电话:
+86 (0512) 65829739
传真:
+86 (010) 6788 5057
电子邮件:
orders@antibodies-online.cn

AMFR 抗体 (N-Term)

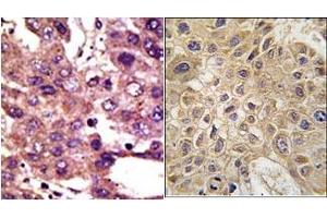
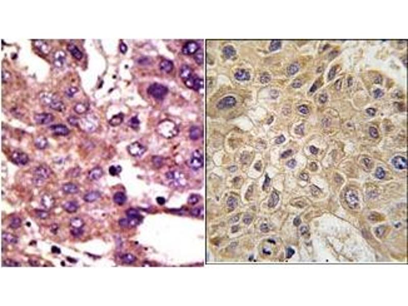
The 兔 多克隆 anti-AMFR antibody is suitable to detect AMFR in samples from 人. It has been validated for WB, IHC (p) 和 EIA.
产品编号 ABIN357584
发货至: 中国
Contact our Customer Service for availability and price in your country. Contact Info

Our Local Distributor

中国
北京 101111
No. 88 KeChuang 6th Street
Beijing Economic Technological Development Area
Room 801-803
4A Biotech Co.,Ltd.
Tel +86 (0512) 65829739 传真 +86 (010) 6788 5057

Quick Overview for AMFR 抗体 (N-Term) (ABIN357584)

抗原

See all AMFR 抗体
AMFR (Autocrine Motility Factor Receptor (AMFR))

适用

  • 30
  • 9
  • 7
  • 4
  • 2
  • 2
  • 2
  • 2
  • 1
  • 1
  • 1
  • 1
  • 1

宿主

  • 31
  • 1

克隆类型

  • 31
  • 1
多克隆

标记

  • 23
  • 3
  • 2
  • 2
  • 1
  • 1
This AMFR antibody is un-conjugated

应用范围

  • 28
  • 19
  • 10
  • 4
  • 3
  • 3
  • 3
  • 3
  • 1
  • 1
  • 1
  • 1
Western Blotting (WB), Immunohistochemistry (Paraffin-embedded Sections) (IHC (p)), Enzyme Immunoassay (EIA)
  • 抗原表位

    • 7
    • 5
    • 3
    • 2
    • 2
    • 1
    • 1
    • 1
    • 1
    • 1
    • 1
    • 1
    • 1
    • 1
    • 1
    • 1
    • 1
    N-Term

    特异性

    This antibody is specific to AMFR (N-term).

    纯化方法

    Protein G Chromatography, eluted with high and low pH buffers and neutralized immediately, followed by dialysis against PBS.

    免疫原

    This antibody is generated from rabbits immunized with a KLH conjugated synthetic peptide selected from the N-terminal region of human AMFR.

    亚型

    Ig Fraction
  • 应用备注

    ELISA: 1/1,000. Western Blot: 1/100-1/500. Immunohistochemistry: 1/50-1/100.
    Other applications not tested.
    Optimal dilutions are dependent on conditions and should be determined by the user.

    限制

    仅限研究用
  • 状态

    Liquid

    浓度

    0.25 mg/mL

    缓冲液

    PBS with 0.09 % (W/V) Sodium Azide as preservative.

    储存液

    Sodium azide

    注意事项

    This product contains sodium azide: a POISONOUS AND HAZARDOUS SUBSTANCE which should be handled by trained staff only.

    注意事项

    Avoid repeated freezing and thawing.

    储存条件

    4 °C/-20 °C

    储存方法

    Store the antibody undiluted at 2-8 °C for one month or (in aliquots) at-20 °C for longer.
  • 抗原

    AMFR (Autocrine Motility Factor Receptor (AMFR))

    别名

    AMFR / RNF45

    背景

    Autocrine motility factor (AMF) is a protein secreted by tumor cells that stimulates tumor motility. The gene for AMFR encodes a 323-amino acid polypeptide that has a single transmembrane domain and several putative glycosylation sites. The protein sequence has some homology to human tumor protein p53.Synonyms: AMF receptor isoform 2, Autocrine motility factor receptor isoform 2, RING finger protein 45, gp78

    分子量

    34325 Da

    基因ID

    267

    NCBI登录号

    NP_001135

    UniProt

    Q9UKV5

    途径

    ER-Nucleus Signaling
You are here: