DDX3X 抗体 (N-Term)
Our Local Distributor
北京 101111
Quick Overview for DDX3X 抗体 (N-Term) (ABIN396914)
抗原
See all DDX3X 抗体适用
宿主
克隆类型
标记
应用范围
-
-
抗原表位
- N-Term
-
特异性
- Synthetic peptide corresponding to N-terminal residues of human DDX3X (DEAD-box protein 3, X- chromosomal)
-
纯化方法
- Immunoaffinity purified
-
免疫原
-
Synthetic peptide from human DDX3X.
Type of Immunogen: Synthetic peptide
-
-
-
-
应用备注
-
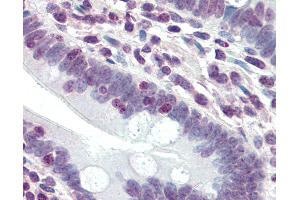
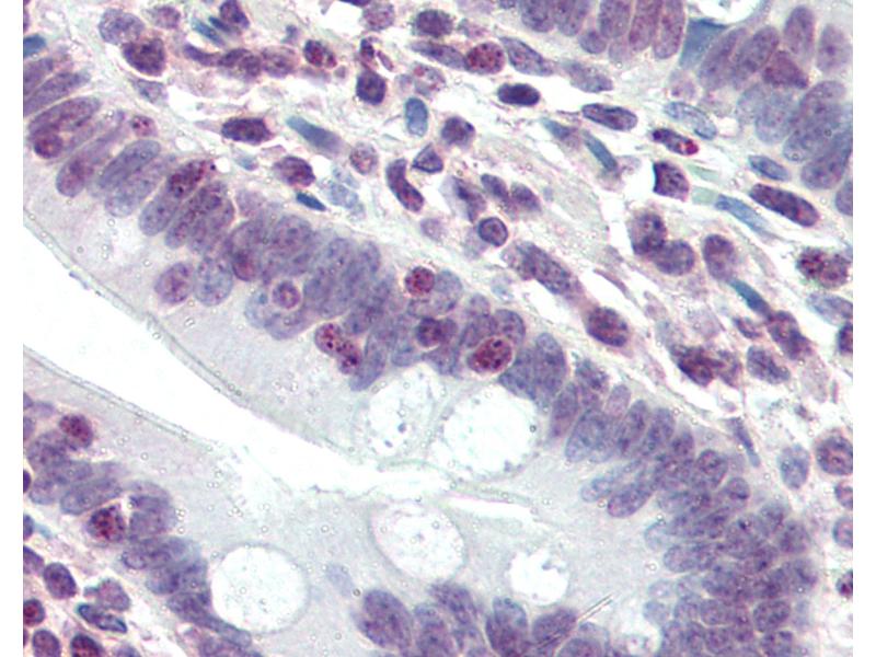
Approved: ELISA, IHC, IHC-P (20 μg/mL), WB (1 μg/mL)
Usage: Immunohistochemistry: This antibody was validated for use in immunohistochemistry on a panel of 21 formalin-fixed, paraffin-embedded (FFPE) human tissues after heat induced antigen retrieval in pH 6.0 citrate buffer. After incubation with the primary antibody, slides were incubated with biotinylated secondary antibody, followed by alkaline phosphatase-streptavidin and chromogen. The stained slides were evaluated by a pathologist to confirm staining specificity. The optimal working concentration for this antibody was determined to be 20 μg/mL. -
说明
-
Target Species of Antibody: Human
-
限制
- 仅限研究用
-
-
-
状态
- Liquid
-
浓度
- Lot specific
-
缓冲液
- PBS, 0.01 % sodium azide, 50 % glycerol.
-
储存液
- Sodium azide
-
注意事项
- This product contains Sodium azide: a POISONOUS AND HAZARDOUS SUBSTANCE which should be handled by trained staff only.
-
储存条件
- -20 °C
-
储存方法
- Store at -20°C.
-
-
- DDX3X (DEAD (Asp-Glu-Ala-Asp) Box Polypeptide 3, X-Linked (DDX3X))
-
别名
- DDX3 / DDX3X
-
背景
-
Name/Gene ID: DDX3X
Family: DEAD box protein
Synonyms: DDX3X, CAP-Rf, DDX14, DDX3, DEAD box, X isoform, DBX, Dead box protein 3, DEAD/H box-3, Helicase like protein 2, Helicase-like protein 2, HLP2 -
基因ID
- 1654
-
UniProt
- O00571
-
途径
- Ribonucleoprotein Complex Subunit Organization, Positive Regulation of Endopeptidase Activity, Negative Regulation of intrinsic apoptotic Signaling, Ribosome Assembly
抗原
-