电话:
+86 (0512) 65829739
传真:
+86 (010) 6788 5057
电子邮件:
orders@antibodies-online.cn

STK24 抗体 (C-Term)

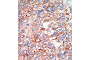
The 兔 多克隆 anti-STK24 antibody is suitable to detect STK24 in samples from 人. It has been validated for IHC (p) 和 EIA.
产品编号 ABIN360314
发货至: 中国
Contact our Customer Service for availability and price in your country. Contact Info

Our Local Distributor

中国
北京 101111
No. 88 KeChuang 6th Street
Beijing Economic Technological Development Area
Room 801-803
4A Biotech Co.,Ltd.
Tel +86 (0512) 65829739 传真 +86 (010) 6788 5057

Quick Overview for STK24 抗体 (C-Term) (ABIN360314)

抗原

See all STK24 抗体
STK24 (serine/threonine Kinase 24 (STK24))

适用

  • 55
  • 37
  • 30
  • 1
  • 1
  • 1
  • 1

宿主

  • 61
  • 9

克隆类型

  • 60
  • 10
多克隆

标记

  • 25
  • 7
  • 6
  • 5
  • 2
  • 2
  • 2
  • 2
  • 2
  • 2
  • 2
  • 2
  • 1
  • 1
  • 1
  • 1
  • 1
  • 1
  • 1
  • 1
  • 1
  • 1
  • 1
This STK24 antibody is un-conjugated

应用范围

  • 53
  • 32
  • 19
  • 13
  • 13
  • 9
  • 5
  • 3
  • 3
  • 1
  • 1
  • 1
Immunohistochemistry (Paraffin-embedded Sections) (IHC (p)), Enzyme Immunoassay (EIA)
  • 抗原表位

    • 15
    • 8
    • 7
    • 7
    • 6
    • 4
    • 2
    • 2
    • 2
    • 1
    • 1
    • 1
    • 1
    • 1
    • 1
    • 1
    • 1
    • 1
    C-Term

    特异性

    This antibody reacts to MST3.

    纯化方法

    Protein G column, eluted with high and low pH buffers and neutralized immediately, followed by dialysis against PBS

    免疫原

    This antibody is generated from rabbits immunized with a KLH conjugated synthetic peptide selected from the C-terminal region of human MST3.

    亚型

    Ig Fraction
  • 应用备注

    ELISA: 1/1,000. Immunohistochemistry: 1/50 - 1/100.
    Other applications not tested.
    Optimal dilutions are dependent on conditions and should be determined by the user.

    限制

    仅限研究用
  • 状态

    Liquid

    浓度

    0.25 mg/mL

    缓冲液

    PBS with 0.09 % (W/V) sodium azide

    储存液

    Sodium azide

    注意事项

    This product contains sodium azide: a POISONOUS AND HAZARDOUS SUBSTANCE which should be handled by trained staff only.

    注意事项

    Avoid repeated freezing and thawing.

    储存条件

    4 °C/-20 °C

    储存方法

    Store the antibody undiluted at 2-8 °C for one month or (in aliquots) at-20 °C for longer.
  • 抗原

    STK24 (serine/threonine Kinase 24 (STK24))

    别名

    STK24 / STK3

    背景

    The yeast 'Sterile 20' gene (STE20) functions upstream of the mitogen-activated protein kinase (MAPK) cascade. In mammals, protein kinases related to STE20 can be divided into 2 subfamilies based on their structure and regulation. Members of the PAK subfamily (see PAK3, MIM 300142) contain a C-terminal catalytic domain and an N-terminal regulatory domain that has a CDC42 (MIM 116952)-binding domain. In contrast, members of the GCK subfamily (see MAP4K2, MIM 603166), also called the Sps1 subfamily, have an N-terminal catalytic domain and a C-terminal regulatory domain without a CDC42-binding domain. STK24 belongs to the GCK subfamily of STE20-like kinases.Synonyms: MST-3, MST3, Mammalian STE20-like protein kinase 3, STE20-like kinase MST3, Serine/threonine-protein kinase 24

    基因ID

    8428, 9606

    UniProt

    Q9Y6E0
You are here: