电话:
+86 (0512) 65829739
传真:
+86 (010) 6788 5057
电子邮件:
orders@antibodies-online.cn

GAK 抗体 (C-Term)

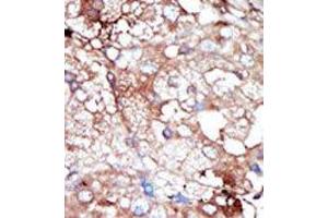
The 兔 多克隆 anti-GAK antibody is suitable to detect GAK in samples from 人. It has been validated for WB, IHC (p) 和 EIA.
产品编号 ABIN360521
发货至: 中国
Contact our Customer Service for availability and price in your country. Contact Info

Our Local Distributor

中国
北京 101111
No. 88 KeChuang 6th Street
Beijing Economic Technological Development Area
Room 801-803
4A Biotech Co.,Ltd.
Tel +86 (0512) 65829739 传真 +86 (010) 6788 5057

Quick Overview for GAK 抗体 (C-Term) (ABIN360521)

抗原

See all GAK 抗体
GAK (Cyclin G Associated Kinase (GAK))

适用

  • 63
  • 41
  • 1
  • 1
  • 1
  • 1

宿主

  • 59
  • 4

克隆类型

  • 61
  • 2
多克隆

标记

  • 29
  • 5
  • 4
  • 4
  • 2
  • 2
  • 1
  • 1
  • 1
  • 1
  • 1
  • 1
  • 1
  • 1
  • 1
  • 1
  • 1
  • 1
  • 1
  • 1
  • 1
  • 1
  • 1
This GAK antibody is un-conjugated

应用范围

  • 51
  • 30
  • 21
  • 13
  • 13
  • 10
  • 6
  • 3
  • 2
  • 1
  • 1
Western Blotting (WB), Immunohistochemistry (Paraffin-embedded Sections) (IHC (p)), Enzyme Immunoassay (EIA)
  • 抗原表位

    • 15
    • 9
    • 8
    • 6
    • 5
    • 4
    • 3
    • 2
    • 2
    • 1
    • 1
    • 1
    • 1
    • 1
    C-Term

    特异性

    This antibody reacts to GAK.

    纯化方法

    Protein G column, eluted with high and low pH buffers and neutralized immediately, followed by dialysis against PBS

    免疫原

    This antibody is generated from rabbits immunized with a KLH conjugated synthetic peptide selected from the C-terminal region of human GAK.

    亚型

    Ig Fraction
  • 应用备注

    ELISA: 1/1,000. Western Blot: 1/100 - 1/500. Immunohistochemistry: 1/50 - 1/100.
    Other applications not tested.
    Optimal dilutions are dependent on conditions and should be determined by the user.

    限制

    仅限研究用
  • 状态

    Liquid

    浓度

    0.25 mg/mL

    缓冲液

    PBS with 0.09 % (W/V) sodium azide

    储存液

    Sodium azide

    注意事项

    This product contains sodium azide: a POISONOUS AND HAZARDOUS SUBSTANCE which should be handled by trained staff only.

    注意事项

    Avoid repeated freezing and thawing.

    储存条件

    4 °C/-20 °C

    储存方法

    Store the antibody undiluted at 2-8 °C for one month or (in aliquots) at-20 °C for longer.
  • 抗原

    GAK (Cyclin G Associated Kinase (GAK))

    别名

    GAK

    背景

    GAK, a member of the Ser/Thr protein kinase family, associates with cyclin G and CDK5. It appears to act as an auxilin homolog that is involved in the uncoating of clathrin-coated vesicles by Hsc70 in non-neuronal cells. Expression oscillates slightly during the cell cycle, peaking at G1. GAK localizes to the perinuclear area and to the trans-Golgi network. It is also observed on the plasma membrane, probably at focals adhesions. Expression is ubiquitous, wiht highest levels in testis. The protein contains 1 J domain and 1 tensin domain.Synonyms: Cyclin G-associated kinase

    基因ID

    2580

    NCBI登录号

    NP_005246

    UniProt

    O14976
You are here: