电话:
+86 (0512) 65829739
传真:
+86 (010) 6788 5057
电子邮件:
orders@antibodies-online.cn

ACSL1 抗体 (AA 604-698)

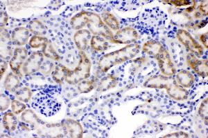
The 兔 多克隆 anti-ACSL1 antibody (ABIN4886418) specifically detects ACSL1 in WB, IHC, IF, ICC 和 FACS. The antibody is reactive with 人, 小鼠 和 大鼠 samples.
产品编号 ABIN4886418
发货至: 中国
Contact our Customer Service for availability and price in your country. Contact Info

Our Local Distributor

中国
北京 101111
No. 88 KeChuang 6th Street
Beijing Economic Technological Development Area
Room 801-803
4A Biotech Co.,Ltd.
Tel +86 (0512) 65829739 传真 +86 (010) 6788 5057

Quick Overview for ACSL1 抗体 (AA 604-698) (ABIN4886418)

抗原

See all ACSL1 (Acsl1) 抗体
ACSL1 (Acsl1) (Acyl-CoA Synthetase Long-Chain Family Member 1 (Acsl1))

适用

  • 30
  • 14
  • 12
  • 4
  • 4
  • 3
  • 2
  • 2
  • 2
  • 2
  • 1
人, 小鼠, 大鼠

宿主

  • 31
  • 1

克隆类型

  • 31
  • 1
多克隆

标记

  • 25
  • 3
  • 1
  • 1
  • 1
  • 1
This ACSL1 antibody is un-conjugated

应用范围

  • 26
  • 16
  • 8
  • 4
  • 4
  • 2
  • 2
  • 1
Western Blotting (WB), Immunohistochemistry (IHC), Immunofluorescence (IF), Immunocytochemistry (ICC), Flow Cytometry (FACS)
  • 抗原表位

    • 7
    • 5
    • 4
    • 3
    • 2
    • 1
    • 1
    • 1
    • 1
    • 1
    • 1
    • 1
    • 1
    • 1
    • 1
    AA 604-698

    原理

    Anti-ACSL1 Antibody

    交叉反应 (详细)

    No cross-reactivity with other proteins

    产品特性

    Anti-ACSL1 Antibody (ABIN4886418). Tested in Flow Cytometry, IF, IHC, ICC, WB applications. This antibody reacts with Human, Mouse, Rat. This is a premium antibody that guarantees superior quality, high affinity, and strong signals with minimal background in Western blot applications.

    纯化方法

    Immunogen affinity purified.

    免疫原

    E. coli-derived human ACSL1 recombinant protein (Position: D604-V698). Human ACSL1 shares 81.1% and 86.3% amino acid (aa) sequence identity with mouse and rat ACSL1, respectively.

    亚型

    IgG
  • 应用备注

    Western blot, 0.1-0.5 μg/mL, Human, Mouse, Rat
    Immunohistochemistry (Paraffin-embedded Section), 0.5-1 μg/mL, Human, Mouse, Rat
    Immunocytochemistry/Immunofluorescence, 5 μg/mL, Human
    Flow Cytometry (Fixed), 1-3 μg/1x106 cells, Human

    说明

    Antibody can be supported by chemiluminescence kit ABIN921124 in WB, supported by ABIN921231 in IHC(P).

    限制

    仅限研究用
  • 状态

    Lyophilized

    溶解方式

    Add 0.2 mL of distilled water will yield a concentration of 500 μg/mL.

    浓度

    500 μg/mL

    缓冲液

    Each vial contains 5 mg BSA, 0.9 mg NaCl, 0.2 mg Na2HPO4, 0.05 mg Sodium azide.

    储存液

    Sodium azide

    注意事项

    This product contains Sodium azide: a POISONOUS AND HAZARDOUS SUBSTANCE which should be handled by trained staff only.

    注意事项

    Avoid repeated freezing and thawing.

    储存条件

    4 °C,-20 °C

    储存方法

    Store at -20°C for one year from date of receipt. After reconstitution, at 4°C for one month.
    It can also be aliquotted and stored frozen at -20°C for six months. Avoid repeated freeze-thaw cycles.
  • 抗原

    ACSL1 (Acsl1) (Acyl-CoA Synthetase Long-Chain Family Member 1 (Acsl1))

    别名

    ACSL1

    背景

    Synonyms: Long-chain-fatty-acid--CoA ligase 1,6.2.1.3,Acyl-CoA synthetase 1,ACS1,Long-chain acyl-CoA synthetase 1,LACS 1,Long-chain acyl-CoA synthetase 2,LACS 2,Long-chain fatty acid-CoA ligase 2,Palmitoyl-CoA ligase 1,Palmitoyl-CoA ligase 2,ACSL1,FACL1, FACL2, LACS, LACS1, LACS2,

    Tissue Specificity: Highly expressed in liver, heart, skeletal muscle, kidney and erythroid cells, and to a lesser extent in brain, lung, placenta and pancreas. .

    Background: Long-chain-fatty-acid-CoA ligase 1 is an enzyme that in humans is encoded by the ACSL1 gene. The protein encoded by this gene is an isozyme of the long-chain fatty-acid-coenzyme A ligase family. Although differing in substrate specificity, subcellular localization, and tissue distribution, all isozymes of this family convert free long-chain fatty acids into fatty acyl-CoA esters, and thereby play a key role in lipid biosynthesis and fatty acid degradation. Several transcript variants encoding different isoforms have been found for this gene. This specific protein is most commonly found in mitochondria and peroxisomes.

    分子量

    78 kDa

    基因ID

    2180

    UniProt

    P33121

    途径

    Regulation of Lipid Metabolism by PPARalpha
You are here: