) sequence identity with human BCA1.

    亚型

    IgG
  • 应用备注

    Western blot, 0.1-0.5 μg/mL, Mouse
    Immunohistochemistry (Paraffin-embedded Section), 2-5 μg/mL, Mouse
    ELISA, 0.1-0.5 μg/mL, -

    说明

    Antibody can be supported by chemiluminescence kit ABIN921124 in WB, supported by ABIN921231 in IHC(P).

    限制

    仅限研究用
  • 状态

    Lyophilized

    溶解方式

    Add 0.2 mL of distilled water will yield a concentration of 500 μg/mL.

    浓度

    500 μg/mL

    缓冲液

    Each vial contains 4 mg Trehalose, 0.9 mg NaCl and 0.2 mg Na2HPO4.

    注意事项

    Avoid repeated freezing and thawing.

    储存条件

    4 °C,-20 °C

    储存方法

    Store at -20°C for one year from date of receipt. After reconstitution, at 4°C for one month.
    It can also be aliquotted and stored frozen at -20°C for six months. Avoid repeated freeze-thaw cycles.
  • 抗原

    CXCL13 (Chemokine (C-X-C Motif) Ligand 13 (CXCL13))

    别名

    Cxcl13

    背景

    Synonyms: C-X-C motif chemokine 13,B lymphocyte chemoattractant,CXC chemokine BLC,Small-inducible cytokine B13,Cxcl13,Blc, Scyb13,

    Tissue Specificity: Found in spleen (B-cell-rich zone or follicles), Peyer patches (strongest within germinal centers and extending to the mantle zone) and lymph nodes (in reticular pattern in follicles).

    Background: C-X-C motif chemokine 13 (CXCL13), also known as B cell-attracting chemokine 1 (BCA-1), is a protein that in humans is encoded by the CXCL13 gene. CXCL13 is a small cytokine belonging to the CXC chemokine family. Its gene is mapped to human chromosome 4 in a cluster of other CXC chemokines. This protein has contained 109 amino acids. It is expressed highly in the liver, spleen, lymph nodes and gut of humans. The protein induces chemotaxis of BLR1-expressing B cells.

    分子量

    11 kDa

    基因ID

    55985

    UniProt

    O55038
You are here: