电话:
+86 (0512) 65829739
传真:
+86 (010) 6788 5057
电子邮件:
orders@antibodies-online.cn

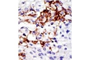
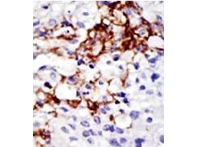
USP16 抗体 (N-Term)

This 兔 多克隆 antibody specifically detects USP16 in WB, EIA 和 IHC (p). It exhibits reactivity toward 人.
产品编号 ABIN357550
发货至: 中国
Contact our Customer Service for availability and price in your country. Contact Info

Our Local Distributor

中国
北京 101111
No. 88 KeChuang 6th Street
Beijing Economic Technological Development Area
Room 801-803
4A Biotech Co.,Ltd.
Tel +86 (0512) 65829739 传真 +86 (010) 6788 5057

Quick Overview for USP16 抗体 (N-Term) (ABIN357550)

抗原

See all USP16 抗体
USP16 (Ubiquitin Specific Peptidase 16 (USP16))

适用

  • 50
  • 13
  • 13
  • 4
  • 3
  • 3
  • 3
  • 3
  • 2
  • 1

宿主

  • 46
  • 3
  • 1

克隆类型

  • 49
  • 1
多克隆

标记

  • 27
  • 5
  • 3
  • 3
  • 3
  • 3
  • 1
  • 1
  • 1
  • 1
  • 1
  • 1
This USP16 antibody is un-conjugated

应用范围

  • 39
  • 26
  • 12
  • 5
  • 5
  • 3
  • 2
Western Blotting (WB), Enzyme Immunoassay (EIA), Immunohistochemistry (Paraffin-embedded Sections) (IHC (p))
  • 抗原表位

    • 10
    • 7
    • 7
    • 6
    • 3
    • 2
    • 2
    • 2
    • 1
    • 1
    • 1
    • 1
    • 1
    N-Term

    特异性

    This antibody is specific to USP16 (N-term).

    纯化方法

    Protein G Chromatography, eluted with high and low pH buffers and neutralized immediately, followed by dialysis against PBS.

    免疫原

    This antibody is generated from rabbits immunized with a KLH conjugated synthetic peptide selected from the N-terminal region of human USP16.

    亚型

    Ig Fraction
  • 应用备注

    ELISA: 1/1,000. Western Blot: 1/100-1/500. Immunohistochemistry: 1/50-1/100.
    Other applications not tested.
    Optimal dilutions are dependent on conditions and should be determined by the user.

    限制

    仅限研究用
  • 状态

    Liquid

    浓度

    0.25 mg/mL

    缓冲液

    PBS with 0.09 % (W/V) Sodium Azide as preservative.

    储存液

    Sodium azide

    注意事项

    This product contains sodium azide: a POISONOUS AND HAZARDOUS SUBSTANCE which should be handled by trained staff only.

    注意事项

    Avoid repeated freezing and thawing.

    储存条件

    4 °C/-20 °C

    储存方法

    Store the antibody undiluted at 2-8 °C for one month or (in aliquots) at-20 °C for longer.
  • 抗原

    USP16 (Ubiquitin Specific Peptidase 16 (USP16))

    别名

    USP16

    背景

    Modification of target proteins by ubiquitin participates in a wide array of biological functions. Proteins destined for degradation or processing via the 26 S proteasome are coupled to multiple copies of ubiquitin. However, attachment of ubiquitin or ubiquitin-related molecules may also result in changes in subcellular distribution or modification of protein activity. An additional level of ubiquitin regulation, deubiquitination, is catalyzed by proteases called deubiquitinating enzymes, which fall into four distinct families. Ubiquitin C-terminal hydrolases, ubiquitin-specific processing proteases (USPs),1 OTU-domain ubiquitin-aldehyde-binding proteins, and Jab1/Pad1/MPN-domain-containing metallo-enzymes. Among these four families, USPs represent the most widespread and represented deubiquitinating enzymes across evolution. USPs tend to release ubiquitin from a conjugated protein. They display similar catalytic domains containing conserved Cys and His boxes but divergent N-terminal and occasionally C-terminal extensions, which are thought to function in substrate recognition, subcellular localization, and protein-protein interactions.Synonyms: Deubiquitinating enzyme 16, MSTP039, Ubiquitin carboxyl-terminal hydrolase 16, Ubiquitin thioesterase 16, Ubiquitin-processing protease UBP-M, Ubiquitin-specific-processing protease 16

    分子量

    46599 Da

    基因ID

    10600, 5874

    UniProt

    Q9Y5T5
You are here: