电话:
+86 (0512) 65829739
传真:
+86 (010) 6788 5057
电子邮件:
orders@antibodies-online.cn

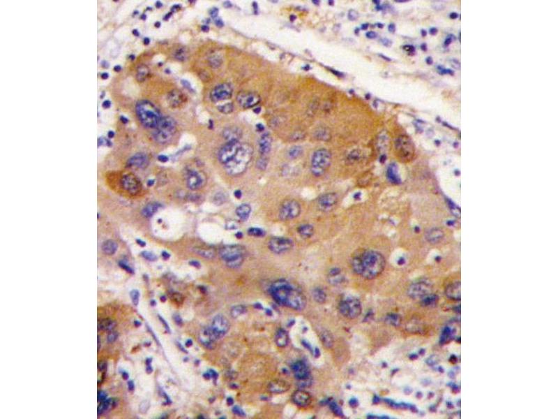
NNMT 抗体 (AA 77-106)

The 兔 多克隆 anti-NNMT antibody (Clone RB12625) (ABIN387867) specifically detects NNMT in WB 和 IHC (p). The antibody is reactive with 人 samples.
产品编号 ABIN387867
发货至: 中国
Contact our Customer Service for availability and price in your country. Contact Info

Our Local Distributor

中国
北京 101111
No. 88 KeChuang 6th Street
Beijing Economic Technological Development Area
Room 801-803
4A Biotech Co.,Ltd.
Tel +86 (0512) 65829739 传真 +86 (010) 6788 5057

Quick Overview for NNMT 抗体 (AA 77-106) (ABIN387867)

抗原

See all NNMT 抗体
NNMT (Nicotinamide N-Methyltransferase (NNMT))

适用

  • 47
  • 24
  • 9
  • 2
  • 2
  • 1
  • 1

宿主

  • 43
  • 9
  • 2

克隆类型

  • 46
  • 8
多克隆

标记

  • 32
  • 6
  • 5
  • 3
  • 1
  • 1
  • 1
  • 1
  • 1
  • 1
  • 1
  • 1
This NNMT antibody is un-conjugated

应用范围

  • 39
  • 24
  • 24
  • 11
  • 6
  • 5
  • 5
  • 5
  • 1
  • 1
Western Blotting (WB), Immunohistochemistry (Paraffin-embedded Sections) (IHC (p))

克隆位点

RB12625
  • 抗原表位

    • 10
    • 7
    • 5
    • 4
    • 4
    • 2
    • 1
    • 1
    • 1
    • 1
    • 1
    • 1
    • 1
    AA 77-106

    纯化方法

    This antibody is prepared by Saturated Ammonium Sulfate (SAS) precipitation followed by dialysis against PBS.

    免疫原

    This NNMT antibody is generated from rabbits immunized with a KLH conjugated synthetic peptide between 77-106 amino acids from the Central region of human NNMT.

    亚型

    Ig Fraction
  • 应用备注

    WB: 1:1000. WB: 1:2000. IHC-P: 1:10~50

    限制

    仅限研究用
  • 状态

    Liquid

    缓冲液

    Purified polyclonal antibody supplied in PBS with 0.09 % (W/V) sodium azide.

    储存液

    Sodium azide

    注意事项

    This product contains Sodium azide: a POISONOUS AND HAZARDOUS SUBSTANCE which should be handled by trained staff only.

    储存条件

    4 °C,-20 °C

    储存方法

    Maintain refrigerated at 2-8 °C for up to 6 months. For long term storage store at -20 °C in small aliquots to prevent freeze-thaw cycles.

    有效期

    6 months
  • 抗原

    NNMT (Nicotinamide N-Methyltransferase (NNMT))

    别名

    NNMT

    背景

    N-methylation is one method by which drug and other xenobiotic compounds are metabolized by the liver. NNMT is the protein responsible for this enzymatic activity, which uses S-adenosyl methionine as the methyl donor.

    分子量

    29574

    基因ID

    4837

    NCBI登录号

    NP_006160

    UniProt

    P40261
You are here: