电话:
+86 (0512) 65829739
传真:
+86 (010) 6788 5057
电子邮件:
orders@antibodies-online.cn

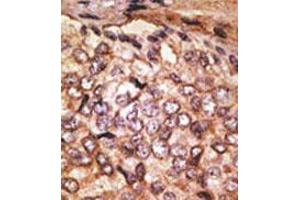
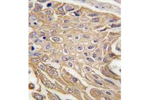
SIGLEC5 抗体 (N-Term)

The 兔 多克隆 anti-SIGLEC5 antibody is suitable to detect SIGLEC5 in samples from 人 和 小鼠. It has been validated for WB, IHC (p) 和 EIA.
产品编号 ABIN357143
发货至: 中国
Contact our Customer Service for availability and price in your country. Contact Info

Our Local Distributor

中国
北京 101111
No. 88 KeChuang 6th Street
Beijing Economic Technological Development Area
Room 801-803
4A Biotech Co.,Ltd.
Tel +86 (0512) 65829739 传真 +86 (010) 6788 5057

Quick Overview for SIGLEC5 抗体 (N-Term) (ABIN357143)

抗原

See all SIGLEC5 抗体
SIGLEC5 (Sialic Acid Binding Ig-Like Lectin 5 (SIGLEC5))

适用

  • 53
  • 27
  • 3
人, 小鼠

宿主

  • 48
  • 5
  • 5

克隆类型

  • 48
  • 10
多克隆

标记

  • 25
  • 8
  • 6
  • 5
  • 4
  • 3
  • 1
  • 1
  • 1
  • 1
  • 1
  • 1
  • 1
This SIGLEC5 antibody is un-conjugated

应用范围

  • 43
  • 25
  • 14
  • 8
  • 5
  • 4
  • 2
  • 1
  • 1
Western Blotting (WB), Immunohistochemistry (Paraffin-embedded Sections) (IHC (p)), Enzyme Immunoassay (EIA)
  • 抗原表位

    • 9
    • 7
    • 6
    • 5
    • 3
    • 3
    • 3
    • 3
    • 3
    • 2
    • 1
    • 1
    • 1
    • 1
    N-Term

    特异性

    Thisa ntibody detects SIGLEC5 at N-term.

    纯化方法

    Protein G column, eluted with high and low pH buffers and neutralized immediately, followed by dialysis against PBS

    免疫原

    This antibody is generated from rabbits immunized with a KLH conjugated synthetic peptide selected from the N-terminal region of human SIGLEC5.

    亚型

    Ig Fraction
  • 应用备注

    ELISA 1: 1,000. Western blot 1: 100 - 1: 500. Immunohistochemistry 1: 50 - 1: 100.
    Other applications not tested.
    Optimal dilutions are dependent on conditions and should be determined by the user.

    限制

    仅限研究用
  • 状态

    Liquid

    浓度

    0.25 mg/mL

    缓冲液

    PBS with 0.09 % (W/V) sodium azide

    储存液

    Sodium azide

    注意事项

    This product contains sodium azide: a POISONOUS AND HAZARDOUS SUBSTANCE which should be handled by trained staff only.

    注意事项

    Avoid repeated freezing and thawing.

    储存条件

    4 °C/-20 °C

    储存方法

    Store the antibody at 2 - 8 °C up to one month or (in aliquots) at -20 °C for longer.
  • 抗原

    SIGLEC5 (Sialic Acid Binding Ig-Like Lectin 5 (SIGLEC5))

    别名

    CD170 / SIGLEC5

    背景

    SIGLEC5 is a putative adhesion molecule that mediates sialic-acid dependent binding to cells. This protein binds equally to alpha2,3-linked and alpha2,6-linked sialic acid. The sialic acid recognition site may be masked by cis interactions with sialic acids on the same cell surface. This molecule is expressed by monocytic/myeloid lineage cells. SIGLEC5 is found at high levels in peripheral blood leukocytes, spleen, bone marrow and at lower levels in lymph node, lung, appendix, placenta, pancreas and thymus. It is expressed by monocytes and neutrophils but absent from leukemic cell lines representing early stages of myelomonocytic differenciation.Synonyms: CD33 antigen-like 2, CD33L2, OB-binding protein 2, OBBP2, Obesity-binding protein 2, Sialic acid-binding Ig-like lectin 5, Siglec-5

    分子量

    60715 Da

    基因ID

    8778, 5874

    UniProt

    O15389
You are here: