电话:
+86 (0512) 65829739
传真:
+86 (010) 6788 5057
电子邮件:
orders@antibodies-online.cn

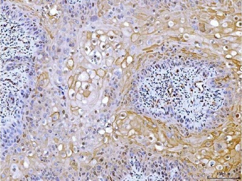
ACLY 抗体 (AA 1-180)

This 兔 多克隆 antibody specifically detects ACLY in WB, IHC, IF, FACS 和 ICC. It exhibits reactivity toward 人, 小鼠 和 大鼠.
产品编号 ABIN4886416
发货至: 中国
Contact our Customer Service for availability and price in your country. Contact Info

Our Local Distributor

中国
北京 101111
No. 88 KeChuang 6th Street
Beijing Economic Technological Development Area
Room 801-803
4A Biotech Co.,Ltd.
Tel +86 (0512) 65829739 传真 +86 (010) 6788 5057

Quick Overview for ACLY 抗体 (AA 1-180) (ABIN4886416)

抗原

See all ACLY 抗体
ACLY (ATP Citrate Lyase (ACLY))

适用

  • 109
  • 46
  • 43
  • 11
  • 6
  • 6
  • 5
  • 3
  • 3
  • 3
  • 3
  • 2
  • 2
  • 2
  • 1
  • 1
人, 小鼠, 大鼠

宿主

  • 96
  • 16

克隆类型

  • 71
  • 41
多克隆

标记

  • 57
  • 6
  • 4
  • 3
  • 3
  • 3
  • 3
  • 3
  • 3
  • 3
  • 2
  • 2
  • 2
  • 2
  • 2
  • 2
  • 2
  • 2
  • 2
  • 2
  • 2
  • 1
  • 1
This ACLY antibody is un-conjugated

应用范围

  • 93
  • 35
  • 29
  • 28
  • 27
  • 26
  • 20
  • 19
  • 11
  • 6
  • 6
  • 3
  • 2
  • 2
Western Blotting (WB), Immunohistochemistry (IHC), Immunofluorescence (IF), Flow Cytometry (FACS), Immunocytochemistry (ICC)
  • 抗原表位

    • 19
    • 15
    • 7
    • 5
    • 2
    • 2
    • 2
    • 2
    • 2
    • 1
    • 1
    • 1
    • 1
    • 1
    • 1
    • 1
    • 1
    • 1
    • 1
    • 1
    • 1
    • 1
    • 1
    • 1
    AA 1-180

    原理

    Anti-ATP citrate lyase/ACLY Antibody

    交叉反应 (详细)

    No cross-reactivity with other proteins

    产品特性

    Anti-ATP citrate lyase/ACLY Antibody (ABIN4886416). Tested in Flow Cytometry, IF, IHC, ICC, WB applications. This antibody reacts with Human, Mouse, Rat. This is a premium antibody that guarantees superior quality, high affinity, and strong signals with minimal background in Western blot applications.

    纯化方法

    Immunogen affinity purified.

    免疫原

    E. coli-derived human ATP citrate lyase recombinant protein (Position: M1-I180). Human ATP citrate lyase shares 95% amino acid (aa) sequence identity with both mouse and rat ATP citrate lyase.

    亚型

    IgG
  • 应用备注

    Western blot, 0.1-0.25 μg/mL, Human, Mouse, Rat
    Immunohistochemistry (Paraffin-embedded Section), 1-2 μg/mL, Human, Mouse, Rat
    Immunocytochemistry/Immunofluorescence, 5 μg/mL, Human
    Flow Cytometry (Fixed), 1-3 μg/1x106 cells, Human

    说明

    Antibody can be supported by chemiluminescence kit ABIN921124 in WB, supported by ABIN921231 in IHC(P).

    限制

    仅限研究用
  • 状态

    Lyophilized

    溶解方式

    Add 0.2 mL of distilled water will yield a concentration of 500 μg/mL.

    浓度

    500 μg/mL

    缓冲液

    Each vial contains 4 mg Trehalose, 0.9 mg NaCl and 0.2 mg Na2HPO4.

    注意事项

    Avoid repeated freezing and thawing.

    储存条件

    4 °C,-20 °C

    储存方法

    Store at -20°C for one year from date of receipt. After reconstitution, at 4°C for one month.
    It can also be aliquotted and stored frozen at -20°C for six months. Avoid repeated freeze-thaw cycles.
  • 抗原

    ACLY (ATP Citrate Lyase (ACLY))

    别名

    ACLY

    背景

    Synonyms: ATP-citrate synthase,2.3.3.8,ATP-citrate (pro-S-)-lyase,ACL,Citrate cleavage enzyme,ACLY,

    Background: ATP citrate lyase, aslo known as ACLY, is an enzyme that in animals represents an important step in fatty acid biosynthesis. ATP citrate lyase is the primary enzyme responsible for the synthesis of cytosolic acetyl-CoA in many tissues. The enzyme is a tetramer of apparently identical subunits. The product, acetyl-CoA, in animals serves several important biosynthetic pathways, including lipogenesis and cholesterogenesis. It is activated by insulin. In nervous tissue, ATP citrate-lyase may be involved in the biosynthesis of acetylcholine. In plants, ATP citrate lyase generates the acetyl-CoA for cytosolically-synthesized metabolites.

    分子量

    125 kDa

    基因ID

    47

    UniProt

    P53396

    途径

    Warburg Effect
You are here: