电话:
+86 (0512) 65829739
传真:
+86 (010) 6788 5057
电子邮件:
orders@antibodies-online.cn

TSG101 抗体 (N-Term)

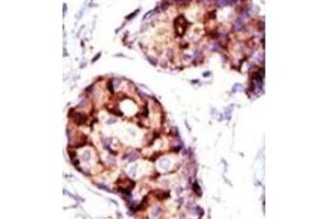
The 兔 多克隆 anti-TSG101 antibody is suitable to detect TSG101 in samples from 人 和 小鼠. It has been validated for WB, IHC (p) 和 EIA.
产品编号 ABIN357572
发货至: 中国
Contact our Customer Service for availability and price in your country. Contact Info

Our Local Distributor

中国
北京 101111
No. 88 KeChuang 6th Street
Beijing Economic Technological Development Area
Room 801-803
4A Biotech Co.,Ltd.
Tel +86 (0512) 65829739 传真 +86 (010) 6788 5057

Quick Overview for TSG101 抗体 (N-Term) (ABIN357572)

抗原

See all TSG101 抗体
TSG101 (Tumor Susceptibility Gene 101 (TSG101))

适用

  • 93
  • 51
  • 40
  • 10
  • 9
  • 8
  • 7
  • 7
  • 5
  • 5
  • 4
  • 4
  • 3
  • 2
  • 1
  • 1
  • 1
人, 小鼠

宿主

  • 76
  • 20
  • 1

克隆类型

  • 55
  • 42
多克隆

标记

  • 60
  • 5
  • 4
  • 3
  • 3
  • 3
  • 3
  • 3
  • 3
  • 3
  • 3
  • 2
  • 1
  • 1
This TSG101 antibody is un-conjugated

应用范围

  • 81
  • 38
  • 36
  • 30
  • 22
  • 16
  • 15
  • 11
  • 2
  • 2
  • 2
  • 1
  • 1
  • 1
  • 1
  • 1
  • 1
  • 1
Western Blotting (WB), Immunohistochemistry (Paraffin-embedded Sections) (IHC (p)), Enzyme Immunoassay (EIA)
  • 抗原表位

    • 9
    • 8
    • 7
    • 4
    • 4
    • 4
    • 3
    • 3
    • 2
    • 2
    • 1
    • 1
    • 1
    • 1
    • 1
    • 1
    • 1
    • 1
    • 1
    • 1
    N-Term

    特异性

    This antibody is specific to TSG101 (N-term).

    纯化方法

    Protein G Chromatography, eluted with high and low pH buffers and neutralized immediately, followed by dialysis against PBS.

    免疫原

    This antibody is generated from rabbits immunized with a KLH conjugated synthetic peptide selected from the N-terminal region of human TSG101.

    亚型

    Ig Fraction
  • 应用备注

    ELISA: 1/1,000. Western Blot: 1/100-1/500. Immunohistochemistry: 1/50-1/100.
    Other applications not tested.
    Optimal dilutions are dependent on conditions and should be determined by the user.

    限制

    仅限研究用
  • 状态

    Liquid

    浓度

    0.25 mg/mL

    缓冲液

    PBS with 0.09 % (W/V) Sodium Azide as preservative.

    储存液

    Sodium azide

    注意事项

    This product contains sodium azide: a POISONOUS AND HAZARDOUS SUBSTANCE which should be handled by trained staff only.

    注意事项

    Avoid repeated freezing and thawing.

    储存条件

    4 °C/-20 °C

    储存方法

    Store the antibody undiluted at 2-8 °C for one month or (in aliquots) at-20 °C for longer.
  • 抗原

    TSG101 (Tumor Susceptibility Gene 101 (TSG101))

    别名

    TSG101

    背景

    TSG101 belongs to a group of apparently inactive homologs of ubiquitin-conjugating enzymes. The gene product contains a coiled-coil domain that interacts with stathmin, a cytosolic phosphoprotein implicated in tumorigenesis. The protein may play a role in cell growth and differentiation and act as a negative growth regulator. In vitro steady-state expression of this tumor susceptibility gene appears to be important for maintenance of genomic stability and cell cycle regulation. Mutations and alternative splicing in this gene occur in high frequency in breast cancer and suggest that defects occur during breast cancer tumorigenesis and/or progression.Synonyms: ESCRT-I complex subunit TSG101, Tumor susceptibility gene 101 protein

    分子量

    43944 Da

    基因ID

    7251, 5874

    UniProt

    Q99816
You are here: