电话:
+86 (0512) 65829739
传真:
+86 (010) 6788 5057
电子邮件:
orders@antibodies-online.cn

ACOX1 抗体 (N-Term)

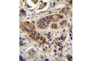
There is 1 publication for this product available. The 兔 多克隆 anti-ACOX1 antibody is suitable to detect ACOX1 in samples from 人 和 小鼠. It has been validated for IHC (p).
产品编号 ABIN389099
发货至: 中国
Contact our Customer Service for availability and price in your country. Contact Info

Our Local Distributor

中国
北京 101111
No. 88 KeChuang 6th Street
Beijing Economic Technological Development Area
Room 801-803
4A Biotech Co.,Ltd.
Tel +86 (0512) 65829739 传真 +86 (010) 6788 5057

Quick Overview for ACOX1 抗体 (N-Term) (ABIN389099)

抗原

See all ACOX1 抗体
ACOX1 (Acyl-CoA Oxidase 1, Palmitoyl (ACOX1))

适用

  • 68
  • 32
  • 15
人, 小鼠

宿主

  • 63
  • 6

克隆类型

  • 47
  • 22
多克隆

标记

  • 34
  • 6
  • 5
  • 4
  • 3
  • 3
  • 2
  • 2
  • 2
  • 2
  • 2
  • 2
  • 1
  • 1
This ACOX1 antibody is un-conjugated

应用范围

  • 52
  • 34
  • 23
  • 17
  • 9
  • 4
  • 2
  • 2
Immunohistochemistry (Paraffin-embedded Sections) (IHC (p))

克隆位点

RB04649
  • 抗原表位

    • 8
    • 7
    • 5
    • 5
    • 3
    • 2
    • 2
    • 1
    • 1
    • 1
    • 1
    • 1
    AA 7-37, N-Term

    纯化方法

    This antibody is prepared by Saturated Ammonium Sulfate (SAS) precipitation followed by dialysis against PBS.

    免疫原

    This ACOX1 antibody is generated from rabbits immunized with a KLH conjugated synthetic peptide between 7-37 amino acids from the N-terminal region of human ACOX1.

    亚型

    Ig Fraction
  • 应用备注

    IHC-P: 1:10~50

    限制

    仅限研究用
  • 状态

    Liquid

    缓冲液

    Purified polyclonal antibody supplied in PBS with 0.09 % (W/V) sodium azide.

    储存液

    Sodium azide

    注意事项

    This product contains Sodium azide: a POISONOUS AND HAZARDOUS SUBSTANCE which should be handled by trained staff only.

    储存条件

    4 °C,-20 °C

    储存方法

    Maintain refrigerated at 2-8 °C for up to 6 months. For long term storage store at -20 °C in small aliquots to prevent freeze-thaw cycles.

    有效期

    6 months
  • Bagattin, Hugendubler, Mueller: "Transcriptional coactivator PGC-1alpha promotes peroxisomal remodeling and biogenesis." in: Proceedings of the National Academy of Sciences of the United States of America, Vol. 107, Issue 47, pp. 20376-81, (2010) (PubMed).

  • 抗原

    ACOX1 (Acyl-CoA Oxidase 1, Palmitoyl (ACOX1))

    别名

    ACOX1

    背景

    ACOX1 is the first enzyme of the fatty acid beta-oxidation pathway, which catalyzes the desaturation of acyl-CoAs to 2-trans-enoyl-CoAs. It donates electrons directly to molecular oxygen, thereby producing hydrogen peroxide. Defects in this gene result in pseudoneonatal adrenoleukodystrophy, a disease that is characterized by accumulation of very long chain fatty acids.

    分子量

    74424

    基因ID

    51

    NCBI登录号

    NP_001171968, NP_004026, NP_009223

    UniProt

    Q15067

    途径

    Regulation of Lipid Metabolism by PPARalpha, Monocarboxylic Acid Catabolic Process
You are here: