电话:
+86 (0512) 65829739
传真:
+86 (010) 6788 5057
电子邮件:
orders@antibodies-online.cn

HPGD 抗体

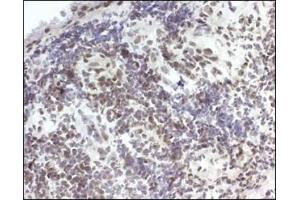
The 兔 多克隆 anti-HPGD antibody (ABIN363465) specifically detects HPGD in WB, IF 和 IHC (p). The antibody is reactive with 人 和 小鼠 samples.
产品编号 ABIN363465
发货至: 中国
Contact our Customer Service for availability and price in your country. Contact Info

Our Local Distributor

中国
北京 101111
No. 88 KeChuang 6th Street
Beijing Economic Technological Development Area
Room 801-803
4A Biotech Co.,Ltd.
Tel +86 (0512) 65829739 传真 +86 (010) 6788 5057

Quick Overview for HPGD 抗体 (ABIN363465)

抗原

See all HPGD 抗体
HPGD (Hydroxyprostaglandin Dehydrogenase 15-(NAD) (HPGD))

适用

  • 50
  • 5
  • 4
  • 2
  • 2
  • 2
  • 2
  • 2
  • 1
  • 1
  • 1
  • 1
人, 小鼠

宿主

  • 42
  • 6
  • 2

克隆类型

  • 36
  • 14
多克隆

标记

  • 26
  • 4
  • 3
  • 3
  • 2
  • 2
  • 2
  • 2
  • 2
  • 2
  • 1
  • 1
This HPGD antibody is un-conjugated

应用范围

  • 34
  • 20
  • 17
  • 15
  • 14
  • 13
  • 6
  • 2
  • 1
  • 1
  • 1
  • 1
  • 1
Western Blotting (WB), Immunofluorescence (IF), Immunohistochemistry (Paraffin-embedded Sections) (IHC (p))
You are here: