电话:
+86 (0512) 65829739
传真:
+86 (010) 6788 5057
电子邮件:
orders@antibodies-online.cn

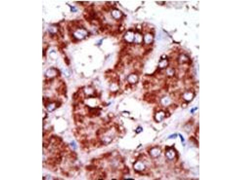
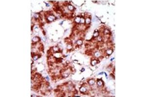
CPT1B 抗体 (C-Term)

This 兔 多克隆 antibody specifically detects CPT1B in WB, IHC (p) 和 EIA. It exhibits reactivity toward 人.
产品编号 ABIN357772
发货至: 中国
Contact our Customer Service for availability and price in your country. Contact Info

Our Local Distributor

中国
北京 101111
No. 88 KeChuang 6th Street
Beijing Economic Technological Development Area
Room 801-803
4A Biotech Co.,Ltd.
Tel +86 (0512) 65829739 传真 +86 (010) 6788 5057

Quick Overview for CPT1B 抗体 (C-Term) (ABIN357772)

抗原

See all CPT1B 抗体
CPT1B (Carnitine Palmitoyltransferase 1B (Muscle) (CPT1B))

适用

  • 59
  • 25
  • 20
  • 2
  • 2
  • 2
  • 2
  • 2
  • 1
  • 1
  • 1
  • 1

宿主

  • 61
  • 1
  • 1

克隆类型

  • 61
  • 2
多克隆

标记

  • 30
  • 6
  • 5
  • 5
  • 3
  • 3
  • 1
  • 1
  • 1
  • 1
  • 1
  • 1
  • 1
  • 1
  • 1
  • 1
  • 1
This CPT1B antibody is un-conjugated

应用范围

  • 56
  • 38
  • 23
  • 13
  • 13
  • 5
  • 5
  • 5
  • 4
  • 4
  • 1
  • 1
Western Blotting (WB), Immunohistochemistry (Paraffin-embedded Sections) (IHC (p)), Enzyme Immunoassay (EIA)
  • 抗原表位

    • 15
    • 8
    • 7
    • 7
    • 5
    • 4
    • 2
    • 1
    • 1
    • 1
    • 1
    • 1
    • 1
    • 1
    • 1
    • 1
    • 1
    C-Term

    特异性

    This antibody is specific to CPT1B/CPT1-M (C-term).

    纯化方法

    Protein G Chromatography, eluted with high and low pH buffers and neutralized immediately, followed by dialysis against PBS.

    免疫原

    This antibody is generated from rabbits immunized with a KLH conjugated synthetic peptide selected from the C-terminal region of human CPT1B.

    亚型

    Ig Fraction
  • 应用备注

    ELISA: 1/1,000. Western blot: 1/50-1/200. Immunohistochemistry: 1/50-1/100.
    Other applications not tested.
    Optimal dilutions are dependent on conditions and should be determined by the user.

    限制

    仅限研究用
  • 状态

    Liquid

    浓度

    0.25 mg/mL

    缓冲液

    PBS with 0.09 % (W/V) Sodium Azide as preservative.

    储存液

    Sodium azide

    注意事项

    This product contains sodium azide: a POISONOUS AND HAZARDOUS SUBSTANCE which should be handled by trained staff only.

    注意事项

    Avoid repeated freezing and thawing.

    储存条件

    4 °C/-20 °C

    储存方法

    Store the antibody undiluted at 2-8 °C for one month or (in aliquots) at-20 °C for longer.
  • 抗原

    CPT1B (Carnitine Palmitoyltransferase 1B (Muscle) (CPT1B))

    别名

    CPT1B / CPT1-M

    背景

    CPT1B is a member of the carnitine/choline acetyltransferase family, and is the rate-controlling enzyme of the long-chain fatty acid beta-oxidation pathway in muscle mitochondria. This enzyme is required for the net transport of long-chain fatty acyl-CoAs from the cytoplasm into the mitochondria.Synonyms: Carnitine O-palmitoyltransferase 1, Carnitine palmitoyltransferase 1B, Carnitine palmitoyltransferase I-like protein, KIAA1670, muscle isoform

    分子量

    87801 Da

    基因ID

    1120, 9606

    UniProt

    Q92523

    途径

    AMPK Signaling, Monocarboxylic Acid Catabolic Process
You are here: