电话:
+86 (0512) 65829739
传真:
+86 (010) 6788 5057
电子邮件:
orders@antibodies-online.cn

MECP2 抗体 (AA 400-428)

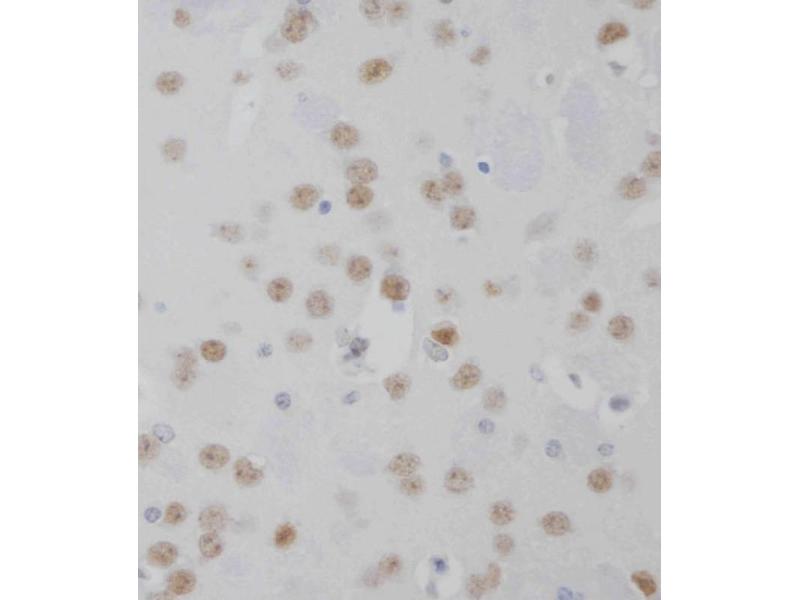
The 兔 多克隆 anti-MECP2 antibody is suitable to detect MECP2 in samples from 人 和 小鼠. It has been validated for WB 和 IHC (p).
产品编号 ABIN389123
发货至: 中国
Contact our Customer Service for availability and price in your country. Contact Info

Our Local Distributor

中国
北京 101111
No. 88 KeChuang 6th Street
Beijing Economic Technological Development Area
Room 801-803
4A Biotech Co.,Ltd.
Tel +86 (0512) 65829739 传真 +86 (010) 6788 5057

Quick Overview for MECP2 抗体 (AA 400-428) (ABIN389123)

抗原

See all MECP2 抗体
MECP2 (Methyl CpG Binding Protein 2 (MECP2))

适用

  • 111
  • 40
  • 32
  • 6
  • 6
  • 5
  • 4
  • 4
  • 4
  • 3
  • 3
  • 1
  • 1
人, 小鼠

宿主

  • 99
  • 16
  • 2
  • 1

克隆类型

  • 102
  • 16
多克隆

标记

  • 73
  • 9
  • 7
  • 7
  • 6
  • 6
  • 1
  • 1
  • 1
  • 1
  • 1
  • 1
  • 1
  • 1
  • 1
  • 1
This MECP2 antibody is un-conjugated

应用范围

  • 82
  • 68
  • 46
  • 27
  • 14
  • 11
  • 10
  • 10
  • 6
  • 3
  • 2
Western Blotting (WB), Immunohistochemistry (Paraffin-embedded Sections) (IHC (p))

克隆位点

RB25959
  • 抗原表位

    • 14
    • 11
    • 11
    • 8
    • 7
    • 7
    • 6
    • 6
    • 3
    • 3
    • 3
    • 3
    • 3
    • 2
    • 2
    • 2
    • 2
    • 2
    • 1
    • 1
    • 1
    • 1
    • 1
    • 1
    • 1
    • 1
    • 1
    • 1
    • 1
    • 1
    • 1
    AA 400-428

    纯化方法

    This antibody is purified through a protein A column, followed by peptide affinity purification.

    免疫原

    This MeCP2 antibody is generated from rabbits immunized with a KLH conjugated synthetic peptide between 400-428 amino acids from human MeCP2.

    亚型

    IgG
  • 应用备注

    WB: 1:2000. WB: 1:2000. IHC-P: 1:500. IHC-P: 1:200

    限制

    仅限研究用
  • 状态

    Liquid

    缓冲液

    Purified polyclonal antibody supplied in PBS with 0.09 % (W/V) sodium azide.

    储存液

    Sodium azide

    注意事项

    This product contains Sodium azide: a POISONOUS AND HAZARDOUS SUBSTANCE which should be handled by trained staff only.

    储存条件

    4 °C,-20 °C

    储存方法

    Maintain refrigerated at 2-8 °C for up to 6 months. For long term storage store at -20 °C in small aliquots to prevent freeze-thaw cycles.

    有效期

    6 months
  • 抗原

    MECP2 (Methyl CpG Binding Protein 2 (MECP2))

    别名

    MeCP2

    背景

    DNA methylation is the major modification of eukaryotic genomes and plays an essential role in mammalian development. Human proteins MECP2, MBD1, MBD2, MBD3, and MBD4 comprise a family of nuclear proteins related by the presence in each of a methyl-CpG binding domain (MBD). Each of these proteins, with the exception of MBD3, is capable of binding specifically to methylated DNA. MECP2, MBD1 and MBD2 can also repress transcription from methylated gene promoters. In contrast to other MBD family members, MECP2 is X-linked and subject to X inactivation. MECP2 is dispensible in stem cells, but is essential for embryonic development. MECP2 gene mutations are the cause of some cases of Rett syndrome, a progressive neurologic developmental disorder and one of the most common causes of mental retardation in females.

    分子量

    52441

    基因ID

    4204

    UniProt

    P51608

    途径

    Inositol Metabolic Process, Chromatin Binding, Synaptic Membrane
You are here: