Ankyrin G 抗体 (AA 1690-1701)
Our Local Distributor
北京 101111
Quick Overview for Ankyrin G 抗体 (AA 1690-1701) (ABIN462525)
抗原
See all Ankyrin G (ANK3) 抗体适用
宿主
克隆类型
标记
应用范围
-
-
抗原表位
- AA 1690-1701
-
特异性
- Human ANK3. This antibody is expected to recognise both reported isoforms (NP_001140.2, NP_066267.2)
-
预测反应
- Percent identity by BLAST analysis: Human, Gorilla, Monkey, Pig (100%) Orangutan, Gibbon, Elephant, Panda, Bovine, Dog, Horse (92%) Hamster, Bat, Rabbit (83%).
-
纯化方法
- Immunoaffinity purified
-
免疫原
-
Synthetic peptide C-SWQNETSSGNLE from an internal region of human ANK3 (NP_066267.2, NP_001140.2). Percent identity by BLAST analysis: Human, Gorilla, Monkey, Pig (100%), Orangutan, Gibbon, Elephant, Panda, Bovine, Dog, Horse (92%), Hamster, Bat, Rabbit (83%).
Type of Immunogen: Synthetic peptide
-
-
-
-
应用备注
-
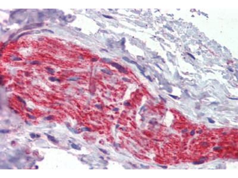
Approved: IHC, IHC-P (3.75 μg/mL)
Usage: Immunohistochemistry: This antibody was validated for use in immunohistochemistry on a panel of 21 formalin-fixed, paraffin-embedded (FFPE) human tissues after heat induced antigen retrieval in pH 6.0 citrate buffer. After incubation with the primary antibody, slides were incubated with biotinylated secondary antibody, followed by alkaline phosphatase-streptavidin and chromogen. The stained slides were evaluated by a pathologist to confirm staining specificity. The optimal working concentration for this antibody was determined to be 3.75 μg/mL. -
说明
-
Target Species of Antibody: Human
-
限制
- 仅限研究用
-
-
-
状态
- Liquid
-
浓度
- Lot specific
-
缓冲液
- Tris-buffered saline, pH 7.3, 0.5 % BSA, 0.02 % sodium azide
-
储存液
- Sodium azide
-
注意事项
- This product contains Sodium azide: a POISONOUS AND HAZARDOUS SUBSTANCE which should be handled by trained staff only.
-
注意事项
- Minimize freezing and thawing.
-
储存条件
- -20 °C
-
储存方法
- Store at -20°C. Avoid freeze-thaw cycles.
-
-
- Ankyrin G (ANK3) (Ankyrin 3, Node of Ranvier (Ankyrin G) (ANK3))
-
别名
- ANK3 / ANKYRIN-G
-
背景
-
Name/Gene ID: ANK3
Synonyms: ANK3, ANKYRIN-G, ANK-3, Ankyrin G119, Ankyrin-3 -
基因ID
- 288
-
NCBI登录号
- NP_066267, NP_001140
-
UniProt
- Q12955
-
途径
- Synaptic Membrane, Maintenance of Protein Location, Skeletal Muscle Fiber Development
抗原
-