电话:
+86 (0512) 65829739
传真:
+86 (010) 6788 5057
电子邮件:
orders@antibodies-online.cn

UBE4B 抗体 (N-Term)

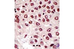
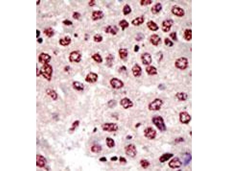
The 兔 多克隆 anti-UBE4B antibody (ABIN357483) specifically detects UBE4B in WB, IHC (p) 和 EIA. The antibody is reactive with 人 和 小鼠 samples.
产品编号 ABIN357483
发货至: 中国
Contact our Customer Service for availability and price in your country. Contact Info

Our Local Distributor

中国
北京 101111
No. 88 KeChuang 6th Street
Beijing Economic Technological Development Area
Room 801-803
4A Biotech Co.,Ltd.
Tel +86 (0512) 65829739 传真 +86 (010) 6788 5057

Quick Overview for UBE4B 抗体 (N-Term) (ABIN357483)

抗原

See all UBE4B 抗体
UBE4B (Ubiquitin Conjugation Factor E4 B (UBE4B))

适用

  • 48
  • 33
  • 15
  • 3
  • 3
  • 1
  • 1
  • 1
  • 1
人, 小鼠

宿主

  • 45
  • 3

克隆类型

  • 32
  • 16
多克隆

标记

  • 27
  • 3
  • 2
  • 2
  • 2
  • 2
  • 2
  • 2
  • 1
  • 1
  • 1
  • 1
  • 1
  • 1
This UBE4B antibody is un-conjugated

应用范围

  • 37
  • 14
  • 14
  • 12
  • 5
  • 4
  • 4
  • 2
  • 1
Western Blotting (WB), Immunohistochemistry (Paraffin-embedded Sections) (IHC (p)), Enzyme Immunoassay (EIA)
  • 抗原表位

    • 8
    • 4
    • 3
    • 2
    • 2
    • 1
    • 1
    • 1
    • 1
    • 1
    • 1
    N-Term

    特异性

    This antibody detects UBE4B at N-term.

    纯化方法

    Protein G column, eluted with high and low pH buffers and neutralized immediately, followed by dialysis against PBS

    免疫原

    This antibody is generated from rabbits immunized with a KLH conjugated synthetic peptide selected from the N-terminal region of human UBE4B.

    亚型

    Ig Fraction
  • 应用备注

    ELISA 1: 1,000. Western blot 1: 100 - 1: 500. Immunohistochemistry 1: 50 - 1: 100.
    Other applications not tested.
    Optimal dilutions are dependent on conditions and should be determined by the user.

    限制

    仅限研究用
  • 状态

    Liquid

    浓度

    0.25 mg/mL

    缓冲液

    PBS with 0.09 % (W/V) sodium azide

    储存液

    Sodium azide

    注意事项

    This product contains sodium azide: a POISONOUS AND HAZARDOUS SUBSTANCE which should be handled by trained staff only.

    注意事项

    Avoid repeated freezing and thawing.

    储存条件

    4 °C/-20 °C

    储存方法

    Store the antibody at 2 - 8 °C up to one month or (in aliquots) at -20 °C for longer.
  • 抗原

    UBE4B (Ubiquitin Conjugation Factor E4 B (UBE4B))

    别名

    UBE4B

    背景

    The modification of proteins with ubiquitin is an important cellular mechanism for targeting abnormal or short-lived proteins for degradation. Ubiquitination involves at least three classes of enzymes: ubiquitin-activating enzymes, or E1s, ubiquitin-conjugating enzymes, or E2s, and ubiquitin-protein ligases, or E3s. UBE4B represents an additional conjugation factor, E4, which is involved in multiubiquitin chain assembly. UBE4B also the strongest candidate among the neuroblastoma tumor suppressors.Synonyms: HDNB1, Homozygously deleted in neuroblastoma 1, KIAA0684, UFD2, Ubiquitin conjugation factor E4 B, Ubiquitin fusion degradation protein 2

    分子量

    133275 Da

    基因ID

    10277, 9606

    UniProt

    O95155
You are here: