电话:
+86 (0512) 65829739
传真:
+86 (010) 6788 5057
电子邮件:
orders@antibodies-online.cn

DGKD 抗体 (C-Term)

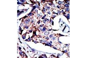
The 兔 多克隆 anti-DGKD antibody is suitable to detect DGKD in samples from 人 和 小鼠. It has been validated for WB, IHC (p) 和 EIA.
产品编号 ABIN360608
发货至: 中国
Contact our Customer Service for availability and price in your country. Contact Info

Our Local Distributor

中国
北京 101111
No. 88 KeChuang 6th Street
Beijing Economic Technological Development Area
Room 801-803
4A Biotech Co.,Ltd.
Tel +86 (0512) 65829739 传真 +86 (010) 6788 5057

Quick Overview for DGKD 抗体 (C-Term) (ABIN360608)

抗原

See all DGKD 抗体
DGKD (Diacylglycerol Kinase, delta 130kDa (DGKD))

适用

  • 26
  • 10
  • 1
  • 1
  • 1
  • 1
人, 小鼠

宿主

  • 26

克隆类型

  • 26
多克隆

标记

  • 14
  • 2
  • 1
  • 1
  • 1
  • 1
  • 1
  • 1
  • 1
  • 1
  • 1
  • 1
This DGKD antibody is un-conjugated

应用范围

  • 19
  • 12
  • 11
  • 5
  • 2
  • 1
  • 1
Western Blotting (WB), Immunohistochemistry (Paraffin-embedded Sections) (IHC (p)), Enzyme Immunoassay (EIA)
  • 抗原表位

    • 7
    • 3
    • 3
    • 1
    • 1
    • 1
    • 1
    • 1
    C-Term

    特异性

    This antibody reacts to DGKD.

    纯化方法

    Protein G column, eluted with high and low pH buffers and neutralized immediately, followed by dialysis against PBS

    免疫原

    This antibody is generated from rabbits immunized with a KLH conjugated synthetic peptide selected from the C-terminal region of human DGKD.

    亚型

    Ig Fraction
  • 应用备注

    ELISA: 1/1,000. Western blotting: 1/100 - 1/500. Immunohistochemistry: 1/50 - 1/100.
    Other applications not tested.
    Optimal dilutions are dependent on conditions and should be determined by the user.

    限制

    仅限研究用
  • 状态

    Liquid

    浓度

    0.25 mg/mL

    缓冲液

    PBS with 0.09 % (W/V) sodium azide

    储存液

    Sodium azide

    注意事项

    This product contains sodium azide: a POISONOUS AND HAZARDOUS SUBSTANCE which should be handled by trained staff only.

    注意事项

    Avoid repeated freezing and thawing.

    储存条件

    4 °C/-20 °C

    储存方法

    Store the antibody undiluted at 2-8 °C for one month or (in aliquots) at-20 °C for longer.
  • 抗原

    DGKD (Diacylglycerol Kinase, delta 130kDa (DGKD))

    别名

    DAG Kinase delta

    背景

    Protein kinases are enzymes that transfer a phosphate group from a phosphate donor, generally the g phosphate of ATP, onto an acceptor amino acid in a substrate protein. By this basic mechanism, protein kinases mediate most of the signal transduction in eukaryotic cells, regulating cellular metabolism, transcription, cell cycle progression, cytoskeletal rearrangement and cell movement, apoptosis, and differentiation. With more than 500 gene products, the protein kinase family is one of the largest families of proteins in eukaryotes. The family has been classified in 8 major groups based on sequence comparison of their tyrosine (PTK) or serine/threonine (STK) kinase catalytic domains. The AGC kinase group consists of 63 kinases including the cyclic nucleotide-regulated protein kinase (PKA & PKG) family, the diacylglycerol-activated/phospholipid-dependent protein kinase C (PKC) family, the related to PKA and PKC (RAC/Akt) protein kinase family, the kinases that phosphorylate G protein-coupled receptors family (ARK), and the kinases that phosphorylate ribosomal protein S6 family (RSK).Synonyms: DGK-delta, DGKD, Diacylglycerol kinase delta, Diglyceride kinase delta, KIAA0145

    基因ID

    8527, 9606

    UniProt

    Q16760

    途径

    EGFR Signaling Pathway
You are here: