SRPX2 抗体 (C-Term)
Our Local Distributor
北京 101111
Quick Overview for SRPX2 抗体 (C-Term) (ABIN461705)
抗原
See all SRPX2 抗体适用
宿主
克隆类型
标记
应用范围
-
-
抗原表位
- C-Term
-
特异性
- Human SRPX2. BLAST analysis of the peptide immunogen showed no homology with other human proteins.
-
预测反应
- Percent identity with other species by BLAST analysis: Human, Chimpanzee, Gorilla, Orangutan, Monkey, Marmoset (100%) Mouse, Rat, Hamster, Elephant, Panda, Dog, Bat, Bovine, Horse, Pig, Guinea pig (93%) Galago, Rabbit (86%).
-
纯化方法
- Immunoaffinity purified
-
免疫原
-
Synthetic 14 amino acid peptide from C-Terminus of human SRPX2. Percent identity with other species by BLAST analysis: Human, Chimpanzee, Gorilla, Orangutan, Monkey, Marmoset (100%), Mouse, Rat, Hamster, Elephant, Panda, Dog, Bat, Bovine, Horse, Pig, Guinea pig (93%), Galago, Rabbit (86%).
Type of Immunogen: Synthetic peptide
-
-
-
-
应用备注
-
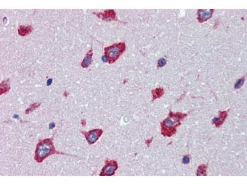
Approved: IHC, IHC-P (10 μg/mL)
Usage: Immunohistochemistry with formalin-fixed paraffin-embedded tissues requires pretreatment using HIER with citrate buffer. -
说明
-
Target Species of Antibody: Human
-
限制
- 仅限研究用
-
-
-
状态
- Liquid
-
浓度
- Lot specific
-
缓冲液
- PBS, less than 0.1 % sodium azide.
-
储存液
- Sodium azide
-
注意事项
- This product contains Sodium azide: a POISONOUS AND HAZARDOUS SUBSTANCE which should be handled by trained staff only.
-
储存条件
- 4 °C,-20 °C
-
储存方法
- Aliquot and store undiluted at -20°C or below for up to 1 year. Can be stored undiluted at 4°C for up to 1 month. Avoid freeze-thaw cycles.
-
有效期
- 12 months
-
-
- SRPX2 (Sushi-Repeat Containing Protein, X-Linked 2 (SRPX2))
-
别名
- SRPX2
-
背景
-
Name/Gene ID: SRPX2
Synonyms: SRPX2, BPP, CBPS, PMGX, RESDX, SRPUL -
基因ID
- 27286
抗原
-