电话:
+86 (0512) 65829739
传真:
+86 (010) 6788 5057
电子邮件:
orders@antibodies-online.cn

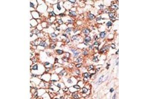
GJA9 抗体 (C-Term)

This 兔 多克隆 antibody specifically detects GJA9 in IHC (p) 和 EIA. It exhibits reactivity toward 人.
产品编号 ABIN357103
发货至: 中国
Contact our Customer Service for availability and price in your country. Contact Info

Our Local Distributor

中国
北京 101111
No. 88 KeChuang 6th Street
Beijing Economic Technological Development Area
Room 801-803
4A Biotech Co.,Ltd.
Tel +86 (0512) 65829739 传真 +86 (010) 6788 5057

Quick Overview for GJA9 抗体 (C-Term) (ABIN357103)

抗原

See all GJA9 抗体
GJA9 (Gap Junction Protein, alpha 9, 59kDa (GJA9))

适用

  • 19
  • 8
  • 1
  • 1

宿主

  • 19

克隆类型

  • 19
多克隆

标记

  • 7
  • 2
  • 1
  • 1
  • 1
  • 1
  • 1
  • 1
  • 1
  • 1
  • 1
  • 1
This GJA9 antibody is un-conjugated

应用范围

  • 12
  • 9
  • 9
  • 1
  • 1
Immunohistochemistry (Paraffin-embedded Sections) (IHC (p)), Enzyme Immunoassay (EIA)
  • 抗原表位

    • 6
    • 2
    • 1
    • 1
    • 1
    C-Term

    特异性

    This antibody detects GJA10 at C-Term.

    纯化方法

    Protein G column, eluted with high and low pH buffers and neutralized immediately, followed by dialysis against PBS

    免疫原

    This antibody is generated from rabbits immunized with a KLH conjugated synthetic peptide selected from the C-terminal region of human GJA10.

    亚型

    Ig Fraction
  • 应用备注

    ELISA 1: 1,000. Immunohistochemistry 1: 50 - 1: 100.
    Other applications not tested.
    Optimal dilutions are dependent on conditions and should be determined by the user.

    限制

    仅限研究用
  • 状态

    Liquid

    浓度

    0.25 mg/mL

    缓冲液

    PBS with 0.09 % (W/V) sodium azide

    储存液

    Sodium azide

    注意事项

    This product contains sodium azide: a POISONOUS AND HAZARDOUS SUBSTANCE which should be handled by trained staff only.

    注意事项

    Avoid repeated freezing and thawing.

    储存条件

    4 °C/-20 °C

    储存方法

    Store the antibody at 2 - 8 °C up to one month or (in aliquots) at -20 °C for longer.
  • 抗原

    GJA9 (Gap Junction Protein, alpha 9, 59kDa (GJA9))

    别名

    GJA9 / Cx58

    背景

    GJA8 is a an integral membrane protein that belongs to the connexin family, alpha-type (group II) subfamily. One gap junction consists of a cluster of closely packed pairs of transmembrane channels, the connexons, through which materials of low MW diffuse from one cell to a neighboring cell. A connexon is composed of a hexamer of connexins.Synonyms: Connexin-58, Connexin-59, Cx59, GJA10, Gap junction alpha-10 protein, Gap junction alpha-9 protein

    基因ID

    81025, 9606

    UniProt

    P57773
You are here: