电话:
+86 (0512) 65829739
传真:
+86 (010) 6788 5057
电子邮件:
orders@antibodies-online.cn

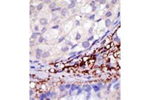
RNF216 抗体 (C-Term)

The 兔 多克隆 anti-RNF216 antibody (ABIN357474) specifically detects RNF216 in WB, IHC (p) 和 EIA. The antibody is reactive with 人 和 小鼠 samples.
产品编号 ABIN357474
发货至: 中国
Contact our Customer Service for availability and price in your country. Contact Info

Our Local Distributor

中国
北京 101111
No. 88 KeChuang 6th Street
Beijing Economic Technological Development Area
Room 801-803
4A Biotech Co.,Ltd.
Tel +86 (0512) 65829739 传真 +86 (010) 6788 5057

Quick Overview for RNF216 抗体 (C-Term) (ABIN357474)

抗原

See all RNF216 抗体
RNF216 (Ring Finger Protein 216 (RNF216))

适用

  • 40
  • 32
  • 20
  • 4
  • 3
  • 2
  • 2
  • 1
  • 1
  • 1
  • 1
人, 小鼠

宿主

  • 40
  • 1

克隆类型

  • 40
  • 1
多克隆

标记

  • 22
  • 2
  • 2
  • 2
  • 1
  • 1
  • 1
  • 1
  • 1
  • 1
  • 1
  • 1
  • 1
  • 1
  • 1
  • 1
  • 1
This RNF216 antibody is un-conjugated

应用范围

  • 19
  • 13
  • 10
  • 9
  • 7
  • 7
  • 2
  • 1
  • 1
Western Blotting (WB), Immunohistochemistry (Paraffin-embedded Sections) (IHC (p)), Enzyme Immunoassay (EIA)
  • 抗原表位

    • 8
    • 4
    • 2
    • 2
    • 2
    • 2
    • 1
    • 1
    • 1
    • 1
    • 1
    • 1
    • 1
    C-Term

    特异性

    This antibody detects TRIAD3 (UBCE7IP1) at C-term.

    纯化方法

    Protein G column, eluted with high and low pH buffers and neutralized immediately, followed by dialysis against PBS

    免疫原

    This antibody is generated from rabbits immunized with a KLH conjugated synthetic peptide selected from the C-terminal region of human UBCE7IP1.

    亚型

    Ig Fraction
  • 应用备注

    ELISA 1: 1,000. Western blot 1: 100 - 1: 500. Immunohistochemistry 1: 50 - 1: 100.
    Other applications not tested.
    Optimal dilutions are dependent on conditions and should be determined by the user.

    限制

    仅限研究用
  • 状态

    Liquid

    浓度

    0.25 mg/mL

    缓冲液

    PBS with 0.09 % (W/V) sodium azide

    储存液

    Sodium azide

    注意事项

    This product contains sodium azide: a POISONOUS AND HAZARDOUS SUBSTANCE which should be handled by trained staff only.

    注意事项

    Avoid repeated freezing and thawing.

    储存条件

    4 °C/-20 °C

    储存方法

    Store the antibody at 2 - 8 °C up to one month or (in aliquots) at -20 °C for longer.
  • 抗原

    RNF216 (Ring Finger Protein 216 (RNF216))

    别名

    RNF216

    背景

    UBCE7IP1 is a cytoplasmic protein which specifically colocalizes and interacts with the serine/threonine protein kinase, receptor-interacting protein (RIP). Zinc finger domains of the encoded protein are required for its interaction with RIP and for inhibition of TNF- and IL1-induced NF-kappa B activation pathways.The encoded protein may also function as an E3 ubiquitin-protein ligase which accepts ubiquitin from E2 ubiquitin-conjugating enzymes and transfers it to substrates.Synonyms: E3 ubiquitin-protein ligase RNF216, RING finger protein 216, TRIAD3, Triad domain-containing protein 3, UBCE7IP1, Ubiquitin-conjugating enzyme 7-interacting protein 1, ZIN, Zinc finger protein inhibiting NF-kappa-B

    分子量

    56697 Da

    基因ID

    54476, 5874

    UniProt

    Q9NWF9
You are here: