SETD7 抗体
Our Local Distributor
北京 101111
Quick Overview for SETD7 抗体 (ABIN364315)
抗原
See all SETD7 抗体适用
宿主
克隆类型
标记
应用范围
克隆位点
-
-
纯化方法
- Protein G purified
-
免疫原
-
Recombinant human SET7/9 protein Isotype Mouse IgG2b, heavy chains and kappa light chains.
Type of Immunogen: Recombinant protein -
亚型
- IgG2b kappa
-
-
-
-
应用备注
-
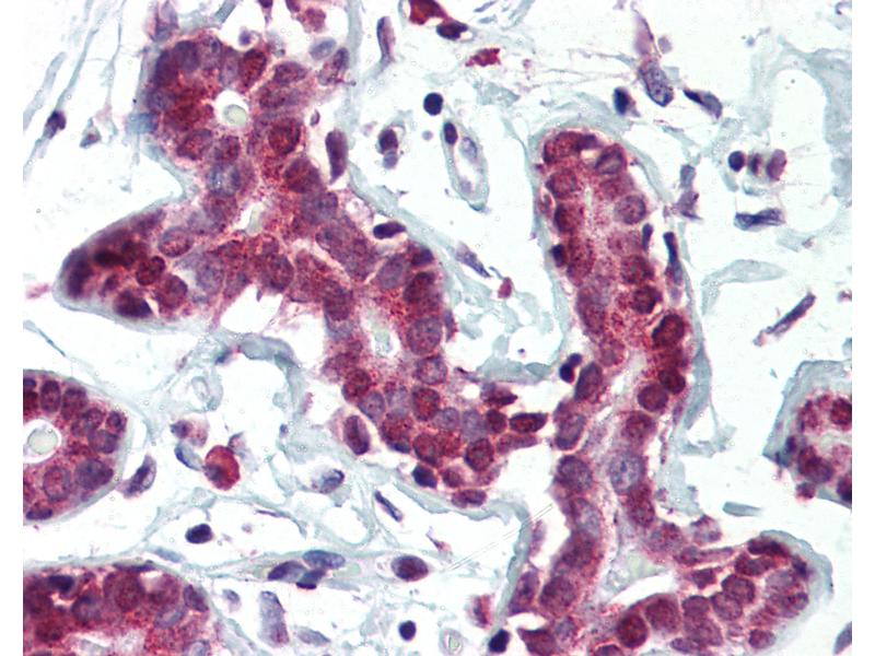
Approved: ELISA, IHC, IHC-P (5 μg/mL), WB (1:250 - 1:2000)
Usage: Immunohistochemistry: This antibody was validated for use in immunohistochemistry on a panel of 21 formalin-fixed, paraffin-embedded (FFPE) human tissues after heat induced antigen retrieval in pH 6.0 citrate buffer. After incubation with the primary antibody, slides were incubated with biotinylated secondary antibody, followed by alkaline phosphatase-streptavidin and chromogen. The stained slides were evaluated by a pathologist to confirm staining specificity. The optimal working concentration for this antibody was determined to be 5 μg/mL. -
说明
-
Target Species of Antibody: Human
-
限制
- 仅限研究用
-
-
-
状态
- Liquid
-
浓度
- Lot specific
-
缓冲液
- PBS, pH 7.4, 0.1 % sodium azide
-
储存液
- Sodium azide
-
注意事项
- This product contains Sodium azide: a POISONOUS AND HAZARDOUS SUBSTANCE which should be handled by trained staff only.
-
注意事项
- Avoid freeze-thaw cycles.
-
储存条件
- 4 °C,-20 °C
-
储存方法
- Short term: 4°C. Long term: Store at -20°C. Avoid freeze-thaw cycles.
-
-
- SETD7 (SET Domain Containing (Lysine Methyltransferase) 7 (SETD7))
-
别名
- SETD7 / SET7
-
背景
-
Name/Gene ID: SETD7
Synonyms: SETD7, Lysine N-methyltransferase 7, KIAA1717, SET9, H3-K4-HMTase SETD7, KMT7, SET7, SET7/9 -
基因ID
- 80854
-
UniProt
- Q8WTS6
抗原
-