电话:
+86 (0512) 65829739
传真:
+86 (010) 6788 5057
电子邮件:
orders@antibodies-online.cn

UBE2D1 抗体 (C-Term)

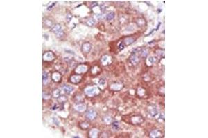
The 兔 多克隆 anti-UBE2D1 antibody is suitable to detect UBE2D1 in samples from 人 和 小鼠. It has been validated for WB, IHC (p) 和 EIA.
产品编号 ABIN357485
发货至: 中国
Contact our Customer Service for availability and price in your country. Contact Info

Our Local Distributor

中国
北京 101111
No. 88 KeChuang 6th Street
Beijing Economic Technological Development Area
Room 801-803
4A Biotech Co.,Ltd.
Tel +86 (0512) 65829739 传真 +86 (010) 6788 5057

Quick Overview for UBE2D1 抗体 (C-Term) (ABIN357485)

抗原

See all UBE2D1 抗体
UBE2D1 (Ubiquitin-Conjugating Enzyme E2D 1 (UBE2D1))

适用

  • 59
  • 31
  • 24
  • 4
  • 2
  • 2
  • 2
  • 2
  • 1
  • 1
  • 1
  • 1
  • 1
  • 1
人, 小鼠

宿主

  • 56
  • 3

克隆类型

  • 43
  • 16
多克隆

标记

  • 20
  • 5
  • 4
  • 3
  • 2
  • 2
  • 2
  • 2
  • 2
  • 2
  • 1
  • 1
  • 1
  • 1
  • 1
  • 1
  • 1
  • 1
  • 1
  • 1
  • 1
  • 1
  • 1
  • 1
  • 1
This UBE2D1 antibody is un-conjugated

应用范围

  • 48
  • 22
  • 18
  • 13
  • 13
  • 11
  • 8
  • 3
  • 3
  • 2
  • 2
Western Blotting (WB), Immunohistochemistry (Paraffin-embedded Sections) (IHC (p)), Enzyme Immunoassay (EIA)
  • 抗原表位

    • 15
    • 7
    • 6
    • 2
    • 1
    • 1
    • 1
    • 1
    C-Term

    特异性

    This antibody is specific to UBE2D1/SFT (C-term).

    纯化方法

    Protein G Chromatography, eluted with high and low pH buffers and neutralized immediately, followed by dialysis against PBS.

    免疫原

    This antibody is generated from rabbits immunized with a KLH conjugated synthetic peptide selected from the C-terminal region of human UBE2D1.

    亚型

    Ig Fraction
  • 应用备注

    ELISA: 1/1,000. Western Blot: 1/100-1/500. Immunohistochemistry: 1/50-1/100.
    Other applications not tested.
    Optimal dilutions are dependent on conditions and should be determined by the user.

    限制

    仅限研究用
  • 状态

    Liquid

    浓度

    0.25 mg/mL

    缓冲液

    PBS with 0.09 % (W/V) Sodium Azide as preservative.

    储存液

    Sodium azide

    注意事项

    This product contains sodium azide: a POISONOUS AND HAZARDOUS SUBSTANCE which should be handled by trained staff only.

    注意事项

    Avoid repeated freezing and thawing.

    储存条件

    4 °C/-20 °C

    储存方法

    Store the antibody undiluted at 2-8 °C for one month or (in aliquots) at-20 °C for longer.
  • 抗原

    UBE2D1 (Ubiquitin-Conjugating Enzyme E2D 1 (UBE2D1))

    别名

    UBE2D1 / SFT

    背景

    The modification of proteins with ubiquitin is an important cellular mechanism for targeting abnormal or short-lived proteins for degradation. Ubiquitination involves at least three classes of enzymes: ubiquitin-activating enzymes, or E1s, ubiquitin-conjugating enzymes, or E2s, and ubiquitin-protein ligases, or E3s. UBE2D1 is a member of the E2 ubiquitin-conjugating enzyme family. This enzyme is closely related to a stimulator of iron transport (SFT), and is up-regulated in hereditary hemochromatosis. It also functions in the ubiquitination of the tumor-suppressor protein p53 and the hypoxia-inducible transcription factor HIF1alpha by interacting with the E1 ubiquitin-activating enzyme and the E3 ubiquitin-protein ligases.Synonyms: E2(17)KB 1, UBC4/5 homolog, UBCH5, UBCH5A, Ubiquitin carrier protein D1, Ubiquitin-conjugating enzyme E2 D1, Ubiquitin-protein ligase D1

    分子量

    16602 Da

    基因ID

    7321, 5874

    UniProt

    P51668

    途径

    Activation of Innate immune Response, Toll-Like Receptors Cascades
You are here: