电话:
+86 (0512) 65829739
传真:
+86 (010) 6788 5057
电子邮件:
orders@antibodies-online.cn

HSP70/HSC70 抗体

There are 4+ publications for this product available. The 小鼠 单克隆 anti-HSP70/HSC70 antibody is suitable to detect HSP70/HSC70 in samples from 小鸡. It has been validated for WB, IP, IHC, ICC 和 IF.
产品编号 ABIN361710
发货至: 中国
Contact our Customer Service for availability and price in your country. Contact Info

Our Local Distributor

中国
北京 101111
No. 88 KeChuang 6th Street
Beijing Economic Technological Development Area
Room 801-803
4A Biotech Co.,Ltd.
Tel +86 (0512) 65829739 传真 +86 (010) 6788 5057

Quick Overview for HSP70/HSC70 抗体 (ABIN361710)

抗原

HSP70/HSC70 (HSC70-4) (Heat Shock Protein Cognate 4 (HSC70-4))

适用

  • 34
  • 34
  • 25
  • 23
  • 23
  • 23
  • 23
  • 22
  • 22
  • 21
  • 21
  • 21
  • 21
  • 20
  • 20
  • 13
  • 12
  • 11
  • 10
  • 10
  • 10
  • 4
  • 3
  • 2
  • 1
  • 1
  • 1
  • 1
  • 1
  • 1
  • 1
  • 1
  • 1
  • 1
  • 1
  • 1
  • 1
  • 1
小鸡

宿主

  • 45
  • 2
小鼠

克隆类型

  • 45
  • 2
单克隆

标记

  • 11
  • 4
  • 4
  • 4
  • 4
  • 4
  • 4
  • 4
  • 4
  • 4
This HSP70/HSC70 antibody is un-conjugated

应用范围

  • 47
  • 42
  • 41
  • 22
  • 20
  • 19
  • 19
  • 10
  • 2
  • 2
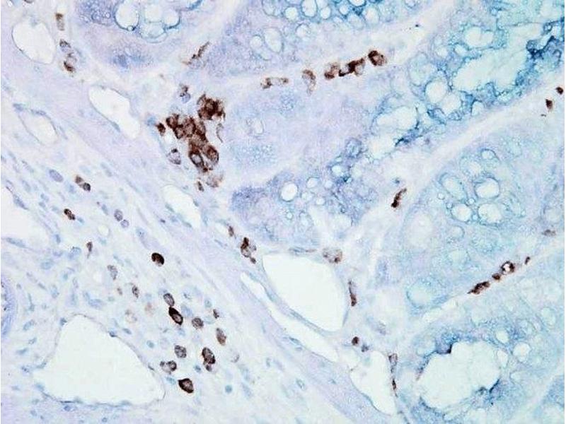
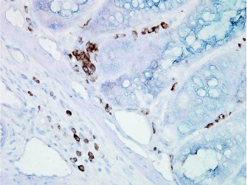
Western Blotting (WB), Immunoprecipitation (IP), Immunohistochemistry (IHC), Immunocytochemistry (ICC), Immunofluorescence (IF)

克隆位点

BB70
  • 特异性

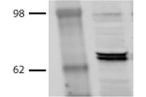
    Detects ~72 (HSP) and ~73 kDa (HSC).

    交叉反应

    Beluga, 小鸡, Cow, 犬, Drosophila melanogaster, 鱼, 豚鼠, Hamster, 人, 小鼠, Pig, 兔, 大鼠, Saccharomyces cerevisiae, 绵羊, 非洲爪蟾

    纯化方法

    Protein G Purified

    免疫原

    Chicken HSP70/HSP90 complex

    亚型

    IgG2a
  • 应用备注

    • WB (1:1000)
    • IHC (1:200)
    • ICC/IF (1:200)
    • optimal dilutions for assays should be determined by the user.

    说明

    1 μg/ml of ABIN361709 was sufficient for detection of HSP70 and HSC70 in 20 μg of heat shocked HeLa cell lysate by colorimetric immunoblot analysis using Goat anti-mouse IgG:HRP as the secondary antibody.

    限制

    仅限研究用
  • 状态

    Liquid

    浓度

    1 mg/mL

    缓冲液

    PBS pH 7.2, 50 % glycerol, 0.09 % sodium azide, Storage buffer may change when conjugated

    储存液

    Sodium azide

    注意事项

    This product contains Sodium azide: a POISONOUS AND HAZARDOUS SUBSTANCE which should be handled by trained staff only.

    储存条件

    -20 °C

    储存方法

    -20°C
  • Kang, Taldone, Patel, Patel, Rodina, Gozman, Maharaj, Clement, Patel, Brodsky, Young, Chiosis: "Heat shock protein 70 inhibitors. 1. 2,5'-thiodipyrimidine and 5-(phenylthio)pyrimidine acrylamides as irreversible binders to an allosteric site on heat shock protein 70." in: Journal of medicinal chemistry, Vol. 57, Issue 4, pp. 1188-207, (2014) (PubMed).

    Taldone, Kang, Patel, Patel, Patel, Rodina, Patel, Gozman, Maharaj, Clement, Lu, Young, Chiosis et al.: "Heat shock protein 70 inhibitors. 2. 2,5'-thiodipyrimidines, 5-(phenylthio)pyrimidines, 2-(pyridin-3-ylthio)pyrimidines, and 3-(phenylthio)pyridines as reversible binders to an allosteric site on ..." in: Journal of medicinal chemistry, Vol. 57, Issue 4, pp. 1208-24, (2014) (PubMed).

    Rodina, Taldone, Kang, Patel, Koren, Yan, DaGama Gomes, Yang, Patel, Shrestha, Ochiana, Santarossa, Maharaj, Gozman, Cox, Erdjument-Bromage, Hendrickson, Cerchietti, Melnick, Guzman, Chiosis: "Affinity purification probes of potential use to investigate the endogenous Hsp70 interactome in cancer." in: ACS chemical biology, Vol. 9, Issue 8, pp. 1698-705, (2014) (PubMed).

    Rodina, Patel, Kang, Patel, Baaklini, Wong, Taldone, Yan, Yang, Maharaj, Gozman, Patel, Patel, Chirico, Erdjument-Bromage, Talele, Young, Chiosis: "Identification of an allosteric pocket on human hsp70 reveals a mode of inhibition of this therapeutically important protein." in: Chemistry & biology, Vol. 20, Issue 12, pp. 1469-80, (2013) (PubMed).

  • 抗原

    HSP70/HSC70 (HSC70-4) (Heat Shock Protein Cognate 4 (HSC70-4))

    别名

    HSP70/HSC70

    背景

    HSP70 genes encode abundant heat-inducible 70- kDa HSPs (HSP70s). In most eukaryotes HSP70 genes exist as part of a multigene family. They are found in most cellular compartments of eukaryotes including nuclei, mitochondria, chloroplasts, the endoplasmic reticulum and the cytosol, as well as in bacteria. The genes show a high degree of conservation, having at least 50 % identity (2). The N-terminal two thirds of HSP70s are more conserved than the C-terminal third. HSP70 binds ATP with high affinity and possesses a weak ATPase activity which can be stimulated by binding to unfolded proteins and synthetic peptides (3). When HSC70 (constitutively expressed) present in mammalian cells was truncated, ATP binding activity was found to reside in an N-terminal fragment of 44 kDa which lacked peptide binding capacity. Polypeptide binding ability therefore resided within the C-terminal half (4). The structure of this ATP binding domain displays multiple features of nucleotide binding proteins (5). All HSP70s, regardless of location, bind proteins, particularly unfolded ones. The molecular chaperones of the HSP70 family recognize and bind to nascent polypeptide chains as well as partially folded intermediates of proteins preventing their aggregation and misfolding. The binding of ATP triggers a critical conformational change leading to the release of the bound substrate protein (6). The universal ability of HSP70s to undergo cycles of binding to and release from hydrophobic stretches of partially unfolded proteins determines their role in a great variety of vital intracellular functions such as protein synthesis, protein folding and oligomerization and protein transport. For more information visit our HSP70 Scientific Resource Guide at http://www.HSP70.com.

    基因ID

    423504

    NCBI登录号

    NP_001006686

    UniProt

    P08106
You are here: