PPP2CA 抗体
Our Local Distributor
北京 101111
Quick Overview for PPP2CA 抗体 (ABIN364316)
抗原
See all PPP2CA 抗体适用
宿主
克隆类型
标记
应用范围
克隆位点
-
-
纯化方法
- Protein G purified
-
免疫原
-
Recombinant human PP2Ckappa protein.
Type of Immunogen: Recombinant protein -
亚型
- IgG2b kappa
-
-
-
-
应用备注
-
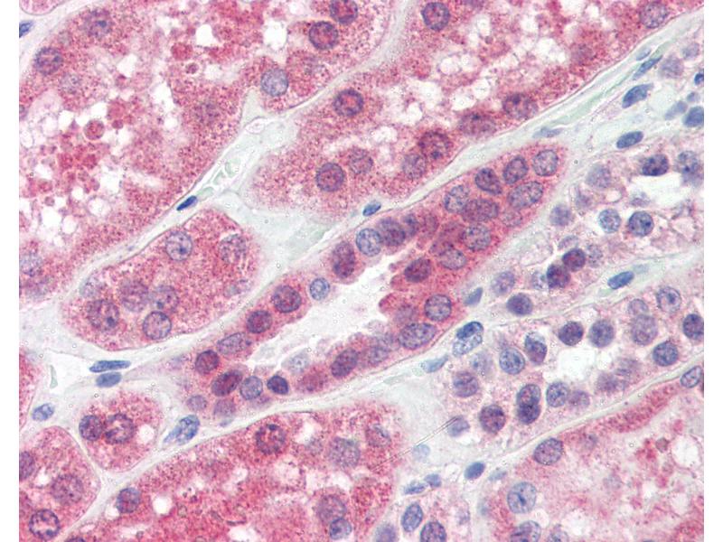
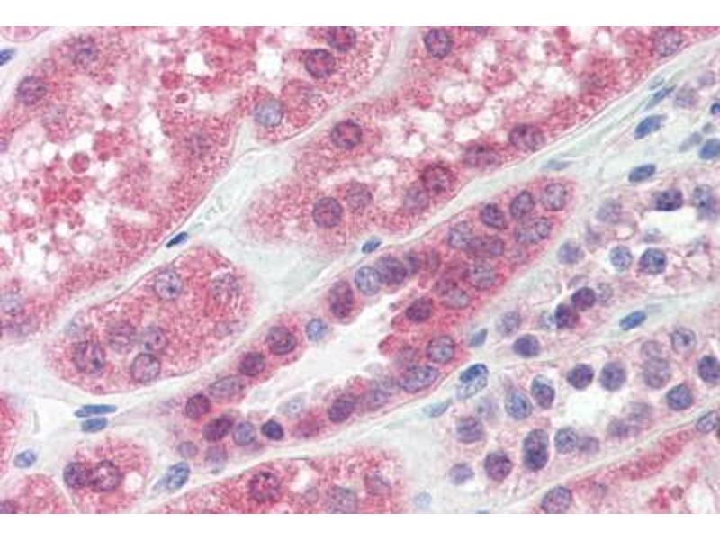
Approved: ELISA, IHC, IHC-P (15 μg/mL), IP, WB (1:250 - 1:1000)
Usage: Immunohistochemistry: This antibody was validated for use in immunohistochemistry on a panel of 21 formalin-fixed, paraffin-embedded (FFPE) human tissues after heat induced antigen retrieval in pH 6.0 citrate buffer. After incubation with the primary antibody, slides were incubated with biotinylated secondary antibody, followed by alkaline phosphatase-streptavidin and chromogen. The stained slides were evaluated by a pathologist to confirm staining specificity. The optimal working concentration for this antibody was determined to be 15 μg/mL. -
说明
-
Target Species of Antibody: Human
-
限制
- 仅限研究用
-
-
-
状态
- Liquid
-
浓度
- Lot specific
-
缓冲液
- PBS, pH 7.4, 0.1 % sodium azide
-
储存液
- Sodium azide
-
注意事项
- This product contains Sodium azide: a POISONOUS AND HAZARDOUS SUBSTANCE which should be handled by trained staff only.
-
注意事项
- Avoid freeze-thaw cycles.
-
储存条件
- 4 °C,-20 °C
-
储存方法
- Short term: 4°C. Long term: Store at -20°C. Avoid freeze-thaw cycles.
-
-
- PPP2CA (Protein Phosphatase 2, Catalytic Subunit, alpha Isozyme (PPP2CA))
-
别名
- PP2Ac / PPP2CA
-
背景
-
Name/Gene ID: PPP2CA
Subfamily: PP2A
Family: Protein Phosphatase
Synonyms: PPP2CA, PP2Ac, PP2Calpha, ppp2A1, Protein phosphatase 2A alpha, Replication protein C, PP2CA, RP-C, PP2A-alpha -
基因ID
- 5515
-
UniProt
- P67775
-
途径
- PI3K-Akt Signaling, Mitotic G1-G1/S Phases, Hepatitis C, Toll-Like Receptors Cascades
抗原
-