SOD2 抗体
Our Local Distributor
北京 101111
Quick Overview for SOD2 抗体 (ABIN396955)
抗原
See all SOD2 抗体适用
宿主
克隆类型
标记
应用范围
-
-
纯化方法
- Purified
-
免疫原
-
Recombinant human SOD2 purified from E. coli.
Type of Immunogen: Recombinant protein -
亚型
- IgG1 kappa
-
-
-
-
应用备注
-
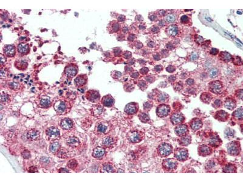
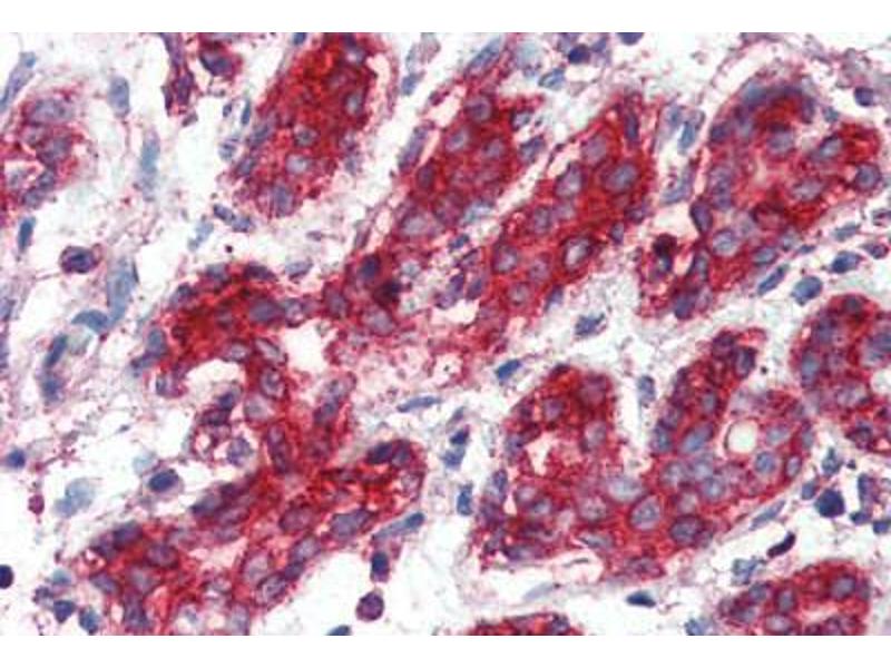
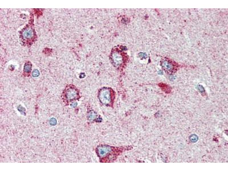
Approved: ELISA, IHC, IHC-P (1:50), WB (1:2000)
Usage: Immunohistochemistry: This antibody was validated for use in immunohistochemistry on a panel of 21 formalin-fixed, paraffin-embedded (FFPE) human tissues after heat induced antigen retrieval in pH 6.0 citrate buffer. After incubation with the primary antibody, slides were incubated with biotinylated secondary antibody, followed by alkaline phosphatase-streptavidin and chromogen. The stained slides were evaluated by a pathologist to confirm staining specificity. The optimal working concentration for this antibody was determined to be 1:50. -
说明
-
Target Species of Antibody: Human
-
限制
- 仅限研究用
-
-
-
状态
- Liquid
-
浓度
- Lot specific
-
缓冲液
- HEPES with 0.15M NaCl, 0.01 % BSA, 0.03 % sodium azide, and 50 % glycerol
-
储存液
- Sodium azide
-
注意事项
- This product contains Sodium azide: a POISONOUS AND HAZARDOUS SUBSTANCE which should be handled by trained staff only.
-
储存条件
- -20 °C
-
储存方法
- Store at -20°C.
-
-
- SOD2 (Superoxide Dismutase 2, Mitochondrial (SOD2))
-
别名
- MNSOD / SOD2
-
背景
-
Name/Gene ID: SOD2
Synonyms: SOD2, IPOB, MVCD6, Indophenoloxidase B, Mn superoxide dismutase, MNSOD, Mangano-superoxide dismutase -
基因ID
- 6648
-
UniProt
- P04179
-
途径
- Sensory Perception of Sound, Transition Metal Ion Homeostasis, Negative Regulation of intrinsic apoptotic Signaling
抗原
-