电话:
+86 (0512) 65829739
传真:
+86 (010) 6788 5057
电子邮件:
orders@antibodies-online.cn

Glutathione Synthetase 抗体 (C-Term)

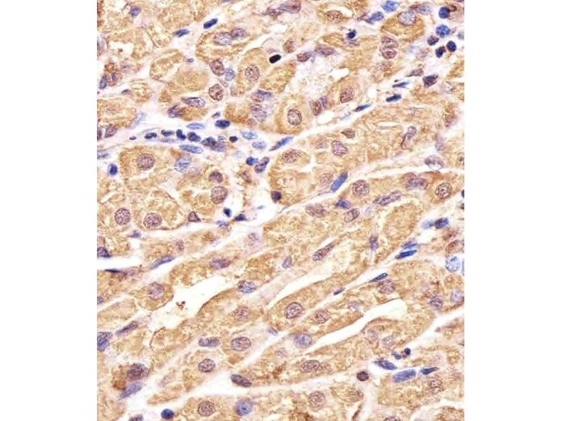
Cited in 1 publication. The 兔 多克隆 anti-Glutathione Synthetase antibody (Clone RB39457) (ABIN390882) specifically detects Glutathione Synthetase in WB 和 IHC (p). The antibody is reactive with 人 samples.
产品编号 ABIN390882
发货至: 中国
Contact our Customer Service for availability and price in your country. Contact Info

Our Local Distributor

中国
北京 101111
No. 88 KeChuang 6th Street
Beijing Economic Technological Development Area
Room 801-803
4A Biotech Co.,Ltd.
Tel +86 (0512) 65829739 传真 +86 (010) 6788 5057

Quick Overview for Glutathione Synthetase 抗体 (C-Term) (ABIN390882)

抗原

See all Glutathione Synthetase (GSS) 抗体
Glutathione Synthetase (GSS)

适用

  • 91
  • 65
  • 59
  • 3
  • 2
  • 2
  • 2
  • 2
  • 1
  • 1
  • 1

宿主

  • 88
  • 8

克隆类型

  • 56
  • 40
多克隆

标记

  • 37
  • 7
  • 5
  • 4
  • 4
  • 4
  • 4
  • 4
  • 4
  • 3
  • 2
  • 2
  • 2
  • 2
  • 1
  • 1
  • 1
  • 1
  • 1
  • 1
  • 1
  • 1
  • 1
  • 1
  • 1
  • 1
This Glutathione Synthetase antibody is un-conjugated

应用范围

  • 72
  • 34
  • 30
  • 29
  • 22
  • 21
  • 6
  • 5
  • 3
  • 2
Western Blotting (WB), Immunohistochemistry (Paraffin-embedded Sections) (IHC (p))

克隆位点

RB39457
  • 抗原表位

    • 7
    • 7
    • 6
    • 3
    • 3
    • 2
    • 2
    • 1
    • 1
    • 1
    • 1
    • 1
    AA 372-400, C-Term

    预测反应

    B, Pr, M, Rat

    纯化方法

    This antibody is purified through a protein A column, followed by peptide affinity purification.

    免疫原

    This GSS antibody is generated from rabbits immunized with a KLH conjugated synthetic peptide between 372-400 amino acids from the C-terminal region of human GSS.

    亚型

    Ig Fraction
  • 应用备注

    WB: 1:1000. WB: 1:1000. IHC-P: 1:25

    限制

    仅限研究用
  • 状态

    Liquid

    缓冲液

    Purified polyclonal antibody supplied in PBS with 0.09 % (W/V) sodium azide.

    储存液

    Sodium azide

    注意事项

    This product contains Sodium azide: a POISONOUS AND HAZARDOUS SUBSTANCE which should be handled by trained staff only.

    注意事项

    Avoid freeze-thaw cycles.

    储存条件

    4 °C,-20 °C

    储存方法

    Maintain refrigerated at 2-8 °C for up to 6 months. For long term storage store at -20 °C in small aliquots.

    有效期

    6 months
  • Jiang, Song, Li, Xue, Zhao, Zhang, Deng, Li, Liu, Wang: "Capsular Polysaccharide of Mycoplasma ovipneumoniae Induces Sheep Airway Epithelial Cell Apoptosis via ROS-Dependent JNK/P38 MAPK Pathways." in: Oxidative medicine and cellular longevity, Vol. 2017, pp. 6175841, (2017) (PubMed).

  • 抗原

    Glutathione Synthetase (GSS)

    别名

    GSS

    背景

    Glutathione is important for a variety of biological functions, including protection of cells from oxidative damage by free radicals, detoxification of xenobiotics, and membrane transport. GSS functions as a homodimer to catalyze the second step of glutathione biosynthesis, which is the ATP-dependent conversion of gamma-L-glutamyl-L-cysteine to glutathione.

    分子量

    52385

    基因ID

    2937

    NCBI登录号

    NP_000169

    UniProt

    P48637

    途径

    Warburg Effect
You are here: