电话:
+86 (0512) 65829739
传真:
+86 (010) 6788 5057
电子邮件:
orders@antibodies-online.cn

GHRL 抗体 (AA 103-117)

The 山羊 多克隆 anti-GHRL antibody is suitable to detect GHRL in samples from 人 和 猴. It has been validated for ELISA, IHC 和 IHC (p).
产品编号 ABIN364403
发货至: 中国
Contact our Customer Service for availability and price in your country. Contact Info

Our Local Distributor

中国
北京 101111
No. 88 KeChuang 6th Street
Beijing Economic Technological Development Area
Room 801-803
4A Biotech Co.,Ltd.
Tel +86 (0512) 65829739 传真 +86 (010) 6788 5057

Quick Overview for GHRL 抗体 (AA 103-117) (ABIN364403)

抗原

GHRL (Ghrelin and Obestatin Prepropeptide (GHRL))

适用

  • 1
  • 1
  • 1
人, 猴

宿主

  • 1
山羊

克隆类型

  • 1
多克隆

标记

  • 1
This GHRL antibody is un-conjugated

应用范围

ELISA, Immunohistochemistry (IHC), Immunohistochemistry (Paraffin-embedded Sections) (IHC (p))
  • 抗原表位

    AA 103-117

    特异性

    Human GHRL / Ghrelin. This antibody is expected to recognise all reported isoforms.

    预测反应

    Percent identity by BLAST analysis: Human, Gibbon, Baboon, Monkey, Elephant (100%) Gorilla, Mouse, Hamster (93%) Marmoset, Rat, Pig (87%) Horse (80%).

    纯化方法

    Immunoaffinity purified

    免疫原

    Synthetic peptide C-QDILWEEAKEAPADK from the C-terminus of human GHRL / Ghrelin (NP_057446.1, NP_001128413.1, NP_001128416.1, NP_001128417.1, NP_001128418.1). Percent identity by BLAST analysis: Human, Gibbon, Baboon, Monkey, Elephant (100%), Gorilla, Mouse, Hamster (93%), Marmoset, Rat, Pig (87%), Horse (80%).

    Type of Immunogen: Synthetic peptide
  • 应用备注

    Approved: IHC, IHC-P (2 μg/mL), Peptide-ELISA (1:8000)

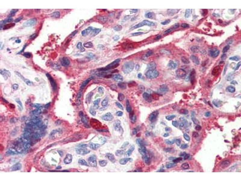
    Usage: Immunohistochemistry: This antibody was validated for use in immunohistochemistry on a panel of 21 formalin-fixed, paraffin-embedded (FFPE) human tissues after heat induced antigen retrieval in  pH 6.0 citrate buffer. After incubation with the primary antibody, slides were incubated with biotinylated secondary antibody, followed by alkaline phosphatase-streptavidin and chromogen. The stained slides were evaluated by a pathologist to confirm staining specificity. The optimal working concentration for this antibody was determined to be 2 μg/mL.

    说明

    Target Species of Antibody: Human

    限制

    仅限研究用
  • 状态

    Liquid

    浓度

    Lot specific

    缓冲液

    Tris-buffered saline,  pH 7.3, 0.5 % BSA, 0.02 % sodium azide

    储存液

    Sodium azide

    注意事项

    This product contains Sodium azide: a POISONOUS AND HAZARDOUS SUBSTANCE which should be handled by trained staff only.

    注意事项

    Minimize freezing and thawing.

    储存条件

    -20 °C

    储存方法

    Store at -20°C. Avoid freeze-thaw cycles.
  • 抗原

    GHRL (Ghrelin and Obestatin Prepropeptide (GHRL))

    别名

    GHRL / Ghrelin Preproprotein

    背景

    Name/Gene ID: GHRL

    Synonyms: GHRL, Ghrelin, Growth hormone secretagogue, Motilin-related peptide, Obestatin, Appetite-regulating hormone, MTLRP, Protein M46

    基因ID

    51738

    NCBI登录号

    NP_057446, NP_001128413, NP_001128416, NP_001128417, NP_001128418

    UniProt

    Q9UBU3
You are here: