电话:
+86 (0512) 65829739
传真:
+86 (010) 6788 5057
电子邮件:
orders@antibodies-online.cn

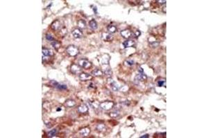
ACSL6 抗体 (Middle Region)

The 兔 多克隆 anti-ACSL6 antibody is suitable to detect ACSL6 in samples from 人 和 小鼠. It has been validated for WB, IHC (p) 和 EIA.
产品编号 ABIN357782
发货至: 中国
Contact our Customer Service for availability and price in your country. Contact Info

Our Local Distributor

中国
北京 101111
No. 88 KeChuang 6th Street
Beijing Economic Technological Development Area
Room 801-803
4A Biotech Co.,Ltd.
Tel +86 (0512) 65829739 传真 +86 (010) 6788 5057

Quick Overview for ACSL6 抗体 (Middle Region) (ABIN357782)

抗原

See all ACSL6 抗体
ACSL6 (Acyl-CoA Synthetase Long-Chain Family Member 6 (ACSL6))

适用

  • 35
  • 27
  • 10
  • 4
  • 4
  • 4
  • 3
  • 3
  • 3
  • 2
  • 1
  • 1
人, 小鼠

宿主

  • 35

克隆类型

  • 35
多克隆

标记

  • 20
  • 3
  • 2
  • 2
  • 1
  • 1
  • 1
  • 1
  • 1
  • 1
  • 1
  • 1
This ACSL6 antibody is un-conjugated

应用范围

  • 24
  • 17
  • 13
  • 3
  • 1
  • 1
Western Blotting (WB), Immunohistochemistry (Paraffin-embedded Sections) (IHC (p)), Enzyme Immunoassay (EIA)
  • 抗原表位

    • 8
    • 4
    • 3
    • 2
    • 2
    • 2
    • 1
    • 1
    • 1
    • 1
    • 1
    • 1
    Middle Region

    特异性

    This antibody is specific to FACL6 (Center).

    纯化方法

    Protein G Chromatography, eluted with high and low pH buffers and neutralized immediately, followed by dialysis against PBS.

    免疫原

    This antibody is generated from rabbits immunized with a KLH conjugated synthetic peptide selected from the center region of human FACL6.

    亚型

    Ig Fraction
  • 应用备注

    ELISA: 1/1,000. Western blot: 1/100-1/500. Immunohistochemistry: 1/50-1/100.
    Other applications not tested.
    Optimal dilutions are dependent on conditions and should be determined by the user.

    限制

    仅限研究用
  • 状态

    Liquid

    浓度

    0.25 mg/mL

    缓冲液

    PBS with 0.09 % (W/V) Sodium Azide as preservative.

    储存液

    Sodium azide

    注意事项

    This product contains sodium azide: a POISONOUS AND HAZARDOUS SUBSTANCE which should be handled by trained staff only.

    注意事项

    Avoid repeated freezing and thawing.

    储存条件

    4 °C/-20 °C

    储存方法

    Store the antibody undiluted at 2-8 °C for one month or (in aliquots) at-20 °C for longer.
  • 抗原

    ACSL6 (Acyl-CoA Synthetase Long-Chain Family Member 6 (ACSL6))

    别名

    ACSL6

    背景

    FACL6 is involved in activation of long-chain fatty acids for both synthesis of cellular lipids, and degradation via beta-oxidation. It plays an important role in fatty acid metabolism in brain and the acyl-CoAs produced may be utilized exclusively for the synthesis of the brain lipid. FACL6 is expressed predominantly in erythrocyte precursors, in particular in reticulocytes, fetal blood cells derieved from fetal liver, haemopoietic stem cells from cord blood, bone marrow, and brain. Expression is low at earlier stages of erythroid development but is very high in reticulocytes. This protein is involved in myelodysplastic syndrome (MDS) with basophilia, acute myelogenous leukemia (AML) with eosinophilia, and acute eosinophilic leukemia (AEL). It is characterized by a chromosomal translocation t(5,12)(q31,p13) that involves ETV6 and ACSL6.Synonyms: ACS2, FACL6, KIAA0837, LACS5, Long-chain acyl-CoA synthetase 6, Long-chain-fatty-acid--CoA ligase 6

    分子量

    77680 Da

    基因ID

    23305, 5874

    UniProt

    Q9UKU0
You are here: