电话:
+86 (0512) 65829739
传真:
+86 (010) 6788 5057
电子邮件:
orders@antibodies-online.cn

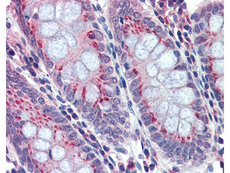
BACE2 抗体 (C-Term)

The 兔 多克隆 anti-BACE2 antibody (ABIN462450) specifically detects BACE2 in WB, IHC 和 IHC (p). The antibody is reactive with 人 samples.
产品编号 ABIN462450
发货至: 中国
Contact our Customer Service for availability and price in your country. Contact Info

Our Local Distributor

中国
北京 101111
No. 88 KeChuang 6th Street
Beijing Economic Technological Development Area
Room 801-803
4A Biotech Co.,Ltd.
Tel +86 (0512) 65829739 传真 +86 (010) 6788 5057

Quick Overview for BACE2 抗体 (C-Term) (ABIN462450)

抗原

See all BACE2 抗体
BACE2 (beta-Site APP-Cleaving Enzyme 2 (BACE2))

适用

  • 51
  • 36
  • 14
  • 4
  • 3
  • 2
  • 2
  • 2
  • 2
  • 1
  • 1
  • 1
  • 1

宿主

  • 65
  • 5
  • 3
  • 1

克隆类型

  • 67
  • 7
多克隆

标记

  • 38
  • 10
  • 7
  • 4
  • 2
  • 2
  • 1
  • 1
  • 1
  • 1
  • 1
  • 1
  • 1
  • 1
  • 1
  • 1
  • 1
This BACE2 antibody is un-conjugated

应用范围

  • 50
  • 30
  • 22
  • 13
  • 13
  • 12
  • 8
  • 7
  • 5
  • 3
  • 3
  • 3
  • 3
Western Blotting (WB), Immunohistochemistry (IHC), Immunohistochemistry (Paraffin-embedded Sections) (IHC (p))
  • 抗原表位

    • 15
    • 8
    • 7
    • 6
    • 5
    • 4
    • 3
    • 2
    • 2
    • 2
    • 2
    • 1
    • 1
    • 1
    • 1
    • 1
    • 1
    • 1
    • 1
    • 1
    C-Term

    纯化方法

    Immunoaffinity purified

    亚型

    IgG
  • 应用备注

    Approved: IHC, IHC-P (5 μg/mL), WB (0.5 - 1 μg/mL)

    说明

    Target Species of Antibody: Human

    限制

    仅限研究用
  • 状态

    Liquid

    浓度

    Lot specific

    缓冲液

    PBS, 0.02 % sodium azide.

    储存液

    Sodium azide

    注意事项

    This product contains Sodium azide: a POISONOUS AND HAZARDOUS SUBSTANCE which should be handled by trained staff only.

    注意事项

    avoid freeze thaw cycles. Store undiluted.

    储存条件

    4 °C,-20 °C

    储存方法

    Store at 4°C for 3 months and -20°C, stable for up to 1 year. Avoid repeated freeze-thaw cycles.

    有效期

    12 months
  • 抗原

    BACE2 (beta-Site APP-Cleaving Enzyme 2 (BACE2))

    别名

    BACE2

    背景

    Name/Gene ID: BACE2
    Subfamily: Aspartic A1
    Family: Protease

    Synonyms: BACE2, 56 kDa aspartic-like protease, AEPLC, ALP56, Aspartic-like protease 56 kDa, APL56, BAE2, Beta-secretase 2, ASP21, CDA13, DRAP, Memapsin-1, Asp 1, ASP1, Aspartyl protease 1, Theta-secretase, Beta secretase 2, CEAP1, Down region aspartic protease

    基因ID

    25825

    UniProt

    Q9Y5Z0
You are here: