电话:
+86 (0512) 65829739
传真:
+86 (010) 6788 5057
电子邮件:
orders@antibodies-online.cn

beta Amyloid 抗体

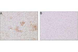
This 小鼠 单克隆 antibody specifically detects beta Amyloid in ELISA, IHC 和 IF. It exhibits reactivity toward 人.
产品编号 ABIN459388
发货至: 中国
Contact our Customer Service for availability and price in your country. Contact Info

Our Local Distributor

中国
北京 101111
No. 88 KeChuang 6th Street
Beijing Economic Technological Development Area
Room 801-803
4A Biotech Co.,Ltd.
Tel +86 (0512) 65829739 传真 +86 (010) 6788 5057

Quick Overview for beta Amyloid 抗体 (ABIN459388)

抗原

See all beta Amyloid (Abeta) 抗体
beta Amyloid (Abeta) (Amyloid beta (Abeta))

适用

  • 71
  • 24
  • 16
  • 3
  • 3
  • 2
  • 2
  • 1
  • 1
  • 1
  • 1
  • 1
  • 1

宿主

  • 38
  • 30
  • 2
  • 2
  • 2
小鼠

克隆类型

  • 38
  • 29
  • 3
单克隆

标记

  • 65
  • 5
  • 2
  • 1
  • 1
This beta Amyloid antibody is un-conjugated

应用范围

  • 50
  • 47
  • 32
  • 20
  • 15
  • 15
  • 9
  • 5
  • 4
  • 4
  • 4
  • 4
  • 3
  • 3
  • 2
  • 1
  • 1
  • 1
  • 1
  • 1
  • 1
  • 1
  • 1
ELISA, Immunohistochemistry (IHC), Immunofluorescence (IF)

克隆位点

OMAB
  • 原理

    Anti-Amyloid beta oligomer-specific monoclonal antibody (OMAB)

    交叉反应 (详细)

    Human Abeta oligomers only
    Not reactive in: No confirmed exceptions from predicted reactivity are currently known

    预测反应

    Rat

    纯化方法

    Affinity purified

    免疫原

    Partly aggregated

    亚型

    IgM
  • 应用备注

    Coating antibody at 2 μg/mL (ELISA), 1: 1000 (IF), 1 : 500 (IHC)

    说明

    OMAB antibody is a versatile tool within research of Alzheimer's disease. A sandwhich ELISA illustrates its potential regarding its high selectivity towards Aβ oligomers.

    限制

    仅限研究用
  • 状态

    Lyophilized

    溶解方式

    For reconstitution add 100 μL of sterile water

    缓冲液

    Affinity purified in PBS pH 7.4.

    注意事项

    Please remember to spin the tubes briefly prior to opening them to avoid any losses that might occur from material adhering to the cap or sides of the tube

    储存条件

    4 °C

    储存方法

    Store lyophilized/reconstituted at 4°C. Please remember to spin the tubes briefly prior to opening them to avoid any losses that might occur from material adhering to the cap or sides of the tube.
  • 抗原

    beta Amyloid (Abeta) (Amyloid beta (Abeta))

    别名

    Amyloid beta oligomer-specific

    背景

    Background: Soluble oligomeric assemblies of the Amyloid-β peptide are today anticipated to be the direct cause regarding the Alzheimer pathology. As a consequence, oligomeric Aβ-assemblies constitute a very interesting therapeutic target. Identification of Aβ-oligomers is however, technically challenging due to there labile nature and low abundance. Abeta oligomer-specific OMAB antibody is based on the IgM isotype and represents a new concept of Aβ-oligomer binders using a combination of high avidity and very low monovalent affinity. This combination creates a selectivity of the antibody towards the oligomeric fraction and minimizes reactivity towards monomeric species.

    Additional information: OMAB antibody has been purified by by ion-exchange chromatography and is supplied in PBS without any additives as carrier proteins or sodium azide.Binding of OMAB antibody and Abeta oligomers at RT takes about 15 min.Fibrils are inaccessible for OMAB antibodies therefore if a discrimination between fibrils and oligomers is to be achieved, dot blot can be used. Start with antigen concentration of 500 ng/dot followed by 2X dilution steps. Blocking: non-fat milk and washes with 0.3 % Tween 20 in TBS pH 7.4.

    分子量

    4.5 kDa

    途径

    Inflammasome
You are here: