电话:
+86 (0512) 65829739
传真:
+86 (010) 6788 5057
电子邮件:
orders@antibodies-online.cn

Sclerostin 抗体 (N-Term)

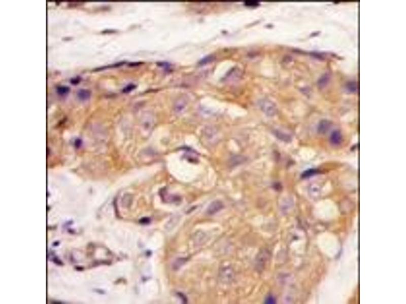
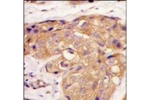
There is 1 publication for this product available. The 兔 多克隆 anti-Sclerostin antibody is suitable to detect Sclerostin in samples from 人 和 小鼠. It has been validated for WB, IHC (p) 和 EIA.
产品编号 ABIN358751
发货至: 中国
Contact our Customer Service for availability and price in your country. Contact Info

Our Local Distributor

中国
北京 101111
No. 88 KeChuang 6th Street
Beijing Economic Technological Development Area
Room 801-803
4A Biotech Co.,Ltd.
Tel +86 (0512) 65829739 传真 +86 (010) 6788 5057

Quick Overview for Sclerostin 抗体 (N-Term) (ABIN358751)

抗原

See all Sclerostin (SOST) 抗体
Sclerostin (SOST)

适用

  • 66
  • 52
  • 37
  • 16
  • 15
  • 15
  • 2
  • 1
  • 1
  • 1
  • 1
人, 小鼠

宿主

  • 66
  • 4
  • 2
  • 2
  • 1
  • 1

克隆类型

  • 67
  • 9
多克隆

标记

  • 33
  • 6
  • 6
  • 5
  • 3
  • 3
  • 2
  • 2
  • 2
  • 2
  • 2
  • 2
  • 2
  • 2
  • 2
  • 1
  • 1
This Sclerostin antibody is un-conjugated

应用范围

  • 70
  • 33
  • 25
  • 24
  • 13
  • 10
  • 6
  • 5
  • 3
  • 2
  • 1
  • 1
Western Blotting (WB), Immunohistochemistry (Paraffin-embedded Sections) (IHC (p)), Enzyme Immunoassay (EIA)
  • 抗原表位

    • 15
    • 9
    • 8
    • 7
    • 3
    • 3
    • 2
    • 2
    • 1
    • 1
    • 1
    • 1
    • 1
    • 1
    • 1
    • 1
    • 1
    • 1
    N-Term

    特异性

    This antibody reacts to SOST.

    纯化方法

    Protein A column, eluted with high and low pH buffers and neutralized immediately, followed by dialysis against PBS

    免疫原

    This antibody is generated from rabbits immunized with a KLH conjugated synthetic peptide selected from the N-terminal region of human SOST.

    亚型

    Ig Fraction
  • 应用备注

    ELISA: 1/1,000. Western blotting: 1/50 - 1/100. Immunohistochemistry: 1/10 - 1/50.
    Other applications not tested.
    Optimal dilutions are dependent on conditions and should be determined by the user.

    限制

    仅限研究用
  • 状态

    Liquid

    浓度

    0.25 mg/mL

    缓冲液

    PBS with 0.09 % (W/V) sodium azide

    储存液

    Sodium azide

    注意事项

    This product contains sodium azide: a POISONOUS AND HAZARDOUS SUBSTANCE which should be handled by trained staff only.

    注意事项

    Avoid repeated freezing and thawing.

    储存条件

    4 °C/-20 °C

    储存方法

    Store the antibody undiluted at 2-8 °C for one month or (in aliquots) at-20 °C for longer.
  • Sato, Cregor, Delgado-Calle, Condon, Allen, Peacock, Plotkin, Bellido: "Protection From Glucocorticoid-Induced Osteoporosis by Anti-Catabolic Signaling in the Absence of Sost/Sclerostin." in: Journal of bone and mineral research : the official journal of the American Society for Bone and Mineral Research, Vol. 31, Issue 10, pp. 1791-1802, (2016) (PubMed).

  • 抗原

    Sclerostin (SOST)

    别名

    Sclerostin / SOST

    背景

    Sclerostin is a secreted glycoprotein with a C-terminal cysteine knot-like (CTCK) domain and sequence similarity to the DAN (differential screening-selected gene aberrative in neuroblastoma) family of bone morphogenetic protein (BMP) antagonists. Loss-of-function mutations in this gene are associated with an autosomal-recessive disorder, sclerosteosis, which causes progressive bone overgrowth. A deletion downstream of this gene, which causes reduced sclerostin expression, is associated with a milder form of the disorder called van Buchem disease.

    基因ID

    50964, 9606

    UniProt

    Q9BQB4
You are here: